Capítulo 6
Principios generales de la cirugía laparoscópica urológica
- Dr. José Miguel Campero P., Dr. Alejandro Mercado C.,
- Dr. Christian Ramos G., Dr. Juan Fulla O.
- Clínica Las Condes.
Introducción
En este capítulo se describen paso a paso diferentes aspectos de las cirugías que desarrollamos más frecuentemente y en donde la vía de abordaje laparoscópica tiene claros beneficios para nuestros pacientes. Tiene como propósito guiar en forma simple y didáctica a los urólogos en sus primeros pasos en cirugía laparoscópica, con el fin de planificar y desarrollar una estrategia quirúrgica, evitando complicaciones y frustraciones que puedan alejarlos de esta valiosa herramienta.
Las sugerencias vertidas en este Manual son un compendio que resume muchos años de experiencia, fraguando conceptos y fundamentos encontrados tanto en el análisis de nuestros casos como el de otros autores. Nuestros consejos no pretenden ser la “verdad revelada”. Claramente pueden existir puntos de vista divergentes que, si se apoyan en una fundamentación y conceptos atendibles, asociados a buenos resultados y reproducibles en el tiempo, deben ser considerados y utilizados de acuerdo al criterio y preferencia de cada laparoscopista. La utilidad de estos consejos está respaldada tanto por nuestros propios resultados como también por los grados de competencia y logros obtenidos por urólogos alumnos de un programa anual de capacitación desarrollado en nuestro departamento. Al cabo de un año, los urólogos en una formación laparoscópica normalizada, realizan complejas cirugías con similares resultados.
Una vez tomada la decisión de proyectarse como cirujano laparoscópico, es deseable tener una buena base en cirugía tradicional abierta y siempre es bueno, en un inicio, adosarse a un equipo de trabajo consolidado en cirugía laparoscópica, especialmente en un programa de enseñanza estructurado y validado.
Por último, en la era robótica pudiera no ser tan “seductor” para los urólogos jóvenes capacitarse en cirugía laparoscópica. La plataforma robótica constituye una herramienta de gran valor, principalmente por su desarrollo tecnológico y la mayor facilidad que brinda a los urólogos para adquirir habilidades en cirugía mínimamente invasiva. Sin embargo, dado su costo actual, en países como el nuestro, solo una mínima fracción de nuestros pacientes tendrá acceso a esta tecnología en el corto y mediano plazo. Adicionalmente, con la experiencia de más de 20 años de cirugía robótica en el mundo, en la evaluación de las distintas variables, su ventaja respecto al abordaje laparoscópico “tradicional” sigue siendo materia de controversia en muchos procedimientos. La cirugía laparoscópica puede ser difundida y reproducida ampliamente en zonas y centros de mediana complejidad con excelentes resultados y a un costo razonable, sin la necesidad imperiosa de contar con una plataforma robótica. En lo que no hay discusión es que el mínimo trauma producido por la cirugía laparoscópica, especialmente en el abdomen superior, hacen imperativo adquirir estas habilidades a los urólogos.
Preparación pre operatoria
Como en cualquier cirugía en la cual el paciente recibirá anestesia general, deben tenerse en cuenta las comorbilidades y el uso de anticoagulantes con antelación, con el fin de optimizar la condición de salud de nuestro paciente y evitar posibles complicaciones.
Excepcionalmente indicamos al paciente realizar una preparación intestinal y por lo general la recomendamos en aquellos pacientes con sobrepeso o a quienes realizaremos una linfadenectomía lumboaórtica. Esta preparación tiene por objetivo disminuir el contenido y gases del intestino para aumentar el espacio de trabajo. Recomendamos una dieta líquida 24 horas antes de la cirugía y el uso de 3 litros de polietilenglicol a tomar en 8 -10 horas.
Idealmente el paciente debe estar hospitalizado para recibir el aporte de soluciones glucosalinas. Hemos observado que el polietilenglicol cumple con el objetivo de vaciar el intestino de material fecal y gas. Cuando utilizamos fosfosodas, el intestino queda limpio, pero, con abundante gas en su interior disminuyendo significativamente el tamaño del campo quirúrgico, dificultando una cirugía cómoda y segura.
Rutinariamente utilizamos una profilaxis antibiótica durante la inducción anestésica consistente en cefalosporinas de primera generación.
Disposición del pabellón
Es de gran importancia la adecuada ubicación de los distintos equipos, consolas, fuentes de poder y del mismo equipo quirúrgico en el pabellón.
En el caso de las cirugías transperitoneales, tanto el cirujano como el primer ayudante (cámara) se sitúan de frente al abdomen del paciente, y el segundo ayudante y la instrumentista por el dorso del paciente, enfrentando a los dos primeros.
La torre de laparoscopía debe estar situada al frente del cirujano y detrás del segundo ayudante, con el monitor a la altura de los ojos y en una angulación cómoda con el objeto de mantener una perfecta ergonomía. Si la torre está separada de los monitores, como es el caso de nuestros pabellones, esta debe ubicarse en el lugar en el cual genere menor interferencia para el equipo quirúrgico. El monitor esclavo debe ubicarse detrás del cirujano enfrentando al segundo ayudante e instrumentista quirúrgico. Idealmente todos los cables, fibras y conductos deben venir desde el rack hacia el cirujano y fijados en un solo punto para evitar que se produzcan enredos durante el transcurso de la cirugía.
Para las cirugías con acceso retroperitoneal, se invierten las posiciones descritas (Figura 1).

Posición del paciente
Una adecuada posición del paciente debe cumplir con dos objetivos principales: Proveer un campo quirúrgico cómodo para la ejecución de la cirugía y evitar el riesgo de complicaciones derivados de la compresión de plexos nerviosos o puntos de apoyo. La posición del paciente debe ser simple y fisiológica, evitando complejizar el acto anestésico y la utilización de elementos poco comunes dentro del pabellón.
La posición varía dependiendo del territorio a abordar. En el caso de la cirugía pélvica, el paciente debe ser posicionado en decúbito dorsal con ambos brazos aducidos al costado del tronco (Figura 2). Si la cirugía es abdominal, la posición que recomendamos es la siguiente: Estando el paciente anestesiado y en decúbito dorsal, se alinea el reborde costal con el punto de quiebre de la mesa (Figura 3).


Posteriormente se rota suavemente al paciente hasta un ángulo aproximado de 45 grados(1,2). La cabeza se acomoda y posiciona de tal modo que queden sin tensión los músculos del cuello. En la cintura escapular, se apoya la escápula en la mesa de operaciones sin la necesidad de utilizar un rollo axilar. Esta posición evita cualquier tipo de daño en el plexo braquial y permite una mejor mecánica ventilatoria del paciente. En nuestra experiencia, no hemos advertido que posicionar al paciente en un ángulo de 90 grados, con respecto a la mesa quirúrgica, permita una mejor exposición del campo quirúrgico con respecto a ubicarlo en un ángulo de 45 grados. Probablemente, en cirugía robótica, en donde el espacio del dorso del paciente está completamente ocupado por la plataforma robótica e impide ubicar un ayudante en este sitio, es que se prefiera los 90° para optimizar la separación de las vísceras por gravedad. La espalda se apoya en un rollo de gel de 20 cm de diámetro (Figura 4). Cabe hacer notar que tanto el brazal como la piernera ginecológica, vienen como accesorios por defecto con la mayoría de las mesas quirúrgicas, por lo tanto, en la mayoría de los casos, están disponibles en el recinto del pabellón.

En la cadera se aplica lo mismo, dejándola a unos 45 grados. En el apoyo del glúteo superior se utiliza un rollo similar a la espada. Es importante utilizar dos rollos separados y no uno continuo, especialmente en cirugías realizadas mediante abordaje retroperitoneal (Figura 4). Esto evita la interferencia mecánica con los instrumentos durante la cirugía. Las piernas están protegidas con medias anti embólicas y es deseable contar con botas neumáticas. Se interpone una almohada entre ambas extremidades inferiores, posicionando en semi flexión a la que se encuentra en contacto con la mesa. Los puntos de contacto con la mesa deben ser protegidos con almohadillas de gel (Figura 5)(2).

Si la cirugía se realiza mediante abordaje transperitoneal, el abdomen debe estar alineado con el borde de la mesa. En el caso del abordaje retroperitoneal, el dorso debe estar lo más cerca del borde de la mesa. No hay otras diferencias de posición entre estos distintos abordajes. El brazo inferior se apoya en su antebrazo logrando una semi flexión. El brazo superior se apoya en una piernera ginecológica tradicional. Se debe cuidar que ambos queden en una posición fisiológica de relajo. El aspecto final es como si el paciente adoptara una posición de clavado o piquero al entrar al agua (Figura 6).

Se flexiona la mesa con el objetivo de obtener la mayor distancia entre el reborde costal y la cresta ilíaca, ampliando el campo quirúrgico. Esto adquiere la mayor relevancia cuando se trata de un abordaje retroperitoneal (Figura 7).

Finalmente, el paciente es fijado, sin tensión a la mesa, con tela adhesiva. Una en el tórax dejando libre el apéndice xifoides y otra en la cadera a nivel del trocánter mayor. Esto permite acceder sin interferencias a sitio de Nyhus(3), habitualmente utilizado para la extracción piezas quirúrgicas.
Tan importante como la posición del paciente, es la posición corporal que adopte el cirujano. Ubicado en su punto correcto respecto del paciente, debe lograr una posición de relajo con el peso del cuerpo distribuido equitativamente en ambos pies. Se debe dejar el pedal del electrocauterio en una posición cómoda y fácil de alcanzar y utilizarlo solo cuando se requiera, evitando tener un pie sobre este y producir un desbalance. Los hombros deben estar relajados dados por la altura de la mesa quirúrgica y como mencionamos anteriormente, la pantalla idealmente debe estar a la altura de los ojos. Esta recomendación que parece tan simple, cuando no se cumple, resulta en una dolorosa y persistente contractura muscular.
Pneumoperitoneo
Habitualmente utilizamos una punción umbilical con aguja de Veress para realizar el pneumoperitoneo. Sujetamos el ombligo con una pinza de Kocher para traccionar la pared abdominal mientras se efectúa la punción con la aguja (Figura 8)(4). Este es el único paso “ciego” en la creación del pneumoperitoneo. Para asegurarnos que la aguja esté en la cavidad abdominal, esta es cebada con solución fisiológica (SF) y esperamos que sea absorbida por la menor presión dentro del abdomen. Confirmada esta situación, irrigamos con presión, un volumen aproximado de 10 cc de SF para desprender vísceras o epiplón de la aguja y asegurarnos de insuflar el CO2 dentro de la cavidad peritoneal. Al comenzar a insuflar CO2, la presión intra abdominal no debe ser superior a 6 mmHg(5-7). En los obesos mórbidos las presiones de inicio pueden ser superiores. Cuando se alcanzan 15 mmHg, pueden instalarse los trócares y se retira la aguja de Veress.

Vale la pena comentar que, en nuestra experiencia, hemos utilizado casi todos los otros puntos posibles de punción, (con el propósito de evitar una punción exclusiva para el pneumoperitoneo), teniendo mayores tasas de inconvenientes que utilizando la cicatriz umbilical.
Pneumoperitoneo abierto
En escasas oportunidades es necesario acceder a la cavidad abdominal mediante una pequeña incisión y abrir directamente el peritoneo para instalar el trocar de la cámara. Esto ocurre cuando el paciente tiene historia de múltiples cirugías previas y se corre el riesgo de lesionar en forma inadvertida una víscera adherida a la pared abdominal. Una vez instalado el trocar se ajusta a la incisión para evitar la fuga de CO2 (5-7). En nuestra práctica usamos esta técnica en una proporción de 1 a 99.
Instalación de trócares
Respecto al tipo de trócares, hay una gran variedad disponible en el mercado. Preferimos que sean transparentes, con punta roma, con una válvula universal y con un sistema de retención para evitar desplazamientos y pérdidas inadvertidas del pneumoperitoneo (Figura 9). Es deseable que sean de un diámetro de 10-12 mm para proporcionar versatilidad en el uso de instrumentos de diferente diámetro, con ambas manos. La adecuada colocación de los trócares de trabajo es fundamental para una cirugía exitosa.

Se debe realizar una incisión holgada en la piel, evitando que quede muy ajustada al trocar, para que no se produzca un daño isquémico en ésta. Se posiciona la punta roma del trocar ejerciendo una presión suave y mantenida con un movimiento rotatorio de la muñeca hasta que, por desgaste de la aponeurosis y separación de las fibras musculares, el trocar llegue suavemente a la cavidad abdominal. Una presión excesiva podría producir una entrada violenta en el abdomen y lesionar alguna víscera. La introducción del primer trocar es ciega, los restantes se introducen controlados bajo visión directa(6). Al finalizar la cirugía es importante revisar los sitios de punción para evidenciar sangrados y controlarlos. Rutinariamente suturamos la aponeurosis de las punciones mayores a 10 mm para evitar hernias. En la piel usamos sutura intradérmica para un mejor resultado estético.
Inserción de trócares para abordaje transperitoneal
No existen normas rígidas para esto, sino más bien, depende de las preferencias y experiencia del cirujano. En nuestro caso, insertamos un primer trocar de 10-12 mm para rectal, a nivel de la 12° costilla, con el objetivo que quede situado al mismo nivel en el cual se encuentra el polo inferior del riñón. A través de este trócar introducimos una óptica de 30° (2,6).
Con la ayuda de la transiluminación proporcionada por la fibra óptica, realizamos la instalación de dos trócares de trabajo de 10-12 mm, separados al menos por 8-10 cm y paralelos al reborde costal, formando un triángulo con el trocar de la cámara. Los trócares accesorios pueden variar en su diámetro dependiendo del uso que se les quiera dar. Por ejemplo, nosotros utilizamos un trocar de 5 mm para una pinza accesoria de 5 mm y uno de 10-12 mm para el separador articulado (Figuras 10 y 11).



Instalación de trócares para abordaje retroperitoneal
El espacio retroperitoneal es el ambiente natural del urólogo. Tiene la ventaja que nos permite acceder rápidamente al hilio renal evitando movilizar el intestino, por lo tanto, es ideal en pacientes con cirugías abdominales múltiples, antecedentes de peritonitis o pacientes con tumores o quistes renales de cara posterior. También es nuestro sitio de abordaje preferido para la suprarrenal izquierda. Como desventaja, presenta un reducido espacio de trabajo y los puntos de reparo anatómicos son más difíciles de visualizar(8). Los tres sitios que deben reconocerse en este acceso son: La fascia renal o de Zuckerkandl, el músculo psoas lumbar y el, a veces tenue, ligamento arqueado medial del diafragma. Perpendicular a este ligamento se encuentra en forma constante el hilio renal.
Aun cuando la mayoría de las cirugías se pueden realizar por la vía trans peritoneal, dominar este acceso puede significar un menor trauma quirúrgico para el paciente y es un valioso recurso para el laparoscopista experto.
En relación a la posición, el paciente se ubica en 45° con el dorso lo más cerca del borde de la mesa, mientras que los rollos de gel deben estar separador para evitar interferencias con el instrumental laparoscópico durante la cirugía (Figura 12).

En la instalación de trócares para el acceso retroperitoneal, se utiliza como punto de referencia, el ángulo que se forma entre la 12va costilla y la musculatura paravertebral (ángulo costo vertebral). Se instala el primer trócar a 8-10 cm del punto de referencia, ingresando con la tijera cerrada para divulsionar el tejido hasta alcanzar la fascia dorso-lumbar. Luego, con el dedo índice se ingresa al espacio retroperitoneal, lo cual se confirma palpando o “enganchando” la parrilla costal. No es recomendable forzar o ampliar el trayecto con el dedo, dado que se puede producir una artrosis en la articulación distal quedando con una secuela dolorosa y permanente (Figura 13).

Posteriormente, a través del trayecto creado, se introduce el balón disector del retroperitoneo (Spacemaker™Structural Balloon Trocar, Covidien), lo que permitirá crear un espacio exangüe, bajo visión directa, para la intervención quirúrgica (Figuras 14 y 15). El segundo trócar, no debe quedar muy cerca de la musculatura paravertebral, para favorecer su movilidad durante la cirugía. Para la instalación del tercer trócar, se debe desplazar con pinza roma el borde del peritoneo hacia medial, para evitar perforaciones de este (Video 01).


Asistencia de cámara
Este es uno de los elementos claves en el desarrollo de una cirugía laparoscópica. Puede hacer la diferencia entre una cirugía exitosa o sufrir frustraciones y complicaciones que pongan en riesgo al paciente. Utilizamos de rutina una óptica de 30°. Esto permite observar el campo quirúrgico con una magnificación de 20x, desde arriba, abajo y por los lados, lo que constituye una ventaja por su variabilidad de visión, aún en la era robótica. Existe una óptica de punta flexible que da una angulación de 120° y permite mirar desde atrás, pero es de difícil manejo, los instrumentos nunca van a seguir este curso y, por tanto, no la utilizamos. En nuestra experiencia, una de las principales dificultades se origina en que la cámara la maneja un par urólogo, quien pretende “operar” con la cámara y no realiza la labor de mostrar lo que el cirujano necesita ver. Considerando este punto, algunos consejos: Los movimientos siempre deben ser lentos, pausados y mínimos. Se agradece la estabilidad. El campo de acción siempre debe estar en el centro de la pantalla. Si se necesita ampliar el campo para ubicar los instrumentos, se debe retroceder la cámara sin perder de vista el campo de acción, aunque el objetivo quede momentáneamente en un rincón de la pantalla. Esto permite al cirujano mantener una perspectiva espacial del abdomen.
Para moverse de un punto a otro, la cámara debe retroceder lentamente, bascular hasta alinearse con el destino y acercarse lentamente. El otro punto importante es mantener el horizonte. La incomodidad que produce el perderlo, puede hacer que el cirujano cometa errores que conlleven a un accidente. La extrema cercanía del objetivo, a veces, dificulta establecer un horizonte correcto. Para orientarse, el camarógrafo puede tener en cuenta el nivel de los líquidos (sangre, agua) o tener en cuenta la posición de entrada de los instrumentos, que debe ser siempre la misma. El camarógrafo debe mantener una distancia adecuada del objetivo. Cuando el cirujano esté acomodándose o logrando una adecuada presentación, un campo amplio. Cuando diseca estructuras, un campo cercano.
Cirugías específicas
Adrenalectomía
Las glándulas suprarrenales tienen indicación de extirpación quirúrgica en tres situaciones bien definidas: Hallazgo de tumores funcionantes (incidentalomas o adenomas funcionantes), cuando el tamaño del tumor o por sus características radiológicas represente el riesgo de ser un cáncer adrenal primario o se sospeche una metástasis en la suprarrenal de otro tumor primario conocido(9,10).
Los tumores funcionantes pueden llegar a ser un 15-20% de los incidentalomas y producen una morbilidad demostrada en el largo plazo, por la cual deben ser extirpados, independientes de su tamaño(10). Los adenomas no funcionantes deben mantenerse en seguimiento, debido que se ha demostrado que hasta un 10% desarrollará una hiperfunción en los próximos años(9,10).
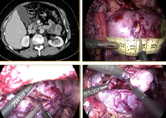
Cuando los tumores tienen un diámetro de >6 cm, tienen un riesgo de malignidad entre un 25% – 37%. Cuando tienen un diámetro >4 cm, el riesgo de malignidad es de 2% – 3%. Cuando el diámetro es de 3 cm el riesgo de malignidad es de 1% y es “dudosa” la indicación quirúrgica(11). Interesantemente, en las vesículas biliares el encontrar un pólipo de 1 cm de diámetro representa un riesgo de malignidad de un 1% y se extirpa en el 100% de los casos. Es decir para un mismo riesgo estadístico se aplican distintos criterios(12). Cabe señalar que cuando un tumor suprarrenal alcanza los 3 cm de diámetro, la glándula estará casi completamente reemplazada por este. Es claro que, mientras menor el tamaño del tumor, más fácil es la cirugía. En nuestro grupo recomendamos extirpar la glándula con un tumor mayor o igual a 3 cm de diámetro por las razones expuestas (Figura 16).

Al realizar la adrenalectomía se deben tener en cuenta dos objetivos fundamentales: Lo primero es ligar precozmente la vena suprarrenal, sin movilizar la glándula, para disminuir el riesgo de liberación de hormonas al torrente sanguíneo que puedan desencadenar una crisis hipertensiva, aun cuando no se haya demostrado la hiperfunción en la evaluación metabólica pre operatoria; lo segundo, cuando la indicación de la adrenalectomía es por sospecha de un carcinoma suprarrenal, la clave es no romper la glándula ya que tiene un riesgo de recidiva local de un 95% y la enfermedad en estas condiciones es incurable(13,14).
Desde el punto de vista técnico, abordamos la glándula derecha por vía transperitoneal y la izquierda por vía retroperitoneal, empleando el principio aplicable a todas las cirugías, de lograr el mismo objetivo provocando el menor trauma quirúrgico al paciente.
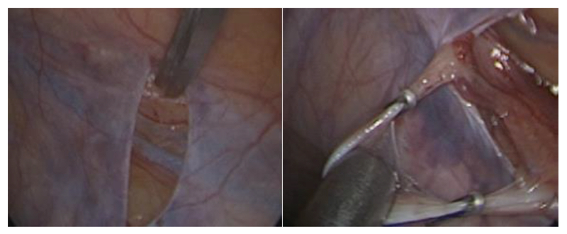
Para el abordaje transperitoneal del lado derecho, solo necesitamos levantar el hígado con un separador (Figura 17), exponiendo el ángulo que se forma entre la vena cava y el borde del hígado. En este punto la cava no tiene grasa y se observa por transparencia debajo del peritoneo parietal. Lograda esta exposición (a veces es necesario liberar adherencias para este efecto), se secciona superficialmente el peritoneo paralelo al borde hepático y al borde lateral derecho de la cava en forma de “siete”. En ese mismo ángulo se diseca la grasa en profundidad en dirección al músculo cuadrado lumbar y se accede precozmente a la vena suprarrenal derecha ya que es una constante anatómica. Para lograr exponer en forma adecuada este ángulo, recomendamos utilizar el separador articulado Endo RetractTM II. Hemos observado que otras formas de separar el hígado, por su peso y consistencia, son insuficientes para mostrar éste ángulo. Cuando el paciente presenta un hígado graso, recomendamos protegerlo interponiendo una gasa entre el retractor y el hígado.

Habiendo cumplido el primer objetivo de controlar la vena suprarrenal, se disecan, controlan y seccionan las múltiples arterias que fijan la glándula, por fuera de la grasa extirpándola en bloque y cumplimos con el segundo objetivo de no comprometer la integridad del tumor durante su disección. Una vez liberada la pieza quirúrgica, esta se introduce en una bolsa de PVC para evitar la posibilidad de contaminación en el abdomen. Luego, después de revisada la hemostasia, aseo y recuento de los elementos utilizados, se retira la pieza por uno de los puertos de trabajo o por el sitio de Nyhus si el volumen de la pieza lo requiere.
Para lograr una cirugía del modo descrito, recomendamos fuertemente el uso del separador Endo RetractTM II desechable, insertado desde la región lumbar derecha. Solo de esta manera levantamos el hígado en bloque permitiendo una presentación óptima del ángulo donde ubicamos la vena suprarrenal. Utilizar otro tipo de separación, como por ejemplo, una pinza desde el apéndice xifoide, anclado en la parrilla costal no logra la presentación que permite el Endo RetractTM II.
Hemos observado que, al no lograr la presentación descrita, algunos urólogos compensan este déficit disecando primero la glándula dejándola fija de la vena suprarrenal para más tarde poder controlarla. De este modo, se pierde el objetivo de evitar la liberación de hormonas al torrente sanguíneo al manipular el tumor sin tener controlada la vena (15).
En términos generales evitamos utilizar tecnologías que pudieran encarecer los procedimientos y que no aportan un real beneficio a la cirugía. En este caso, para el control y sección de las múltiples arterias que irrigan y fijan la glándula, utilizamos energía bipolar otorgada por una pinza de 5 mm LigasureTM que permite un proceso limpio, rápido y seguro (Video 02 y Video 03).
En el lado izquierdo, habiendo desarrollado el espacio quirúrgico con el balón disector, se secciona la fascia de Zuckerkandl para acceder al músculo psoas lumbar. Luego se asciende siguiendo el borde del psoas hacia cefálico hasta encontrar el ligamento arqueado medial del diafragma. En ese punto, invariablemente se encontrará el hilio renal ya que es una constante anatómica.
Es de gran utilidad levantar o separar el riñón con una pinza o retractor ubicado desde la fosa iliaca izquierda para una buena exposición del hilio. Esta separación puede ser efectuada con una pinza de 5 mm a través de un trocar ad hoc.
Con una cuidadosa disección, debemos exponer el borde cefálico de la vena renal. Desarrollado este paso, encontraremos la vena suprarrenal izquierda posada sobre el músculo psoas lumbar (Figura 18). A modo de un ejemplo didáctico, si ustedes miran el dorso de su mano izquierda con los dedos estirados, la mano y dedos corresponde a la vena renal y el pulgar a la vena suprarrenal izquierda. Es decir, hay que buscar la vena suprarrenal abajo posada sobre el psoas.

El control de la vena y la disección de la glándula son similares a lo descrito anteriormente para el lado derecho. Para este mismo efecto por vía transperitoneal, es necesario movilizar el colon descendente, seccionar el ligamento espleno renal, separar el bazo y la cola del páncreas lo que confiere al paciente un mayor trauma quirúrgico que el provocado en un acceso retroperitoneal.
Cuando la glándula izquierda es de mayor volumen (Ej.; ≥ 5-6 cm), recomendamos acceder a ella por vía transperitoneal para disminuir el riesgo de ruptura. Para el lado derecho, cuando existen antecedentes de cirugías abdominales complejas, cirugía biliar y la probabilidad de extensas adherencias, la suprarrenalectomía se puede efectuar por el retroperitoneo(15). Una vez liberada la pieza, se extrae en una bolsa de PVC por un sitio de punción ampliado (habitualmente la punción utilizada para la cámara) o por el sitio de Nyhus (Video 04 y Video 05)
Nefrectomía radical
Debido a lo primitivo de los registros y comunicaciones de la época, la paternidad de la primera nefrectomía radical es controvertida. Las búsquedas muestran que la primera nefrectomía exitosa la realizó el cirujano alemán Gustav Simon en la Universidad de Heidelberg el año 1869. También hay testimonios que indican que el Dr. William Hingston, cirujano canadiense, en 1868 en el Hotel Dieu Hospital en Montreal habría efectuado también una exitosa nefrectomía(16). Lo que sí está meridianamente claro es que 122 años después, en 1990 el Dr. Ralph Clayman en la Universidad de Washington (St. Louis), realizó la primera nefrectomía radical laparoscópica, la cual se transformó en la técnica estándar para la nefrectomía radical por cáncer(17,18).
Esta cirugía puede efectuarse tanto por un acceso transperitoneal como retroperitoneal, dependiendo de las preferencias del cirujano o de las características particulares del paciente o tamaño del tumor. Cuando se realizan por el acceso transperitoneal, debe movilizarse ampliamente el colon derecho o izquierdo (incluyendo ángulos hepáticos y esplénicos), según corresponda, para extirpar en bloque la bolsa de Gerota y su contenido (Figura 19). En el lado derecho hay que hacer necesariamente una maniobra de Kocher (movilizar el duodeno) para acceder con comodidad al hilio renal (Figura 20).


Una manera segura y sencilla de acceder al hilio renal es disecar la Gerota en su extremo caudal, separándola de su íntima unión con el músculo psoas lumbar. Una vez ubicado el hilio, este debe ser disecado para controlar por separado arteria y vena. Usamos Hem-o-LockTM de rutina, dos proximales y uno distal (Figura 21).

Se seccionan los vasos con tijera fría. En este punto se debe decidir preservar o no la glándula suprarrenal correspondiente o completar la disección del polo superior incluyendo la glándula en la bolsa de Gerota. En el lado izquierdo para preservar la glándula, se debe seccionar la vena renal entre la afluencia de la vena suprarrenal izquierda hacia la vena renal principal y el riñón, ubicar la cápsula renal y abandonar la glándula con la grasa que la rodea. En el lado derecho, posterior a ligar el hilio se debe ubicar la cápsula renal del polo superior dejando la glándula con la porción de grasa del polo superior que la rodea. Se completa la disección de la Gerota en forma roma. Por último se secciona el uréter y los vasos gonadales(19,20).
Una vez liberada la pieza, se atrapa en una bolsa de PVC de 15 cm de diámetro y se extirpa por el sitio de Nyhus, previamente preparado (antes del pneumoperitoneo), marcando el sitio con un lápiz indeleble en la piel y disecando la fosa iliaca cuando la cirugía es retroperitoneal. Recomendamos hacer la marcación de este sitio antes de efectuar el pneumoperitoneo ya que, cambia la disposición anatómica con el abdomen insuflado. La ventaja del abordaje retroperitoneal es que se evita la disección de vísceras intraperitoneales. Como desventaja se tiene un campo quirúrgico más reducido.
Nefrectomía radical en casos complejos
En relación al tamaño del tumor renal para la vía de abordaje, se ha demostrado que masas renales de > de 10 cm de diámetro, se pueden operar por vía laparoscópica. Determinamos que si los tumores son clínicamente localizados, el tamaño no fue un impedimento para la cirugía. Otros grupos presentaron experiencias similares y concluyeron que no hay diferencias en los resultados, tanto quirúrgicos como oncológicos (21,22) (Figura 22).

La nefrectomía radical laparoscópica en pacientes con trombo tumoral nivel I y II (T3b) es factible de realizar en manos expertas, manteniendo los principios oncológicos establecidos y la seguridad del paciente (23,24).
Inicialmente, se accede por vía transperitoneal al riñón derecho, movilizando el colon y realizando una maniobra de kocher amplia para llegar sin dificultad al hilio renal y a los grandes vasos. Se debe disecar al vena cava por encima y por debajo del hilio renal, especialmente en su cara posterior. De manera habitual, se controlan y seccionan las arterias renales.
Posteriormente, con pinzas atraumáticas se evalúa la posición del trombo en la cava. Se introduce una pinza Satinsky laparoscópica y se pinza parcialmente la vena cava, incluyendo el trombo. Esta maniobra evita el sangrado retrógrado por las venas lumbares que se produce al pinzar la cava en sus puntos distal y proximal a la afluencia de la vena renal. Se liga y secciona la vena renal, para tener mayor maniobrabilidad en el manejo de la vena cava. Se completa la disección de la pieza quirúrgica para tener mayor comodidad en la trombectomía. Luego, se efectúa la cavotomía con tijera fría y se extrae trombo. Finalmente, se sutura vena cava con polipropileno 4/0 y se comprueba hermeticidad (Figura 23).

Quienes hemos tenido la experiencia de operar tumores renales con trombos en la cava, hemos sufrido el sangrado que se produce al no tener controladas las venas lumbares. Con trombos hasta nivel II (clasificación de Novick)(25) es posible realizar este procedimiento en forma segura cuando se cuenta con pinzas Satinsky laparoscópicas, disponibles en el mercado. Cuando no se cuenta con estos elementos o el trombo sobrepasa este nivel, es preferible hacer una cirugía abierta.
Nefrectomía parcial
Sin duda es la técnica más demandante y compleja en nuestra práctica. También es donde hay mayor variabilidad técnica en los distintos grupos. Al no haber disponible publicaciones con el detalle de los protocolos quirúrgicos y sus resultados, explicaremos detalladamente nuestros conceptos y fundamentaciones, sin pretender una superioridad técnica respecto de otros protocolos, los cuales sólo mencionaremos.
Para lograr esta cirugía con éxito se requiere considerar los objetivos de: 1) Extirpar el tumor con criterio oncológico; 2) lograr una reparación satisfactoria con el menor trauma posible y 3)evitar complicaciones que pongan en riesgo la unidad renal. Estos principios deben siempre tenerse en cuenta al planificar la cirugía, determinando la vía de abordaje, los instrumentos a utilizar y procedimientos accesorios(26,27).
Habitualmente la resección del tumor y la reparación se ejecutan bajo isquemia por pinzamiento arterial, lo que otorga una mayor complejidad al procedimiento.
Lo ideal es utilizar el menor tiempo de isquemia por pinzamiento arterial posible, pero, sin sacrificar los objetivos principales ni exponer al paciente a complicaciones(28).
Conceptualmente preferimos referirnos a “tiempo de clampeo o pinzamiento” ya que la isquemia o daño isquémico puede transcurrir incluso posterior al despinzamiento vascular. El tiempo de pinzamiento involucra un daño tubular que habitualmente es transitorio y recuperable casi en un 100% de los casos a los tres meses de la cirugía. Esto se ha reportado en tiempos de pinzamiento cercanos a los 30 minutos, incluso en tiempos cercanos a los 60 minutos de isquemia caliente en modelos animales.
En cambio, el daño isquémico producido por la reparación del defecto quirúrgico puede ser permanente e irreversible y lo peor, no advertido por el cirujano(29-32).
Existen varias formas de lograr isquemia: Isquemia a demanda; después de dejar preparado el hilio renal para su pinzamiento, en tumores exofíticos y fácilmente abordables, se puede iniciar la resección y pinzar la arteria cuando el sangrado impida continuar con un procedimiento seguro y cómodo. De este modo se pueden evitar algunos minutos de isquemia con un menor tiempo de pinzamiento vascular. Isquemia lograda por el “despinzamiento temprano o precoz” consiste en que, una vez resecado el tumor, se efectúa una sutura hemostática en el lecho y se despinza el hilio, continuando la reparación ahora sin isquemia por pinzamiento. Las veces que nos ha tocado observar esta maniobra, una cirugía controlada se convierte en una emergencia en que el cirujano con gran habilidad cohibe el sangrado con puntos hemostáticos previamente preparados. El problema es que tanto los puntos en el lecho del defecto quirúrgico, como los puntos hemostáticos realizados bajo una situación de emergencia, pueden provocar un mayor daño isquémico e irreversible. Nuestro grupo para estos efectos desarrolló la técnica de “reparación superficial” que describiremos más adelante. En nuestra práctica no recomendamos el despinzamiento precoz.
Así como hay distintas formas de lograr la isquemia, hay varios métodos de pinzamiento: Hiliar total, arterial selectivo y arterial súper selectivo. Cualquiera de estas formas, si logra un territorio exangüe para una cirugía controlada, es adecuado. Como primera opción, recomendamos un pinzamiento arterial selectivo. Si por la anatomía vascular es complejo disecar la arteria y separarla de la vena sin riesgo, recomendamos el pinzamiento hiliar total. Al incorporar la vena renal en el clampeo hiliar total, tenemos la impresión de un mayor sangrado debido a la congestión venosa. El pinzamiento arterial súper selectivo debiera reservarse para casos en que el esfuerzo quirúrgico lo justifique (monorreno, insuficiencia renal o que un estudio vascular identifique la arteria que irrigue el tumor).
Los elementos para hacer el pinzamiento se pueden dividir en tangenciales y circunferenciales. Los tangenciales son las pinzas de Satinsky y las pinzas vasculares laparoscópicas tipo Bulldog. Los métodos circunferenciales están representados por el “torniquete de Rumel”. Este método probadamente produce daño en la pared vascular. Estando ampliamente disponibles los Bulldog laparoscópicos con aplicadores que permiten su introducción por trócares de 10 – 12 mm y por la razón antes mencionada, no recomendamos el uso del torniquete de Rumel(33).
El abordaje lo determinamos de acuerdo a la ubicación del tumor. Si está en la cara anterior, por vía transperitoneal. Si el tumor está en la cara posterior, preferentemente abordamos la lesión por vía retroperitoneal. Esta regla tiene una excepción; los tumores ubicados en el polo superior y cara posterior. Esta ubicación, definida por nuestro grupo como uno de los tumores técnicamente más complejos, los abordamos por la vía transperitoneal. Por la vía retroperitoneal y la limitación que impone el reborde costal en la ubicación de los trócares, hace que los instrumentos queden tangenciales a la lesión, no pudiendo efectuar una resección ni reparación segura y cómoda. Para esta situación desarrollamos y protocolizamos una técnica de “rotación renal” que será descrita posteriormente(26).
Con el propósito de parametrizar la dificultad o complejidad quirúrgica en una nefrectomía parcial, se desarrolló un sistema de puntaje (Renal Score) que consignamos en nuestra base de datos, pero, no lo utilizamos en las decisiones clínicas(34).
Para el abordaje transperitoneal hacemos una distinción entre el lado derecho e izquierdo. Para el lado izquierdo es necesario movilizar el colon descendente incluyendo el ángulo esplénico para exponer ampliamente la Gerota. En el lado derecho, por el gran espacio que deja la corredera parietocólica, pudiera no ser necesario movilizar el colon ascendente. En este caso escindimos directamente el peritoneo y Gerota como un sólo cuerpo, llegando directamente al riñón (Figura 24).

La dificultad que presenta este acceso directo es que el hilio de diseca desde el seno renal, con un mayor riesgo de provocar una lesión vascular. Para quienes tienen una menor experiencia, es recomendable hacer el camino largo, pero más seguro que es decolar el colon derecho, ubicar el plano entre la Gerota y el músculo psoas lumbar y abordar el hilio tal como fue descrito para la nefrectomía radical.
Una vez expuesta la fascia de Gerota, la escindimos ampliamente de polo a polo provocándole el menor daño posible para que al posicionar nuevamente al riñón en su situación original, la podamos suturar. Como requisito para una nefrectomía parcial laparoscópica se requiere obtener una movilidad del riñón que permita posicionarlo para una resección controlada del tumor y una reparación satisfactoria. Muchas veces es necesario desprender el riñón completamente de su grasa peri renal, dejándolo fijo solo del hilio(26,35).
Posicionamos el riñón de tal modo que la lesión sea resecable en forma segura y la posterior reparación sea efectuada en forma satisfactoria y cómoda. En el caso de los tumores ubicados en el polo superior y cara posterior, rotamos el riñón en 180 grados, exponiendo completamente la lesión que antes estaba arriba y detrás, quedando ahora adelante y abajo. Para lograr esta rotación ubicamos una pinza por detrás del polo superior levantándolo y simultáneamente con una pinza en la cara anterior empujamos el polo inferior(35) (Video 06).
Una vez posicionado el riñón, efectuamos el pinzamiento vascular registrando el tiempo total.
Antes de llegar a este punto, él o la instrumentista deben tener preparado las pinzas vasculares, las suturas hemostáticas y cualquier otro elemento que utilicen para la hemostasia, irrigador aspirador o instrumentos que habitualmente ocupan. Así mismo, el cirujano ya debe tener definida la estrategia de resección y de reparación. Este es el peor momento para improvisar.
Rutinariamente utilizamos una pinza vascular laparoscópica tipo Bulldog adecuado para el tipo de pinzamiento; selectivo arterial o hiliar, según corresponda. Anterior a la aparición de aplicadores de pinzas laparoscópicas que caben por un trócar de 10-12 mm, preferíamos una pinza Satinsky recta por sobre pinzas pequeñas. Esto nos permite usar un puerto de 5 mm alejado de los trocares de trabajo, un control completo desde el exterior, un retiro del clamp sin riesgo de lesiones y sin necesidad de ir a buscarlos una vez terminada la cirugía. En la actualidad teniendo el aplicador antes mencionado evitamos hacer una punción exclusiva para la pinza Satinsky(35) (Figura 25).

Asegurada la isquemia, resecamos la lesión con técnica de enucleación con tijera fría en la mano diestra y el aspirador (idealmente de trompeta) que permite presentarnos el sitio de sección y aspirar para obtener una visión completa durante todo el procedimiento. El segundo ayudante, con una pinza de 5 mm ubicada en el flanco, puede facilitar la presentación del tumor. Durante la disección si nos encontramos con un vaso mayor o vía urinaria, la controlamos con clips de titanio y seccionamos sobre estos para evitar perder tiempo en repararlos posteriormente. Esta técnica puede ser un poco más lenta que seccionar sobre tejido sano alejado del tumor, pero, preservamos mayor cantidad de tejido renal y se facilita la reparación sin sacrificar el resultado oncológico. En nuestra serie tenemos sólo tres recidivas locales en más de 250 casos (1,2%) (Figura 26).

Antes de tener el dato de estas tres recidivas, liberábamos la pieza quirúrgica, abandonándola en el abdomen y comenzábamos rápidamente la reparación del defecto quirúrgico para no aumentar el tiempo de isquemia por pinzamiento. Actualmente antes de completar la resección, dejamos la pieza fijada al lecho por unos milímetros de tejido y la atrapamos en una bolsa de PVC de 10 cm. Ahora entonces, la abandonamos en el abdomen aislada en su bolsa, evitando una posible contaminación local. De rutina tomábamos varias muestras del lecho renal con una pinza saca bocado (biótomo) para un informe histológico contemporáneo. Con tantos casos realizados y siempre con biopsias negativas, no hacemos, en la actualidad, biopsia contemporánea y de paso disminuimos los costos de la cirugía.
Frecuentemente electrodesecamos la superficie del lecho con energía monopolar a 100 W de potencia en modo spray(36). Rellenamos el defecto quirúrgico con un rollo de celulosa oxidada (Surgicel®), aplicamos una matriz hemostática con trombina sintética (Surgiflo®) en el fondo con una sonda de alimentación 10F y usamos una sutura hemostática con puntos separados de poliglactina 910 (Vicryl®) tensionados y asegurados con Hem-o-LockTM en sus extremos sin cambiar las líneas de fuerza y evitamos rebanar el parénquima. Liberamos la pinza arterial y comprobamos la ausencia de sangrado (26,35).
Esta reparación difiere a la que realizan muchos grupos y creemos que nuestra técnica produce un menor daño en el tejido renal que queremos preservar(37). Lo primero es que durante la resección controlamos en forma contemporánea vasos mayores y estructuras de la vía urinaria con clips de titanio, antes de seccionarlos. Otros grupos utilizan de rutina puntos en el lecho tumoral para contener el sangrado y reparar una vía urinaria inadvertidamente abierta. Con estos puntos “ciegos” se podrían incluir inadvertidamente arteriolas y venas provocando una mayor isquemia y/o favoreciendo la creación de una fístula arterio-venosa. Los puntos hemostáticos que utilizamos no se profundizan más allá de la corteza renal en donde no comprometemos la integridad de arteriolas ni vía urinaria(26,37) (Figura 27) (Video 07 y Video 08).

Realizamos aseo de la cavidad abdominal, si es necesario, con abundante agua bidestilada. Reponemos el riñón en la bolsa de Gerota, suturándola con un punto continuo de material reabsorbible. Se extirpa la bolsa con la lesión integra por un sitio de punción, si el tamaño lo permite o por el sitio de Nyhus. Se completa el procedimiento verificando la ausencia de sangrado en los sitios de punción, común a todas las cirugías.
En resumen, nuestra técnica de nefrectomía parcial contempla: Resección del tumor por enucleación y reparación de estructuras vasculares o vía urinaria con clips en la superficie del lecho tumoral que no comprometen otras estructuras profundas. La reparación del defecto quirúrgico con puntos superficiales separados de material absorbible sobre un rollo de celulosa oxidada. Con esto necesitamos menor tensión y provocamos menor daño isquémico (técnica de reparación superficial) (Figura 28) (Video 09).

Nefrectomía parcial en tumores intrarrenales
La ubicación 100% endófitica de un tumor renal es infrecuente y su manejo quirúrgico es un desafío para el urólogo. Pese a la ubicación desfavorable de estos tumores y la complejidad del abordaje, mediante una técnica quirúrgica sistemática y reglada, es posible plantear, en este complicado escenario clínico, una nefrectomía parcial laparoscópica como tratamiento alternativo a la nefrectomía radical, con iguales resultados oncológicos y un mínimo daño del parénquima renal(38). Como requisito mínimo en la planificación quirúrgica se requiere de una tomografía computada con fase contrastada de eliminación (UroTC). Las distintas fases de este estudio permiten ubicar el tumor y su relación con estructuras vasculares y de la vía urinaria. A partir de estos datos, se puede escalar en la sofisticación de la planificación desde simples mediciones hasta la impresión tridimensional en plástico del riñón comprometido.
Es deseable disponer de ecografía intracorpórea laparoscópica y teniendo en cuenta la infrecuente posibilidad de una fístula arteriovenosa, contar con el apoyo de un radiólogo intervencionista. Afortunadamente en nuestro departamento contamos con todos estos elementos. Sin embargo, en muchos casos nos basamos en simples mediciones para la planificación. El objeto es determinar: La medida del tumor, la distancia desde al menos dos puntos de reparo anatómico fácilmente reconocibles y la profundidad desde la corteza al tumor. La ecografía la utilizamos para comprobar que la ubicación del tumor coincide con nuestras mediciones.
Cuando determinamos la ubicación del tumor, hacemos una incisión longitudinal en la corteza (teniendo en cuenta la profundidad) que sea 1 o 2 cm superior al diámetro de la lesión por cada lado. Mientras más profundo el tumor, mayor longitud del corte. Esto nos permite abrir como un “sandwich” el parénquima y el exceso del corte, respecto de la medida del tumor, nos permite enuclearlo con comodidad. La reparación de las estructuras y del defecto quirúrgico lo realizamos de la misma manera descrita anteriormente. Al hacerlo de esta manera, con una cuidadosa disección, llegaremos directamente sobre la lesión permitiéndonos una resección controlada. Basado en estudios de daño renal en cirugía percutánea, inferimos que con un corte longitudinal se produce un menor daño que al resecar un trozo de riñón que contenga el tumor(39) (Figura 29).

Hemos realizado esta técnica en 5 casos de tumores 100% intrarrenales. No hubo conversión a cirugía abierta ni necesidad de nefrectomía radical. Ningún paciente presentó recidiva local hasta la fecha y los parámetros quirúrgicos no variaron respecto a cirugías de tumores con una complejidad habitual(38) (Video 10).
Linfadenectomía lumboaórtica
Los tumores testiculares no seminomatosos en etapa I tienen un riesgo de presentar micro metástasis en el retroperitoneo cercano al 30% de los casos, especialmente, si hay factores de riesgo en la biopsia del tumor testicular. Es hasta ahora controvertida la opción terapéutica a ejecutar y la linfadenectomía lumboaórtica (LALA) es una de ellas. También tema actual de controversia es la conveniencia de realizar la uni o bilateralidad de la linfadenectomía. La gran ventaja de la LALA es que tiene cerca de un 100% de sensibilidad y especificidad, aún en la era de la tomografía por emisión de positrones (PET) y representa una alternativa a los protocolos de observación (40-42).
Sin ahondar en la controversia, explicaremos en forma sencilla esta técnica cuya mayor complejidad reside en el posible daño a un vaso mayor pudiendo transformar un procedimiento reglado en una emergencia. Otro aspecto a considerar es la edad del paciente en que la preservación de la función eyaculatoria es fundamental.
En estos casos la ubicación del paciente es igual que la anteriormente descrita para la cirugía renal. Utilizamos el trócar de la cámara en la cicatriz umbilical y el trócar más caudal desplazado hacia la fosa ilíaca correspondiente.
Una vez logrado el pneumoperitoneo, tan importante como la minuciosa extirpación del espécimen linfático, es lograr previamente una amplia exposición de los límites a disecar: Si el límite superior es la vena renal, la disección debe abarcar al menos unos centímetros sobre el hilo renal y lo mismo para los demás límites. De esta manera se podrá efectuar un procedimiento cómodo, completo y seguro. Muchas veces se falla en estos detalles básicos que pueden frustrar el éxito de la cirugía y poner en riesgo al paciente.
Indistintamente del lado, el abordaje que realizamos es transperitoneal. Hay limitadas experiencias de abordaje retroperitoneal que no han sido suficientemente reproducidas y podrían tener su espacio solo en excepcionales circunstancias (43). En ambos casos es necesario movilizar ampliamente el colon respectivo para exponer los grandes vasos y los límites de disección propuestos por Weissbach (Figura 30).

Los límites superiores están determinados por el borde inferior de las venas renales y el límite inferior por el cruce del uréter sobre los vasos iliacos. Los límites laterales están demarcados por los uréteres. En el lado derecho es necesario levantar el hígado y para esto utilizamos el Endo Retract™ II o también se puede utilizar una pinza de 5 mm desde el apéndice xifoides fijado en la pared costal. Es necesario realizar una maniobra de Kocher para movilizar el duodeno y exponer los grandes vasos al lado derecho. Logrado este tiempo, se extirpa todo el material linfático de las regiones para cava, supra cava e interaorto cava. Rutinariamente extirpamos los ganglios supra aórticos por sobre la arteria mesentérica inferior. Utilizamos una pinza y disector común para separar el espécimen linfático de las estructuras vasculares.
Cuando tenemos una perfecta identificación de éstos, usamos un LigasureTM Maryland de 5 mm para sellar y seccionar los linfáticos. Evitamos seccionar los vasos lumbares ya que, dado que, de existir metástasis ganglionares, éstas se desarrollarían ventrales a los vasos(44).
Una vez liberado el espécimen linfático, este se extrae en una bolsa de PVC por uno de los sitios de punción. Ocasionalmente después de establecida una rigurosa hemostasia, instalamos en el lecho quirúrgico una matriz hemostática con trombina sintética para disminuir el riesgo de un linfocele.
Para el lado izquierdo realizamos el mismo procedimiento descrito anteriormente, evitando disecar y lesionar los nervios simpáticos responsables de la eyaculación anterógrada, ubicados por sobre la aorta debajo del nacimiento de la arteria mesentérica inferior (45) (Figura 31) (Video 11).

Varicocele y denervación testicular
En nuestro Departamento contamos con andrólogos que prefieren resolver estos casos mediante un abordaje abierto subinguinal utilizando microcirugía. Para establecimientos que no cuenten con este apoyo y equipos, una buena alternativa es la vía laparoscópica. El concepto quirúrgico aplicado al tratamiento del varicocele y el dolor testicular crónico es similar. Por esta razón la explicación siguiente es válida para ambas situaciones.
El paciente se ubica en decúbito dorsal con los brazos adosados al cuerpo y con un Trendelemburg moderado. Se punciona la cicatriz umbilical con un trócar de 2 mm de diámetro. Se efectúa el pneumoperitoneo y se inspecciona la pelvis con una óptica de 2 mm de 0 grados. En la fosa iliaca izquierda se instala otro trócar de 2 mm para una pinza ad hoc y en la fosa ilíaca derecha, un trócar de 5 mm para permitir el paso de un aplicador de clips de 5 mm.
Se ubica el orificio inguinal profundo y unos 2–3 cm hacia proximal de la reflexión del conducto deferente. Sobre los vasos espermáticos se efectúa una peritoneotomía de 1 cm. Se toma el cordón en bloque y con una suave contra tracción se aísla y preserva la arteria testicular utilizando un disector tipo Maryland. El resto del cordón se clipa y secciona en bloque.
Estaremos tratando todas las venas del cordón y seccionando la mayoría de los filetes nerviosos responsables en la inervación sensitiva del testículo. Solo quedarán indemne los nervios que transcurren junto con la arteria testicular que preferimos preservar. Revisión de la hemostasia con una baja presión del pneumoperitoneo y por último el retiro de los trócares bajo visión directa(46) (Figuras 32 y 33).


Otras cirugías
Otras cirugías pelvianas rutinarias como prostatectomías o cistectomías radicales, se efectúan asistidas por robot o de manera tradicional. No vemos una ventaja realizar por vía laparoscópica “tradicional” a estas cirugías del abdomen inferior. Por este motivo no serán incluidas en este manual.
Bibliografía
1. Cadeddu, J.A.; Ono, Y.; Clayman, R.V.; Barrett, P.H.; Janetschek, G.; Fentie, D.D.; McDougall, E.M.; Moore, R.G.; Kinukawa, T.; Elbahnasy, A.M.; Nelson, J.B. and Kavoussi, L.R. “Laparoscopic nephrectomy for renal cell cancer: evaluation of efficacy and safety: a multicenter experience“. Urology. 52(5): 773-777, 1998.
2. Duchene, D.A.; Anderson, J.K. and Cadeddu, J.A. “Laparoscopic radical nephrectomy“, in “Laparoscopic atlas of urologic surgery”. Bishoff, J.T. and Kavoussi, L.R., Editors. 2007, Saunders Elsevier: Philadelphia, USA. p. 70-88.
3. Nyhus, L.M. “The posterior (preperitoneal) approach and iliopubic tract repair of inguinal and femoral hernias – an update“. Hernia. 7(2): 63-67, 2003.
4. Wolf, J.S., Jr. and Stoller, M.L. “The physiology of laparoscopy: basic principles, complications and other considerations“. J Urol. 152(2 Pt 1): 294-302, 1994.
5. Vilos, G.A.; Ternamian, A.; Dempster, J. and Laberge, P.Y. “No. 193-Laparoscopic Entry: A Review of Techniques, Technologies, and Complications“. J Obstet Gynaecol Can. 39(7): e69-e84, 2017.
6. Pickett, S.D.; Rodewald, K.J.; Billow, M.R.; Giannios, N.M. and Hurd, W.W. “Avoiding major vessel injury during laparoscopic instrument insertion“. Obstet Gynecol Clin North Am. 37(3): 387-397, 2010.
7. Vilos, G.A.; Vilos, A.G.; Abu-Rafea, B.; Hollett-Caines, J.; Nikkhah-Abyaneh, Z. and Edris, F. “Three simple steps during closed laparoscopic entry may minimize major injuries“. Surg Endosc. 23(4): 758-764, 2009.
8. Pareek, G. and Nakada, S.Y. “Laparoscopic stapling and reconstruction“, in “Laparoscopic atlas of urologic surgery”. Bishoff, J.T. and Kavoussi, L.R., Editors. 2007, Saunders Elsevier: Philadelphia, USA. p. 24-40.
9. Young, W.F., Jr. “Clinical practice. The incidentally discovered adrenal mass“. N Engl J Med. 356(6): 601-610, 2007.
10. Hevia Suarez, M.; Abascal Junquera, J.M.; Boix, P.; Dieguez, M.; Delgado, E.; Abascal Garcia, J.M. and Abascal Garcia, R. “[Management of adrenal mass: What urologists should know]“. Actas Urol Esp. 34(7): 586-591, 2010.
11. Ioachimescu, A.G.; Remer, E.M. and Hamrahian, A.H. “Adrenal incidentalomas: a disease of modern technology offering opportunities for improved patient care“. Endocrinol Metab Clin North Am. 44(2): 335-354, 2015.
12. Zielinski, M.D.; Atwell, T.D.; Davis, P.W.; Kendrick, M.L. and Que, F.G. “Comparison of surgically resected polypoid lesions of the gallbladder to their pre-operative ultrasound characteristics“. J Gastrointest Surg. 13(1): 19-25, 2009.
13. Garrett, R.W.; Nepute, J.C.; Hayek, M.E. and Albert, S.G. “Adrenal Incidentalomas: Clinical Controversies and Modified Recommendations“. AJR Am J Roentgenol. 206(6): 1170-1178, 2016.
14. Autorino, R.; Bove, P.; De Sio, M.; Miano, R.; Micali, S.; Cindolo, L.; Greco, F.; Nicholas, J.; Fiori, C.; Bianchi, G.; Kim, F.J. and Porpiglia, F. “Open Versus Laparoscopic Adrenalectomy for Adrenocortical Carcinoma: A Meta-analysis of Surgical and Oncological Outcomes“. Ann Surg Oncol. 23(4): 1195-1202, 2016.
15. Campero, J.M., Manejo de tumores adrenales complejos: feocromocitoma maligno, cánceres bilaterales, cáncer adrenocortical, tumores metastásicos., in Simposio Latinoamericano de Urología Oncológica SLAURO 20162016: Viña del Mar, Chile.
16. Moll, F. and Rathert, P. “The surgeon and his intention: Gustav Simon (1824-1876), his first planned nephrectomy and further contributions to urology“. World J Urol. 17(3): 162-167, 1999.
17. Clayman, R.V.; Kavoussi, L.R.; Soper, N.J.; Dierks, S.M.; Meretyk, S.; Darcy, M.D.; Roemer, F.D.; Pingleton, E.D.; Thomson, P.G. and Long, S.R. “Laparoscopic nephrectomy: initial case report“. J Urol. 146(2): 278-282, 1991.
18. Kerbl, D.C.; McDougall, E.M.; Clayman, R.V. and Mucksavage, P. “A history and evolution of laparoscopic nephrectomy: perspectives from the past and future directions in the surgical management of renal tumors“. J Urol. 185(3): 1150-1154, 2011.
19. Desai, M.M.; Strzempkowski, B.; Matin, S.F.; Steinberg, A.P.; Ng, C.; Meraney, A.M.; Kaouk, J.H. and Gill, I.S. “Prospective randomized comparison of transperitoneal versus retroperitoneal laparoscopic radical nephrectomy“. J Urol. 173(1): 38-41, 2005.
20. Dunn, M.D.; Portis, A.J.; Shalhav, A.L.; Elbahnasy, A.M.; Heidorn, C.; McDougall, E.M. and Clayman, R.V. “Laparoscopic versus open radical nephrectomy: a 9-year experience“. J Urol. 164(4): 1153-1159, 2000.
21. Conley, S.P.; Humphreys, M.R.; Desai, P.J.; Castle, E.P.; Dueck, A.C.; Ferrigni, R.G. and Andrews, P.E. “Laparoscopic radical nephrectomy for very large renal tumors (> or =10 cm): is there a size limit?“. J Endourol. 23(1): 57-61, 2009.
22. Luciani, L.G.; Porpiglia, F.; Cai, T.; D’Elia, C.; Vattovani, V.; Giusti, G.; Tiscione, D.; Chiodini, S.; Peschechera, R.; Fiori, C.; Spina, R.; Parma, P.; Celia, A. and Malossini, G. “Operative safety and oncologic outcome of laparoscopic radical nephrectomy for renal cell carcinoma >7 cm: a multicenter study of 222 patients“. Urology. 81(6): 1239-1244, 2013.
23. Desai, M.M.; Gill, I.S.; Ramani, A.P.; Matin, S.F.; Kaouk, J.H. and Campero, J.M. “Laparoscopic radical nephrectomy for cancer with level I renal vein involvement“. J Urol. 169(2): 487-491, 2003.
24. Steinnerd, L.E.; Vardi, I.Y. and Bhayani, S.B. “Laparoscopic radical nephrectomy for renal carcinoma with known level I renal vein tumor thrombus“. Urology. 69(4): 662-665, 2007.
25. Pouliot, F.; Shuch, B.; Larochelle, J.C.; Pantuck, A. and Belldegrun, A.S. “Contemporary management of renal tumors with venous tumor thrombus“. J Urol. 184(3): 833-841, 2010.
26. Campero, J.M.; Ramos, C.G.; Valdevenito, R.; Mercado, A. and Fulla, J. “Laparoscopic partial nephrectomy: A series of one hundred cases performed by the same surgeon“. Urol Ann. 4(3): 162-165, 2012.
27. Shah, P.H.; Moreira, D.M.; Okhunov, Z.; Patel, V.R.; Chopra, S.; Razmaria, A.A.; Alom, M.; George, A.K.; Yaskiv, O.; Schwartz, M.J.; Desai, M.; Vira, M.A.; Richstone, L.; Landman, J.; Shalhav, A.L.; Gill, I. and Kavoussi, L.R. “Positive Surgical Margins Increase Risk of Recurrence after Partial Nephrectomy for High Risk Renal Tumors“. J Urol. 196(2): 327-334, 2016.
28. Hotston, M.R. and Keeley, F.X. “Laparoscopic partial nephrectomy without ischemia“. Arch Esp Urol. 66(1): 146-151, 2013.
29. Becker, F.; Van Poppel, H.; Hakenberg, O.W.; Stief, C.; Gill, I.; Guazzoni, G.; Montorsi, F.; Russo, P. and Stockle, M. “Assessing the impact of ischaemia time during partial nephrectomy“. Eur Urol. 56(4): 625-634, 2009.
30. Desai, M.M.; Gill, I.S.; Ramani, A.P.; Spaliviero, M.; Rybicki, L. and Kaouk, J.H. “The impact of warm ischaemia on renal function after laparoscopic partial nephrectomy“. BJU Int. 95(3): 377-383, 2005.
31. Foyil, K.V.; Ames, C.D.; Ferguson, G.G.; Weld, K.J.; Figenshau, R.S.; Venkatesh, R.; Yan, Y.; Clayman, R.V. and Landman, J. “Longterm changes in creatinine clearance after laparoscopic renal surgery“. J Am Coll Surg. 206(3): 511-515, 2008.
32. Laven, B.A.; Orvieto, M.A.; Chuang, M.S.; Ritch, C.R.; Murray, P.; Harland, R.C.; Inman, S.R.; Brendler, C.B. and Shalhav, A.L. “Renal tolerance to prolonged warm ischemia time in a laparoscopic versus open surgery porcine model“. J Urol. 172(6 Pt 1): 2471-2474, 2004.
33. Álvarez-Barcia, A.J., Valoración del daño parietal a nivel vascular, tras la aplicación de métodos extraluminales de oclusión temporal, in Departamento de Cirugía2012, Universidad de Valladolid: Valladolid, España.
34. Kutikov, A. and Uzzo, R.G. “The R.E.N.A.L. nephrometry score: a comprehensive standardized system for quantitating renal tumor size, location and depth“. J Urol. 182(3): 844-853, 2009.
35. Vallejo, L.; Campero, J.M.; Fulla, J.; Mülchi, C.; Valenzuela, R.; Martínez, N. and Ramos, C.G. “Nefrectomía parcial laparoscópica en tumores técnicamente complejos“. Rev Chil Urol. 81(2): 11-15, 2016.
36. Valdivia-Blondet, L. “Electrocirugía“. Dermatol Peru. 23(1): 11-25, 2013.
37. Bertolo, R.; Campi, R.; Mir, M.C.; Klatte, T.; Kriegmair, M.C.; Salagierski, M.; Ouzaid, I. and Capitanio, U. “Systematic review and pooled analysis of the impact of renorraphy techniques on renal functional outcome after partial nephrectomy“. Eur Urol Oncol. 2(5): 572-575, 2019.
38. Véliz, A.; Campero, J.M.; Cancino, C.; Martínez, G.; Vallejo, L.; Álvarez, E.; Chiang, H.; Fulla, J.; Guzmán, S.; Hinrichs, A.; Kerkebe, M.; Mercado, A.; Palma, C.; Ramos, C.G.; Rosenfeld, R.; Salgado, G.; Susaeta, R.; Valdevenito, R. and Zambrano, N. Nefrectomía parcial laparoscópica de tumores intrarrenales: complejo escenario quirúrgico para el urólogo. in 38º Congreso Chileno de Urología. 2016. Coquimbo, Chile.: Revista Chilena de Urología.
39. Unsal, A.; Koca, G.; Resorlu, B.; Bayindir, M. and Korkmaz, M. “Effect of percutaneous nephrolithotomy and tract dilatation methods on renal function: assessment by quantitative single-photon emission computed tomography of technetium-99m-dimercaptosuccinic acid uptake by the kidneys“. J Endourol. 24(9): 1497-1502, 2010.
40. Richie, J.P. “Clinical stage 1 testicular cancer: the role of modified retroperitoneal lymphadenectomy“. J Urol. 144(5): 1160-1163, 1990.
41. Donohue, J.P.; Thornhill, J.A.; Foster, R.S.; Rowland, R.G. and Bihrle, R. “Retroperitoneal lymphadenectomy for clinical stage A testis cancer (1965 to 1989): modifications of technique and impact on ejaculation“. J Urol. 149(2): 237-243, 1993.
42. Corsi, O.; Rada, G. and Pena, J. “PET-CT for the management of testicular seminoma patients with post-chemotherapy residual masses“. Medwave. 19(4): e7625, 2019.
43. Vidal-Mora, I. and Castillo, O.A. “Linfadenectomía retroperitoneal lumboaórtica laparoscópica en cáncer de testículo“. Arch Esp Urol. 63(5): 373-379, 2010.
44. Holtl, L.; Peschel, R.; Knapp, R.; Janetschek, G.; Steiner, H.; Hittmair, A.; Rogatsch, H.; Bartsch, G. and Hobisch, A. “Primary lymphatic metastatic spread in testicular cancer occurs ventral to the lumbar vessels“. Urology. 59(1): 114-118, 2002.
45. Donohue, J.P.; Zachary, J.M. and Maynard, B.R. “Distribution of nodal metastases in nonseminomatous testis cancer“. J Urol. 128(2): 315-320, 1982.
46. Cadeddu, J.A.; Bishoff, J.T.; Chan, D.Y.; Moore, R.G.; Kavoussi, L.R. and Jarrett, T.W. “Laparoscopic testicular denervation for chronic orchalgia“. J Urol. 162(3 Pt 1): 733-735; discussion 735-736, 1999.