Capítulo 35
Traumatismo de la vía urinaria inferior y genitales externos masculinos
- Dra. Laura Velarde R., Dr. Reynaldo Gómez I.
- Hospital del Trabajador
Introducción
En general, los traumatismos genitourinarios son relativamente infrecuentes y suelen asociarse a otras lesiones más graves en el contexto de un paciente politraumatizado. El manejo va dirigido inicialmente a las lesiones que amenazan la vida del paciente. Es por esto que el traumatismo genitourinario puede pasar desapercibido en un comienzo, haciendo que el manejo posterior sea más tedioso y de alta complejidad. La clave del éxito, es sospechar la lesión y realizar el diagnóstico de forma precoz.
Manejo inicial de un paciente con sospecha de un traumatismo de la vía urinaria inferior
El traumatismo de la vía urinaria inferior suele presentarse en accidentes de alta energía con fractura de pelvis (FP) asociada. Son pacientes politraumatizados y en estado crítico, en los que el manejo y prioridad del tratamiento estarán determinados por su condición general, el estado hemodinámico y las lesiones asociadas. Ante esta situación, en ocasiones, la lesión de la vía urinaria puede pasar inadvertida debido a que el manejo inicial se dirige a otras lesiones que amenazan la vida del paciente. Por esta razón, la evaluación de estos casos debe ser realizada por un equipo multidisciplinario y experimentado,que ante la sospecha de las distintas lesiones, puedan dirigir el estudio y permitir un manejo adecuado (1).
El elemento más importante para el diagnóstico de las lesiones de la vía urinaria es un alto índice de sospecha, siendo la FP el principal antecedente, fundamentalmente en FP inestables en las que el arco anterior y el posterior de la pelvis están comprometidos. En esta fase aguda y con la sospecha de lesión de la vía urinaria inferior, el paciente debe ser evaluado por un urólogo (2).
Los signos y síntomas más frecuentes son: hematuria (micro o macroscópica), uretrorragia (sangre fresca o seca por uretra), imposibilidad para la micción con o sin globo vesical, dolor abdominal bajo o difuso e imposibilidad para instalación de sonda uretrovesical.
En la evaluación clínica inicial es fundamental descartar compromiso rectal en todos los pacientes (tacto rectal) y vaginal en las mujeres (examen ginecológico).
Tanto el mecanismo del traumatismo como la sintomatología, nos aportará información sobre la posible lesión. El primer elemento de sospecha es el antecedente de un accidente de alta energía con FP asociada (accidentes de tránsito, caída de altura, atropello). En estos casos, se sospecha lesión vesical cuando se asocien a hematuria macroscópica y lesión uretral cuando tenga uretrorragia activa o sangre en el meato (sangre fresca o seca) (3).
Hay que tener en cuenta que hasta el 10% de los casos de lesión de la vía urinaria inferior no presenta hematuria (micro, macro) por lo que su ausencia no descarta la lesión. Además, no existe correlación entre el grado de hematuria y la magnitud de las lesiones (4).
En el caso de un traumatismo genital/perineal (caída a horcajadas, accidente en motocicleta con trauma perineal directo) asociado a sangre en el meato hay que sospechar una lesión uretral.
Ante esta situación y con la sospecha de lesión de la vía urinaria inferior, se realizan estudios para determinar el tipo de lesión: uretral, vesical o combinadas.
Si el paciente está hemodinamicamente estable y ha orinado espontáneamente, se examina la orina. Si hay hematuria macroscópica hay que realizar un estudio contrastado para descartar lesión de la vía urinaria. Si en cambio, la orina es normal se mantiene en observación y sólo en caso de microhematuria se realiza estudio contrastado.
Si el paciente no ha podido orinar, hay que evaluar si tiene sangre en el meato. Si no tiene, se realiza cateterismo uretrovesical suave y si es exitoso se examina la orina. Si hay dificultad en el cateterismo, se suspende el procedimiento y se realiza una uretrografía retrógrada al igual que en los casos en los que hay sangre en el meato (1,5). (figura 1)
El primer estudio que se suele realizar es la tomografía computarizada (TC) helicoidal de abdomen-pelvis en 4 fases: la fase 1 (sin contraste) identifica posibles calcificaciones preexistentes; la fase 2 (con contraste, angio-TC) permite la evaluación del pedículo vascular y de los vasos abdominales mayores; la fase 3 (portal o capilar) permite objetivar lesiones parenquimatosas de vísceras sólidas; y la fase 4 (excretora) a los 10-15 minutos tras la inyección del contraste, evalúa la vía urinaria y la eliminación de orina. Esta última fase es de gran importancia ya que si no se realiza existe el riesgo de no diagnosticar la lesión de la vía urinaria (3,6).

Hay que tener en cuenta que solo el 15% de las rupturas vesicales son diagnosticadas con TAC, por lo que si el paciente no tiene uretrorragia y hay sospecha de lesión vesical se debe complementar el estudio con placas cistográficas. Para ello se coloca una sonda uretrovesical y se llena la vejiga inicialmente con 100 ml de solución salina y medio de contraste. Si no hay extravasación de contraste, se continúa el llene hasta distender la vejiga con 350-400 ml. Se toman placas anteroposterior y oblicua y placas post-vaciamiento para visualizar pequeñas extravasaciones que hayan podido pasar desapercibidas Si la sonda no pasa con facilidad a la vejiga, se suspende el procedimiento y se debe realizar una uretrografía retrógrada para descartar lesión uretral asociada.(4,5).
En el caso de presencia de sangre en el meato, está contraindicado cateterizar la uretra sin realizar previamente una uretrografía retrógrada ya que el intento de instalación a ciegas de una sonda uretral puede agravar la lesión uretral, empeorando el pronóstico.
Este procedimiento se realizará en la sala de rayos con la cadera desproyectada. Para ello, una pierna estará estirada y la otra con la cadera en rotación externa y la rodilla flexionada, además de una posición oblicua de la pelvis de 30º. Esta posición permite explorar todo el trayecto uretral sin interposiciones óseas (figura 2). En pacientes politraumatizados esta posición está limitada y en ocasiones solo se pueden obtener imágenes en anteroposterior. En estos casos es útil inclinar el tubo de rayos unos 30 º hacia anterior.

La uretrografía se inicia con la fase retrógrada, empleando una jeringa de 20 ml con contraste diluido con suero fisiológico al 50% y con una punta cónica insertada en el meato. Se contrasta la uretra de forma retrógrada y suavemente, manteniendo la uretra estirada y evitando la entrada de aire para que no se produzcan imágenes dudosas.
Si no hay lesión uretral o tiene una lesión parcial (extravasación de contraste con paso de contraste a la vejiga), se instala una sonda bajo control radiológico y se completa el estudio con una cistografía (1,6). En otras ocasiones no es posible realizarla en estas condiciones, como en el caso de pacientes con FP que están inmovilizados con sabanilla, en estos casos la uretrografía se realizará en el quirófano a continuación de la fijación de la pelvis.
Si el paciente está hemodinámicamente inestable, es frecuente que sea llevado directamente al quirófano sin tiempo para efectuar estudios en estos casos, la UR se puede realizar en la mesa de operaciones, en decúbito dorsal y con un arco en C de rayos.
Ante el diagnostico de lesión de la vía urinaria (vesical, uretral o combinada), se procede a su tratamiento una vez que se hayan resuelto las lesiones más complejas y que amenazan la vida del paciente. Si en el momento agudo, las lesiones de la vía urinaria pasan desapercibidas, su manejo posterior es más complejo y contribuye negativamente en la salud del paciente aumentando la morbilidad.
Traumatismo vesical
Una vez realizado el estudio inicial descrito anteriormente, si se confirma lesión vesical, en primer lugar, se tratan las lesiones que ponen en riesgo vida del paciente e inmediatamente se resuelve la ruptura vesical.
El 1.6% de los traumatismos abdominales cerrados se asocian a lesión vesical. Según el mecanismo del accidente los traumatismos vesicales se clasifican en cerrados (67-86%) o penetrantes (14-33%) y pueden producir distintos tipos de lesiones: contusión vesical, ruptura vesical extraperitoneal (60%), intraperitoneal (30%) o mixta (10%) (5,7).
Entre los signos y síntomas de sospecha de lesión vesical, la hematuria es el más característico (80-95% de los casos). La microhematuria es más frecuente en contusiones o lesiones penetrantes y la hematuria macroscópica en lesiones más graves como las rupturas vesicales. No hay que olvidar que hasta un 10% de las rupturas vesicales se presentan sin hematuria, por lo que su ausencia no descarta la lesión. Otros son dolor abdominal con signos de peritonismo e imposibilidad para la micción sin globo vesical, característico de las lesiones intraperitoneales, y el hematoma genito-perineal por difusión del sangrado a través del canal inguinal o del orificio obturador (4,5,7).
Traumatismos cerrados
Son los más frecuentes y suelen ser consecuencia de un traumatismo abdomino-pélvico directo cuando la vejiga está llena o por movimiento de aceleración-desaceleración brusco que produce un aumento de la presión intravesical produciendo su ruptura. (accidente de tráfico, caída de altura, atropello).
Se pueden producir diferentes tipos de lesiones vesicales (figura 3):
Contusión vesical: Lesión de la mucosa vesical. Se sospecha en un traumatismo asociado a hematuria (micro, macro) y han sido descartadas lesiones en el resto de la vía urinaria. Si tiene micción espontánea con microhematuria, no requieren sonda uretrovesical. Si presenta hematuria macroscópica, precisa instalación de sonda Foley de calibre grueso (22-24 Fr).
Ruptura extraperitoneal: corresponde aproximadamente al 60% de los traumatismos vesicales. El 70-90% de estas lesiones se asocian a FP, sin embargo, solo el 10% de las FP se asocian a este tipo de lesión vesical (2). Suele producir lesión de la cara anterior o cercano al cuello vesical, por un mecanismo de compresión lateral, en el que la pared vesical es perforada por fragmentos óseos o por cizallamiento y rotura de los ligamentos puboprostáticos. El 80% se resuelven con manejo conservador, utilizando drenaje urinario con sonda uretrovesical o cistostomía gruesa durante 2-3 semanas.
Se debe realizar cistografía o cistoTC (TC con placas cistográficas) previo a retirada de sonda. Si el paciente va a ser operado por otras lesiones asociadas (laparotomía exploradora, estabilización de la pelvis) se puede plantear la reparación vesical en ese mismo tiempo quirúrgico.
Ruptura intraperitoneal: corresponde aproximadamente al 30% de los traumatismos vesicales. Suele ser secundario a un traumatismo abdominal de alta energía, con la vejiga llena, produciendo una elevación brusca de la presión intravesical y ruptura de la cúpula, que es la zona más débil. Generalmente se presenta en pacientes politraumatizados en estado crítico. Otro mecanismo de ruptura intraperitoneal cerrada es producido por iatrogenia urológica con procedimientos endoscópicos vesicales (RTU vejiga, cistoscopia, sobredistensión vesical). En estos casos la indicación es realizar una laparotomía exploradora y reparación vesical. El abordaje más adecuado es una laparotomía media infraumbilical que además permitirá explorar el resto del abdomen. Se debe realizar apertura vesical longitudinal anterior, de esta forma se pueden explorar correctamente los orificios ureterales y el cuello vesical por dentro.
La reparación vesical se realiza con sutura hermética de material reabsorbible. Si hay afectación del cuello vesical su reparación debe ser minuciosa fundamentalmente si se asocia a lesión de uretra posterior ya que la continencia urinaria futura dependerá del esfínter externo, situado a este nivel. Se desaconseja la manipulación del hematoma pelviano ya que puede producir sangrado de difícil manejo. Finalmente, se instala sonda uretrovesical y cistostomía suprapúbica que mantendrán durante 7-10 días. (4,5,7,8).

En los casos con lesión de uretra posterior asociada, se realizará el intento de realineamiento uretral anterógrado, si no es exitoso quedará solo con cistostomía y se realizará estudio y cirugía uretral de forma diferida. En el caso de perforación vesical durante una maniobra endoscópica, inicialmente puede manejarse de forma conservadora con sonda uretrovesical y si en las siguientes horas evoluciona con peritonismo hay que realizar exploración mediante laparotomía.
En los traumatismos cerrados, las indicaciones de cirugía abierta son: lesión del cuello vesical, fragmentos óseos en pared vesical y fistula vesico-vaginal o rectal.
Traumatismos Abiertos o Penetrantes
Son consecuencia de lesiones por arma de fuego, arma blanca o empalamientos. Más frecuentes en zonas bélicas. Se asocian muchas veces con lesiones vasculares graves y de órganos abdominales vecinos. Pueden producir lesiones tanto intra como extraperitoneales y en ocasiones mixtas.
Lo más frecuente es que presente hematuria macroscópica, pero hay que tener en cuenta que en este tipo de traumatismos es obligatorio descartar lesión vesical y/o del resto de la vía urinaria, independiente del grado de hematuria.
Otro mecanismo de ruptura vesical abierta son las iatrogenias producidas durante cirugías ginecológicas y colorrectales (7,4,5).
En estos casos, la indicación siempre es laparotomía exploradora, independiente de si la lesión es intra o extraperitoneal o mixta.
Traumatismo uretral
Las lesiones uretrales no constituyen una urgencia vital por sí mismas, por lo que, en primer lugar, se tratarán las lesiones que ponen en riesgo vida del paciente. Lo idóneo es realizar el diagnóstico en la fase aguda, establecer el tipo de lesión y decidir si el tratamiento se efectuará de forma inmediata o diferida.
Según el mecanismo del accidente los traumatismos uretrales pueden ser (9,10):
- Traumatismo cerrado: En la uretra posterior el mecanismo más frecuente es la disrupción bulbo-membranosa por una FP. El 90% de las rupturas de uretra posterior se asocia con FP, sin embargo, solo el 5-10% de las FP se asocian a lesión uretral, siendo más frecuente en las FP inestables. Son accidentes de alta energía por lo que suelen ser politraumatizados con riesgo vital. En la uretra anterior el mecanismo más frecuente es por un golpe directo en la región perineal, caída a horcajadas, accidentes deportivos, produciendo la rotura de uretra bulbar.
- Traumatismo penetrante: Causadas por heridas de bala o arma blanca.
- Trauma sexual: Ruptura cavernosa por flexión forzada del pene. En el 20% de los casos se produce ruptura uretral (50% bulbar, 25% peniana).
- Traumatismo uretral por la introducción de cuerpos extraños como ocurre en los casos de pacientes con trastorno psiquiátrico.
El signo más característico de una lesión uretral es la sangre en el meato (fresca o seca). Como ya se describió anteriormente, en estos casos, el cateterismo uretral está contraindicado sin haber realizado previamente una uretrografía retrógrada, ya que un cateterismo a ciegas puede acentuar la lesión uretral (11).
La uretrografía retrógrada se realiza con la mínima cantidad de contraste que permita realizar el diagnóstico. Las grandes extravasaciones interfieren en la localización de la lesión, además de aumentar el riesgo de infección y de fibrosis periuretral.
Podemos encontrarnos con 3 situaciones, que pueden objetivarse en lesiones tanto de la uretra anterior (distales al diafragma urogenital) como de la uretra posterior (a nivel o proximal al diafragma urogenital) (9,11).
- Sin extravasación de contraste: En los casos de elongación o contusión uretral superficial sin interrupción de la submucosa.
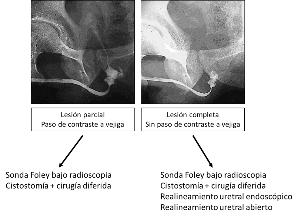
- Extravasación con paso de contraste hacia la vejiga: En las lesiones parciales.
- Extravasación sin paso de contraste a la vejiga: En las lesiones completas.
Existen varias clasificaciones del traumatismo uretral, la más reciente es la propuesta por la Asociación Europea de Urología (4):
- Tipo 1: Elongación
- Tipo 2: Contusión
- Tipo 3: Rotura parcial
- Tipo 4: Rotura completa de uretra anterior
- Tipo 5: Rotura completa de uretra posterior
- Tipo 6: Rotura parcial o completa de uretra posterior asociado a un desgarro del cuello vesical o de la vagina.
Uretra Posterior
Los traumatismos de la uretra posterior (UP) suelen ser secundarios a accidentes de alta energía (accidente tránsito, caída de altura, atropello) asociados a FP. El 90% de las lesiones de la UP se asocian a FP y a su vez el 5-10% de las FP se asocian a lesión uretral. Por este motivo, en todo paciente con FP se debe descartar dirigidamente una lesión uretral independiente de presentar o no sangre en el meato o si ha orinado espontáneamente (2,9,10,11).
La UP está íntimamente relacionada con el arco anterior de la pelvis ósea, al que se fija por los ligamentos pubo-prostáticos y el diafragma urogenital. Esto explica que una disrupción del anillo pelviano pueda lesionar la uretra a nivel bulbomembranoso.
El diagnóstico precoz y su manejo correcto disminuyen las complicaciones asociadas, como la estenosis uretral, incontinencia urinaria y disfunción eréctil (10).
Manejo inicial de las lesiones traumáticas de la UP (9,11,12):
- Lesión parcial:
- Cateterización uretral simple: Se puede intentar la colocación de una sonda Foley, suavemente y bajo control radiológico, si es exitoso se mantiene durante 2-3 semanas y previo a su retirada se realiza una pericateterografía. Para ello, sin retirar la sonda, se introduce entre la sonda y el meato uretral, una bránula vascular 16G o 18G a través de la cual se inyecta medio de contraste. Si ya no hay extravasación del contraste, se retira la sonda. Si persiste la extravasación, se mantiene la sonda y se repite la pericateterografía semanalmente hasta su resolución.
- Cistostomía suprapúbica: Si se encuentra alguna dificultad en el cateterismo uretral, se debe suspender el procedimiento e instalar una cistostomía. A las 2-3 semanas puede realizarse una uretrocistografía combinada para determinar las características de la lesión uretral y definir su manejo diferido. Para ello, se realiza una uretrografía retrógrada y se coloca una pinza de pene para mantener el contraste en la uretra. A continuación, se llena la vejiga con 250-300 ml de contraste diluido al 50% y se autoriza a iniciar la micción, se esta manera se evalúa la continencia del cuello vesical, su apertura, la localización de la lesión uretral y su longitud.
- Otra opción es el realineamiento uretral endoscópico o abierto, indicado en pacientes en los que el cateterismo uretral no se pudo realizar y que van a ser operados por otra razón.
- Lesión completa (9,10,11):
- Cateterización uretral simple: En ocasiones también es posible la instalación de sonda uretral en las lesiones completas, siempre suavemente y bajo control radiológico. La sonda permanecerá de 3 a 6 semanas. Previa a su retirada se realizará una pericateterografía.
- Cistostomía suprapúbica: Si se encuentra alguna dificultad en el sondaje, se suspende el procedimiento y se instala una cistostomía. A las 2-3 semanas se realiza una uretrocistografía combinada para caracterizar la lesión y se programa la cirugía diferida. Esto supone aceptar un 100% de estenosis, pero la incidencia de complicaciones (incontinencia y disfunción eréctil) parece ser menor.
- Realineamiento uretral primario endoscópico: Se plantea en pacientes que van a ser operados de otras lesiones. El objetivo es intubar la ruptura, dejando instalada una sonda uretral . Se puede realizar con cistoscopio rígido o flexible, o con técnica combinada en forma retrógrada y anterógrada a través de un acceso suprapúbico. Debe realizarse cuando la situación del paciente lo permita hasta 2 semanas postaccidente. El periodo ideal es dentro de las primeras 48 horas. La sonda se mantiene por 3-8 semanas. Las tasas de éxito varían entre 70-93%, pero el problema principal es el alto índice de recidivas a largo plazo (hasta 90%) y que requieren procedimientos adicionales para su resolución. El tiempo empleado hasta la solución definitiva es mucho mayor en los casos de realineamiento endoscópico comparado con la cistostomía y cirugía diferida (122 meses vs 7 meses). Por este motivo, ante una recidiva la recomendación es la uretroplastia (13,14). Se recomienda efectuar realineamiento uretral primario si la FP compromete al sacro con daño del plexo sacro, quedando el cuello vesical abierto. En esta situación, a pesar de tener cistostomía, puede escapar orina al espacio perivesical.
- Realineamiento uretral primario abierto: Se plantea en pacientes que van a ser sometidos a una laparotomía exploradora. Se accede a la vejiga, abriéndola longitudinalmente, se explora y si es posible se realiza la intubación uretral usando técnica combinada (retrógrada y anterógrada). No se debe explorar el hematoma prevesical ni disecar el espacio retropúbico.
Hay situaciones en las que está indicado realizar una exploración quirúrgica de forma inmediata (9,10,11,12):
- Gran hematoma pelviano con desplazamiento cefálico de la vejiga y gran separación de los cabos uretrales, dificultando la reparación diferida. En estos casos se recomienda el realineamiento uretral.
- Lesión rectal o vaginal asociada, que deben ser reparadas primariamente para evitar sepsis pelviana. Para la lesión uretral se puede tratar de realizar realineamiento abierto o bien instalar la cistostomía suprapúbica y uretroplastia diferida.
- Lesión del cuello vesical, que debe ser reparada minuciosamente ya que la continencia urinaria futura dependerá del funcionamiento normal del esfínter interno situado a este nivel. Para la lesión uretral se puede tratar de realizar realineamiento abierto o bien instalar la cistostomía suprapúbica y uretroplastia diferida.
- En ningún caso está indicado la uretroplastia inmediata.
Manejo diferido de las lesiones traumáticas de la UP
El tiempo de espera recomendado en la literatura para la uretroplastia diferida es de 3 a 6 meses. Sin embargo, en nuestra experiencia es posible efectuar la reconstrucción a partir de las 4-6 semanas siempre que no exista empastamiento o induración del periné al tacto rectal, que tenga autorización del traumatólogo para posicionar al paciente en litotomía (fractura de pelvis estable) y que estén controladas las lesiones asociadas de otros sistemas (15).
Estas lesiones se reparan mediante excisión-anastomosis primaria (uretroplastia termino-terminal) bulboprostática. En los casos traumáticos la uretrotomía endoscópica no está indicada por el alto riesgo de recidiva.
La FP puede producir daño arterial provocando disfunción eréctil y compromiso de la irrigación uretral retrógrada (10). El suministro de sangre al bulbo dependerá principalmente de la irrigación anterógrada por las arterias bulbares. En aquellos pacientes con disfunción eréctil post-traumática, se debe realizar un eco-doppler de pene con inyección intracavernosa de prostaglandina E1 para descartar insuficiencia arterial peneana. En estos casos, la disfunción eréctil puede tener distintas causas: vascular (28-96%), neurogénica (20-89%), psicógena (4-38%) o mixta.
Si se confirma insuficiencia arterial peneana., en primer lugar, se indica la revascularización peneana, y en unos 3 meses y con la confirmación doppler que el by-pass está funcionante, se procede a la reparación uretral (9,11). Esta revascularización permite disminuir el riesgo de isquemia de la anastomosis uretral ya que las arterias bulbares también pueden estar lesionadas por la propia FP o ser lesionadas durante la uretroplastia.
Con el mismo objetivo de preservar el flujo arterial al bulbo uretral, nuestro equipo describió una variación de la técnica de preservación de arterias bulbares en los casos de disrupción completa de la UP.
Con un estetoscopio Doppler intraoperatorio, se identifican las arterias bulbares, se selecciona la arteria con mejor flujo para su preservación y se moviliza la uretra contralateralmente. En algunos casos es posible la preservación de ambas arterias. La preservación de las arterias bulbares optimiza el resultado de la uretroplastia, disminuyendo la probabilidad de recurrencia y en aquellos casos con incontinencia urinaria postraumática que posteriormente precisen el implante de un esfínter urinario artificial, puede disminuir las posibilidades de complicaciones relacionadas con el manguito (15).
Los elementos claves para el éxito de la uretroplastia son la excisión completa de la estenosis y de la fibrosis y realizar la anastomosis de mucosa a mucosa sana, con espatulación de los cabos y sin tensión. Para ello existen varias maniobras secuenciales como la movilización del bulbo uretral, movilización uretral proximal y distal e incisión del septum intercavernoso. En los casos más complejos puede ser necesario realizar además una pubectomía inferior e incluso el desvío uretral supracrural (re-rutaje). La anastomosis se realiza sobre una sonda Foley siliconada 16 Fr y con sutura absorbible 4/0 o 5/0. A las 3-4 semanas se realiza una pericateterografía, si no hay extravasación de contraste se retira la sonda uretrovesical y se clampea la cistostomía. Si durante las siguientes 24 horas micciona sin dificultad, se retira la cistostomía (16,17). Hay que tener en cuenta que un defecto corto en la uretrocistografía combinada no es predictor de una cirugía simple.
Uretra Anterior
La uretra anterior (UA) es el segmento distal al diafragma urogenital que incluye la uretra bulbar, peneana y fosa navicular. El mecanismo traumático más frecuente es traumatismo directo perineal o caída a horcajadas, produciendo lesión a nivel de uretra bulbar. Otros mecanismos son los penetrantes (arma de fuego, arma blanca, empalamiento), bandas constrictivas de la base del pene (estuche peneano), lesión por actividad sexual (fractura de pene, artilugios sexuales (anillos constrictores, juguetes sexuales)), lesión por introducción de cuerpos extraños (pacientes psiquiátricos), iatrogenia (cateterismo uretral o procedimientos endoscópicos urológicos) (1,10,11).
Son menos frecuentes que los traumatismos de UP. En ocasiones son secundarias a un traumatismo menor que pasó desapercibido y posteriormente se manifiesta como una estrechez. El signo más característico es la presencia de sangre en el meato. Otros son: la incapacidad para orinar, globo vesical, urinoma perineal o hematoma perineal en forma de mariposa. Si la lesión pasa desapercibida en el momento agudo, puede complicar la situación del paciente , dificultando la reparación diferida.
Manejo inicial de las lesiones traumáticas de la UA
Las recomendaciones del manejo van a depender de la etiología y de la condición general del paciente (11,12).
- Contusión uretral: Se debe realizar un intento suave de cateterismo uretral bajo control radiológico y si se encuentra alguna dificultad, se instala una cistostomía suprapúbica.
- Lesiones parciales o completas: Es difícil establecer recomendaciones estrictas debido a la gran variabilidad de las etiologías y condiciones de los pacientes. El manejo es selectivo, de acuerdo con las condiciones generales y locales, así como la experiencia del equipo tratante. La reparación primaria se puede realizar para lesiones contusas o penetrantes con daño tisular limitado y escasa contaminación. De lo contrario, la mejor opción es una derivación suprapúbica y reparación diferida a las 4-6 semanas. En los casos de caídas a horcajadas, con lesión de la uretra bulbar, pueden presentar un hematoma perineal e inflamación local, por lo que la recomendación es intentar un cateterismo uretral suave bajo control radiológico y si hay dificultad se instalará una cistostomía suprapúbica. A las 2-3 semanas se realizará una uretrocistografía combinada, si se confirma estrechez uretral postraumática, se programará la cirugía diferida. Otra opción es el realineamiento uretral endoscópico o abierto, planteado en pacientes en los que el cateterismo uretral fue frustro y van a ser operados por otras lesiones.
En cuanto a las lesiones iatrogénicas, la mayoría se resuelven con una sonda Foley durante 2 semanas. En aquellos traumatismos complejos con lesión ano-recto-perineal suelen asociarse a FP y lesión uretral. La lesión uretral puede ser de UP asociada a la FP o de UA secundaria al desgarro perineal. El tratamiento quirúrgico debe ser precoz, incluyendo aseo quirúrgico de las heridas, cistostomía y colostomía. La reparación uretral se realizará de forma diferida.
Manejo diferido de las lesiones traumáticas de la UA
En estos casos, suele haber fibrosis moderada-severa, por lo que está contraindicado y no se recomienda realizar una uretrotomía interna ya que la posibilidad de recidiva es muy alta. Aunque la estrechez sea corta lo indicado es una uretroplastia. Si es <2,5 cm la reconstrucción indicada es la excisión-anastomosis primaria (uretroplastia termino terminal) con preservación de una o ambas arterias bulbares y si es >2,5 cm, según el caso se puede plantear una uretroplastia termino terminal ampliada con injerto en posición dorsal, uretroplastia de sustitución con injerto en posición dorsal o ventral (siempre y cuando exista buen cuerpo esponjoso que permita cubrir el injerto), colgajo cutáneo (en desuso) o técnicas combinadas (injerto en posición dorsal y colgajo cutáneo en posición ventral) (10,17).
En ocasiones, el manejo inicial se realiza en otro centro y los pacientes son derivados con sonda uretrovesical instalada, cistostomía o ambas, sin tener información exacta del tipo lesión.
En estos casos se precisa estudio uretral. Si tiene sonda uretrovesical se realizará pericateterografía y si tiene cistostomía, una uretrocistografía combinada.

Traumatismo genital externo masculino
Los traumatismos genitales (pene, escroto y su contenido) pueden ser cerrados o abiertos, y ser consecuencia de golpes directos o en el contexto de un politraumatismo asociado a traumatismo pélvico como son las caídas, accidentes deportivos, accidentes de tráfico u otra variedad de mecanismos como lesiones por actividad sexual, mordeduras, quemaduras, lesiones autoinfringidas (castración), etc. Los genitales en el varón, a diferencia de la mujer, están expuestos, esto hace que sean más vulnerables a recibir algún impacto o traumatismo.
Estas lesiones pueden ser difíciles y complejas ya que ponen en peligro la función genital (potencia, la fertilidad y la micción) y el aspecto estético, causando un gran impacto emocional y psicológico, por lo que es importante considerar el apoyo psicológico desde el inicio. El diagnóstico y tratamiento quirúrgico precoz son claves para recuperar la función y evitar secuelas incapacitantes (1,4,5).
Traumatismo Escrotal
Son los más frecuentes. Puede afectarse el escroto y/o su contenido (testículo, epidídimo y cordón espermático). Es importante evaluar precozmente la gravedad del traumatismo ya que de ello depende la viabilidad del teste afectado. El mecanismo más frecuente es el traumatismo cerrado por un accidente en motocicleta.
Los signos y síntomas más característicos son: aumento de volumen escrotal, dolor a la palpación y en ocasiones presenta heridas superficiales. Además, se debe realizar un examen físico completo y sistemático para descartar otras lesiones asociadas. En la exploración, la palpación suele ser dolorosa, haciendo que la evaluación física sea difícil.
La ecografía es un método de apoyo diagnóstico de gran valor. Cuando es realizada por un operador con experiencia y con transductores de alta resolución (7,5 o 10 MHz), tiene una precisión diagnóstica del más del 90%. Además, aporta información sobre el testículo contralateral y preexistencia de alguna anormalidad testicular.
Si no hay lesiones se adopta una actitud expectante, pero ante cualquier anomalía es preciso realizar exploración quirúrgica.
Traumatismos cerrados (18,19)
Escroto: traumatismo directo sobre la piel escrotal sin afectar al contenido escrotal. Laceración, equimosis limitada al escroto, quemaduras superficiales. El hematoma escrotal se caracteriza por un engrosamiento ecográfico de las capas escrotales, sin lesiones testiculares.
Su manejo es conservador con curaciones locales y vacuna antitetánica si así lo requiere. En los casos que asocie infección o áreas necróticas el manejo es con curaciones locales, desbridamiento de las zonas no viables y antibioterapia según el antibiograma del cultivo de la herida.
Hematocele: hematoma entre túnica albugínea y túnica vaginal. La imagen ecográfica inicial característica, muestra una colección hipoecogénica alrededor de un testículo no lesionado. Posteriormente se produce coagulación de la sangre, haciendo la imagen más ecogénica y dificultando la visualización del testículo. Es por esto, la importancia de realizar un diagnóstico precoz con apoyo ecográfico. Para su manejo se recomienda la exploración quirúrgica para el drenaje del hematoma y aseo. De esta manera se alivia la discapacidad y se acelera la recuperación del paciente.
Testículo: contusión testicular, hematoma intratesticular, rotura testicular y luxación traumática testicular. La contusión testicular es la lesión más frecuente y suele ser debida a un golpe directo. Los hematomas intratesticulares habitualmente se localizan bajo la túnica albugínea y suelen ser identificados ecográficamente como un área hipoecogénica con un halo de mayor ecogenicidad. Tanto la contusión testicular como el hematoma intratesticular leve, su manejo es conservador, con reposo, analgesia, antiinflamatorios y suspensión escrotal. Si el hematoma es de gran tamaño, la indicación es drenaje y exéresis de parénquima no viable. Estos casos, se debe biopsiar el tejido desbridado y realizar el seguimiento con ecografía y marcadores tumorales, ya que pueden confundirse con lesiones tumorales.
En la rotura testicular, se produce un desgarro de la túnica albugínea con extrusión parenquimatosa. En la ecografía se objetiva un patrón heterogéneo con áreas irregulares hiper o hipoecogénicas. La túnica albugínea se identifica como una banda lineal ecogénica y ocasionalmente se puede demostrar la interrupción de la túnica en el sitio de la ruptura. Ante la sospecha de una rotura testicular, es mandatorio realizar una exploración quirúrgica, siempre con la intención de cirugía conservadora del testículo a no ser que el testículo no sea viable. Se extirpan los túbulos testiculares necróticos y se cierra la albugínea sin tensión para evitar un síndrome compartimental intratesticular.
Hay que tener en cuenta que el parénquima testicular está formado por túbulos, que contienen espermatogonias haploides que generan una reacción inmunológica al romperse la barrera hemato-testicular, produciendo una reacción inflamatoria crónica de difícil solución, terminando habitualmente en orquiectomia. Por esta razón es importante el diagnóstico y tratamiento precoz de las roturas testiculares y en la reparación no dejar tejido tubular expuesto.
La luxación traumática testicular es rara, pudiendo desplazarse el testículo hacia la región inguinal. Inicialmente puede intentarse la recolocación manual y orquidopexia secundaria. Si no se logra la reducción, mediante una incisión inguinal se accede al testículo luxado, se reposiciona y se orquidopexia (1,19).
Epidídimo: Contusión (lo más frecuente y suele ser secundaria a un golpe directo) y hematoma, cuyo manejo es conservador con reposo, analgesia, antiinflamatorios y suspensión escrotal. La rotura precisa exploración quirúrgica y según los hallazgos se podrá realizar reparación o epididimectomía. Los casos de orquitis, epididimitis u orquiepididimitis post-traumáticas, son cuadros benignos que se resuelven sin secuelas, pero suelen tener un curso arrastrado y prolongado. Es preciso realizar estudio de orina para descartar infección urinaria preexistente o enfermedades de transmisión sexual.
Cordón espermático: Si se produce elongación o hematoma leve el manejo es conservador. En el caso de lesión vascular, hematoma de gran tamaño, sección completa o torsión está indicado la exploración quirúrgica y reparación, y si no existe viabilidad del testículo se realizará orquiectomía.
Traumatismos abiertos o penetrantes (18-20):
Son poco frecuente, como resultado de agresiones, lesiones por arma blanca o de fuego, accidente laboral (maquinaria con piezas giratorias), accidente de tráfico. En estos casos, la profilaxis antibiótica y antitetánica es obligatoria. Todo traumatismo penetrante obliga a la exploración quirúrgica.
Escroto: Herida incisa, inciso-contusa o desgarro de la bolsa escrotal. Se realiza lavado de la herida, desbridamiento del tejido no viable y sutura primaria. Si la herida está infectada, además se tomarán muestras para cultivo y el cierre primario estaría contraindicado.
Testículo: Rotura de la túnica albugínea con exposición del parénquima testicular. Su manejo va a depender del grado de lesión y de la viabilidad del parénquima testicular. Puede efectuarse una reconstrucción primaria en la mayoría de los casos y en aquellos en los que hay una destrucción extensa de la albugínea podría repararse con túnica vaginal para lograr el cierre testicular. Si el paciente está inestable o no puede lograrse la reconstrucción, está indicada la orquiectomía. En el estallido testicular y avulsión la indicación es orquiectomía. Puede colocarse una prótesis testicular en el mismo tiempo o en un segundo tiempo.
Epidídimo: Rotura con sección de túbulos seminíferos. Exploración quirúrgica y según los hallazgos se podrá realizar reparación o exéresis.
Cordón espermático: En la avulsión, si el teste está viable, se puede realizar cirugía microquirúrgica para realineamiento, pero sin vasovasostomía que se podrá realizar secundariamente.
Amputación: se han reportado casos de automutilación en transexuales y en pacientes psiquiátricos. En estos casos, es fundamental el apoyo psiquiátrico de forma precoz ya que, si no se resuelve el problema de base, se puede producir una nueva mutilación.
La lesión más frecuente en los transexuales es la orquiectomía bilateral. Si la amputación ha sido completa, se realizará aseo, hemostasia y cierre primario, sin intento de reimplante testicular microquirúrgico. Sin embargo, en los pacientes psiquiátricos, la mayoría de los autores coinciden en que debe intentarse el reimplante ya que la respuesta al tratamiento psiquiátrico suele ser exitosa y la rehabilitación del paciente será positiva si se ha realizado previamente el reimplante.
Traumatismo peneano
Son infrecuentes. Según el mecanismo de producción pueden ser cerrados o abiertos. (1,18-20)
Los signos y síntomas más característicos son: Hematoma debajo de la fascia de Buck (si se rompe, se produce extravasación de sangre a escroto y periné), sensibilidad focal en sitio de la rotura y defecto palpable en cuerpo cavernoso. Si se asocia una lesión uretral, podrá tener retención urinaria, sangre en el meato o hematuria macroscópica con disuria.
En los traumatismos abiertos o penetrantes, la clínica dependerá de la extensión y gravedad de las lesiones, en los casos de afectación leves la clínica habitual es dolor localizado y sangrado activo y en los casos severos se asocia a la afectación general del paciente llegando incluso a estado de shock.
Traumatismos cerrados
Contusión: La contusión simple se produce generalmente por un traumatismo estando el pene en flacidez. Suele asociarse a lesiones de vecindad (escrotal, inguinal, abdomen). Se presenta habitualmente con equimosis o hematoma subcutáneo prepucial. Si el hematoma es importante precisa ser drenado.
Laceración prepucial: Atrapamiento de la piel prepucial por la cremallera. Durante el coito se pueden producir laceraciones superficiales o desgarros del frenillo. Otro mecanismo descrito son las lesiones producidas por succión al introducir el pene en el extremo de la aspiradora con intención sexual. Para el manejo de estas lesiones se precisa realizar aseo de la herida, remoción de cuerpos extraños, desbridamiento y descartar lesiones asociadas. Si la laceración es pequeña y consulta precozmente, se puede realizar el cierre primario, sin embargo, si es extensa, consulta tardíamente o es una herida muy contaminada está contraindicado el cierre primario. El manejo sería con aseos, en ocasiones precisan derivación urinaria con cistostomía y cierre diferido. En el caso de atrapamiento por una cremallera hay que tratar de liberar con una maniobra suave y si no es posible se realizará una circuncisión.
Estrangulamiento: Por anudamiento o introducción de objetos anillados (anillo, tuercas, tubo, bandas), produciendo estasis venosa y linfático superficial, distal a la compresión, provocando edema progresivo que dificulta la extracción e incluso la visualización del objeto. Por este motivo, ante un edema peneano no explicado, se debe sospechar estrangulamiento y hay que buscar dirigidamente algún objeto constrictor. Si no se resuelve precozmente, la afectación del flujo arterial puede evolucionar con necrosis prepucial e incluso del cuerpo cavernoso y fistula uretral. En adultos las causas más frecuentes son por actividades sexuales (masturbación o prolongación de erección), pacientes psiquiátricos, uso de recolector urinario externo con condón. En niños, las causas más frecuentes son las provocadas por cuerdas, pelos, hilos o bandas de goma.
Los objetos blandos y extensibles son más fáciles de remover, el problema principal es con los objetos metálicos, se han descrito muchas maneras de extracción, el punto común es la disminución del edema y su desplazamiento hacia proximal para poder realizar la extracción. En algunos casos es preciso usar dispositivos de corte. Una vez extraído el objeto hay que descartar afectación uretral con una uretrografía.
El manejo es con desbridamiento de los tejidos afectados, inicialmente superficial hasta que se definan las áreas necróticas. En los casos menos graves se puede realizar sutura primaria de los bordes desbridados, pero cuando son más graves se requiere de un desbridamiento gradual y reconstrucción diferida por etapas. Una secuela de esta situación es el edema crónico de la piel. En estos casos se recomienda la remoción completa de la piel edematosa y cobertura con injertos (piel total o dermoepidérmicos gruesos son la mejor opción).
Rotura o fractura: Ruptura traumática de la albugínea, habitualmente de un cuerpo cavernoso con el pene en erección, más frecuente durante el coito (mujer en posición superior) o la masturbación, también descrita durante el sueño. Al momento de la lesión se siente un crujido, seguido de dolor y detumescencia inmediata y posteriormente aparece un hematoma y desviación del pene hacia el lado contrario de la lesión. En un 20% puede asociarse a lesión uretral por lo que previo a la reparación es necesario realizar una uretrografía retrógrada. El rasgo de fractura suele ser transversal y en cualquier posición a lo largo del pene. El diagnóstico se basa en la sospecha clínica, la exploración física y estudios dirigidos.
No existe ningún estudio estandarizado para evaluar los cuerpos cavernosos, pero se pueden solicitar: cavernosografia (con una palomilla se punciona dorsolateralmente el cuerpo cavernoso indemne, se inyecta medio de contraste diluido que demuestra defectos de llenado que sugiere un hematoma intracavernoso y extravasación de contraste en el sitio de la lesión. Es un estudio invasivo, doloroso, con falsos negativos debido a su difícil interpretación, no exentos de complicaciones (infección, fibrosis intracavernosa)); ecografía (método no invasivo y disponible, muy útil si es realizado por un ecografista experimentado y con equipos de alta resolución); resonancia magnética (produce una señal de alta intensidad a nivel del hematoma que contrasta con la baja intensidad de la túnica fibrosa. Es el estudio de elección si está disponible y el paciente lo tolera); uretrografia retrógrada (si se sospecha lesión uretral asociada, como uretrorragia o imposibilidad para la micción espontánea).
El tratamiento siempre es quirúrgico y precoz, disminuyendo el riesgo de complicaciones como sangrado, infección y curvatura peneana. El abordaje puede ser subcoronal (preferencia en circuncidados) o con una incisión lateral longitudinal sobre el sitio de ruptura (preferencia en no circuncidados con gran edema prepucial o en lesiones bien localizadas), se evacúa el hematoma, desbridamiento limitado en los cuerpos cavernosos y se repara la albugínea con sutúra reabsorbible 3/0-4/0 y hermética.
Las lesiones uretrales asociadas, se reparan en el mismo acto quirúrgico. Si es completa, se desbridan los bordes, se espatulan y se anastomosa de forma termino-terminal. En las lesiones parciales, se puede instalar sonda Foley.
Traumatismo abierto o penetrante
Consisten principalmente en erosiones y pinchazos, generalmente en niños. Otra causa, más frecuente en adultos, es la provocada una máquina industrial al quedar atrapada la ropa, provocando desde lesiones simples hasta grandes mutilaciones con avulsión de la piel, exposición de cubiertas penianas y afectación de piel de la vecindad (escroto, periné, abdomen). Otra causa, aunque muy infrecuente, es la amputación peniana, incluso la automutilación (pacientes transexuales o psiquiátricos).
Si el pene amputado se mantiene en frío, se puede prolongar el tiempo de isquemia de 18 hasta 24 horas, realizar un desbridamiento limitado, reanastomosis uretral termino-terminal con extremos espatulados sobre una sonda Foley, sutura de la adventicia de cuerpo esponjoso, sutura de la túnica albugínea de los cuerpos cavernosos y la reanastomosis microquirúrgica neurovascular (arterias, vena y nervios dorsales).
Si la técnica microquirúrgica no es posible, igualmente se debe intentar la reinserción del pene ya que al menos se podría obtener un resultado estético aceptable. En estos casos, se recomienda la derivación urinaria con una cistostomía suprapúbica. En los casos en los que no se disponga del pene amputado o si está muy dañado o si ha pasado mucho tiempo de isquemia, se debe realizar un muñón peniano. Si el tamaño del muñón es pequeño y no le permite dirigir el chorro durante la micción, está indicado realizar además una uretrostomía perineal. En casos seleccionados, posteriormente se puede indicar la reconstrucción de un neofalo.
Lesiones genitales por armas de fuego
Más frecuente en zonas bélicas y menos frecuente en la práctica civil. Las armas se dividen en función de la velocidad de su proyectil (1,18,19). Las armas con proyectiles de baja velocidad: son las más usadas en la práctica civil.
El daño se limita al trayecto del proyectil. Un caso especial son las escopetas ya que a pesar de ser armas de baja velocidad, pueden descargar una gran cantidad de energía a corta distancia ya que los perdigones al estar aún compactados, actúan como un solo proyectil de alta masa, provocando gran daño, fundamentalmente si se trata de disparos múltiples. Las armas con proyectiles de alta velocidad: el daño se produce más allá del trayecto del proyectil, esto se debe al fenómeno de cavitación o explosión que provocan. El armamento militar actual, en su mayoría usa este tipo de proyectil.
La prioridad del tratamiento son las lesiones que amenazan la vida del paciente. Una vez estabilizado, se presta atención a la lesión genital. Debido a la movilidad que tiene los genitales no es posible predecir el daño real provocado por el proyectil, por tanto, además de realizar los estudios de imágenes de acuerdo a su trayectoria, es preciso descartar lesiones asociadas como lesiones vasculares (angiografía, como en el caso de que el muslo esté afectado), lesión de órganos pelvianos (sigmoidoscopia, enema baritado, cistografía, tomografía computada), lesión uretral en lesiones del pene y escrotales profundas (uretrografía) y/o testicular (ecografía).
Para la evaluación de los cuerpos cavernosos no hay un estudio confiable por lo que se recomienda realizar una exploración quirúrgica precoz. El tratamiento siempre es quirúrgico. Habitualmente son heridas muy contaminadas que precisa un aseo profuso, extracción de cuerpos extraños y desbridamiento de tejidos necróticos. Los genitales tienen muy buena irrigación, por lo que tejidos inicialmente críticos pueden sobrevivir finalmente. Por este motivo, el desbridamiento debe ser muy conservador con el objetivo de preservar el máximo parénquima funcional posible.
Siempre que sea posible, se debe realizar reparación primaria de las estructuras dañadas. Las lesiones de los cuerpos cavernosos se reparan con sutura hermética de la albugínea con material reabsorbible como PDS 3/0 o 4/0. En las lesiones testiculares, se debe tratar de realizar la reconstrucción testicular con preservación del parénquima viable. En muchas ocasiones el daño es severo lo que obliga a realizar la orquiectomía. En cuanto a las lesiones uretrales, si es posible se repararán con material absorbible, como PDS o poliglecaprone 5-0 o 6-0, sobre una sonda Foley siliconada. Las lesiones en el cordón espermático se desbridan limitadamente y se realiza hemostasia minuciosa. En secciones del conducto deferente, se ligan y se marcan los extremos con suturas oscuras no absorbibles, para su identificación y reparación microquirúrgica diferida si lo requiere.
Solo en casos seleccionados, con una penetración superficial de la piel y un estudio diagnóstico normal, pueden manejarse de forma conservadora sin necesidad de exploración quirúrgica. Los casos más complejos son las heridas producidas por proyectil de alta velocidad o escopeta a corta distancia, en los que hay gran destrucción tisular además de asociarse a otras lesiones y a una alta tasa de mortalidad. Para su manejo inicial se recomienda hemostasia, aseo y desbridamiento, esperar a que se defina la lesión y necrosis tisular y reparar de forma diferida.
Mordeduras genitales
Son poco frecuentes, pero es de suma importancia su evaluación y tratamiento precoz ya que las mordeduras humanas y de animales son heridas muy contaminadas y un alto potencial infeccioso (1,19,21).
En el caso de las mordeduras humanas se presentan habitualmente en el contexto de prácticas sexuales orogenitales, suelen ser superficiales y esto hace que no consulten de forma precoz. En el caso de mordeduras por animales, suelen ser por accidente con animales domésticos, en estos casos la consulta suele ser inmediata, pero las lesiones suelen ser más complejas, incluso con amputación de partes genitales. Aquellos pacientes que consultan antes de 48 horas suelen requerir sólo cuidados locales y antibióticos orales. Sin embargo, pacientes que consultan tardíamente pueden desarrollar graves complicaciones, tales como abscesos e incluso fascitis necrotizante.
En ambos tipos de mordeduras, los principios de manejo son los mismos, con administración de toxoide tetánico, toma de cultivo, antibioterapia de amplio espectro (cobertura para gérmenes Gram positivos incluyendo Staphylococcus aureus, y también Gram negativos y anaerobios) y aseo quirúrgico. En estos casos, está contraindicada la reparación primaria. En las mordeduras animales además hay que administrar la vacuna antirrábica.
Además de la potencial infección local que producen las mordeduras, se ha reportado que las mordeduras humanas pueden transmitir sífilis, hepatitis B y C, VIH, tétanos, tuberculosis, actinomicosis y herpes simplex.
Es preciso realizar una vigilancia estrecha por el potencial riesgo de complicaciones infecciosas que tienen. Según la evolución se definirá la necesidad de aseos quirúrgicos repetidos y/o cambio de antibioterapia.
Hay estudios que reportan una baja tasa de infección por mordeduras humanas, a pesar de ello y debido a que las infecciones bacterianas genitales pueden tener consecuencias devastadoras, estos casos deben ser considerados como heridas de alto riesgo y por lo tanto sería apropiado el uso de antibioterapia oral empírica.
Quemaduras genitales y lesiones por radiación
Ocurren en el 2 % de las quemaduras y suelen estar asociadas a quemaduras extensas. Su presentación aislada es muy infrecuente. Suelen ser pacientes graves, que requieren de tratamiento intensivo (22). Las causas más frecuentes son las producidas por fuego o agua caliente. El manejo es similar al resto de las quemaduras en otra parte del cuerpo, con la diferencia que en estos casos se debe instalar una sonda Foley para comprobar la indemnidad uretral y tener derivada la orina en este periodo en el que el paciente está en reposo y precisa de múltiples curaciones y aseos quirúrgicos. En aquellos casos en los que exista dificultad para la instalación de la sonda, es preciso derivar la orina con una cistostomía suprapúbica. En los casos más graves, la reconstrucción se podrá realizar con injertos cutáneos o colgajos (locorregionales o libres). En los casos más graves, con pérdida del pene, se podría realizar un neofalo de forma diferida.
Las quemaduras genitales producen gran afectación física, emocional y funcional, por tanto, el apoyo psicológico precoz es fundamental como parte del tratamiento.
Bibliografía
- Gomez R. Trauma genitourinario. Rev chilena urol (81);2016:42-47
- Bjurlin MA, Fantus RJ, Mellett MM, Goble SM. Genitourinary injuries in pelvic fracture morbidity and mortality using the National Trauma Data Bank. J Trauma. 2009 Nov;67(5):1033-9.
- Gómez R, Mundy T, Dubey D, El-Kassaby A, at al. Pelvic Fracture Urethral Injuries. Urology, 2013, 83(3) S48–S58.
- Summerton DJ, Djakovic N, Kitrey ND, Kuehhas FE, Lumen N, Serafetinidis E, Sharma DM. Guidelines on urological trauma. EAU, European association of urology, 2015.
- Morey A, Brandes S, Dugi DD, Armstrong JH, Breyer BN, MD; Broghammer JA, Erickson BA, Holzbeierlein J, Hudak SJ, Pruitt JH, Reston JT, Santucci RA, Smith TG, Wessells H. Urotrauma: AUA guideline. J Urol. 2014; 192(2): 327–335.
- Maciejewski C, Rourke K. Imaging of urethral stricture disease. Transl Androl Urol. 2015 Feb;4(1):2-9.
- Malaeb, Bahaa S,; Yi, Yooni. Conn’s Current Therapy Trauma to the urinary tract; 2019:1077-1078
- Corriere J., Sandler C. Management of the ruptured bladder: Seven years of experiencie with 111 cases. J Trauma 1986; 26:830-3.
- Velarde L, Gómez R, Campos F, Portillo JA. “Lesiones traumáticas de la uretra posterior”. Act urol esp 2016;40:539-48.
- Jordan G, Chapple C, Heyns C. Urethral strictures. An international consultation on urethral strictures, 2010.
- Velarde L, Gómez R. Estrechez/estenosis uretral. Rev Cubana Urol 2018;7(2):131-147
- Brandes S. Initial management of anterior and posterior urethral injuries. Urol Clin North Am 2006;33:87-95
- Leddy LS, Vanni AJ, Wessells H, Voelzke BB. Outcomes of endoscopic realignment of pelvic fracture associated urethral injuries at a level 1 trauma center. J Urol. 2012;188:174–8.
- Gómez R, Storme O, Velarde L, Finsterbusch C. “Catheter realignment versus suprapubic cystostomy + delayed urethroplasty for pelvic fracture urethral injuries: a goal-oriented retrospective comparison”. Urology, 2013. Vol 189 (4S).
- Gomez R, Campos R, Velarde R. Reconstruction of Pelvic Fracture Urethral Injuries With Sparing of the Bulbar Arteries. Urology 2015 (in press) 11/2015; OI:10.1016/j.urology.2015.09.032
- Ríos E, Martínez-Piñeiro L, Álvarez-Maestro M. Reparación de la estenosis de uretra posterior tras traumatismo y fractura pélvica. Monográfico de cirugía uretral. Arch. Esp. Urol. 2014;67(1):68-76.
- Brandes S, Morey A. Advanced male urethral and genital reconstructive surgery. 2nd Ed; 2014.
- Cass A., Gleich P., Smith C. Male genital injuries from external trauma. Br.J.Urol. 57:467-470, 1985.
- Bourke MM, Silverberg JZ. Acute Scrotal Emergencies. Emerg Med Clin North Am 2019; 37 (4): 593-610. doi: 10.1016 / j.emc.2019.07.002.
- Gómez R. Genital injuries: presentation and management. Problems in Urology; 8:279, 1994.
- Wolf J., Gomez R., McAninch J. Human bites to the penis. J.Urol. 147:1265-1267, 1992.
- Carrillo-Córdova LD, Carrillo-Eper R, Carillo. Córdova JR. Quemaduras en genitales y periné: consideraciones generales y tratamiento urológico. Rev Mex Urol.2017; 77(1):36-49