Capítulo 34
Trauma de vía urinaria superior
- Dr. Marcelo Vargas R., Dr. Rodrigo Canales R.
- Dr. José Manuel de La Torre I., Nelson Núñez V.
- Hospital Clínico Mutual de Seguridad
Introducción
Se define trauma como una lesión física o herida en un tejido vivo ocasionada por un agente externo. Es la sexta causa de muerte en todo el mundo y la primera en personas entre los 15 y 45 años de edad. Es por tanto, un grave problema de Salud Pública, con severos costos económicos y sociales asociados. Durante el siglo XX y hasta la década de 1970, el tratamiento de los traumatismos de la vía urinaria superior era principalmente de resolución quirúrgica, sin embargo, a partir de los años ochenta, con la implementación de unidades de cuidado intensivo (UCI), avances en el diagnóstico, en particular, el desarrollo de la tomografía axial computada (TAC), radiología intervencional y técnicas endoscópicas entre otras, han permitido en la actualidad un tratamiento mucho más conservador, con indicaciones de cirugía excepcionales.
En este capítulo, analizaremos trauma renal, trauma ureteral y trauma de glándulas suprarrenales.
Epidemiología
Se describe clásicamente que el traumatismo de vía urinaria superior ocurre entre el 1 y 5% de todos los casos de trauma y en aproximadamente el 10% de los traumatismos abdominales (1-3). El Riñón es el órgano más frecuentemente afectado en todos los grupos de edad. Es más frecuente en jóvenes entre los 20 y 30 años y la relación entre hombres y mujeres es de 3:1. En pacientes ingresados por traumatismo renal, entre un 60 a un 80% se verifican lesiones de otros órganos (bazo, hígado, intestinos).
Los traumatismos cerrados son cerca de del 90% de los casos, existiendo variaciones respecto de si se trata de zonas rurales o urbanas, aumentando en estas últimas los traumatismos penetrantes, llegando a ser en algunas series hasta el 40% del total. Los traumatismos menores de riñon, es decir: grados 1, 2 y 3 de la clasificación de la American Association for the Surgery of Trauma (AAST), representan cerca del 80% de todos los traumatismos.
Trauma renal
Como se mencionó anteriormente, el riñón es el órgano más frecuentemente lesionado de todo el aparato genitourinario. Está presente en hasta el 5% de todos los casos de trauma y tiene una incidencia poblacional general en Estados Unidos de 4,9/100.000.
Causas y mecanismos de lesión
Los traumatismos renales se pueden clasificar inicialmente en: cerrados (hasta el 90% del total) y abiertos, también llamados penetrantes. Las causas más frecuentes de traumatismos cerrados son: accidentes de tránsito, caídas, deportes de alto riesgo, accidentes profesionales y peleas (3-5). Respecto de traumatismos penetrantes, son habitualmente causados por asaltos con arma blanca o heridas de bala.
Las lesiones contusas renales se producen por dos mecanismos:
- transmisión de fuerzas generadas por un golpe en la región lumbar o abdominal, donde la fuerza máxima se aplica en la periferia del riñón. Además, las cavidades y seno renal llenos de orina, generan una fuerza contraria, cuya intensidad es directamente proporcional a la presión de las cavidades. Esto explica por qué las lesiones son más frecuentes en la periferia renal y en personas con uropatía obstructiva;
- movimientos anteroposteriores o cefalocaudales del riñón, causados por desaceleración brusca. Además de las lesiones mencionadas, provocan daño a nivel vascular renal, generando hemorragias y trombosis, llegando de manera excepcional (0,05%) a la avulsión de pedículo renal.
Las lesiones penetrantes renales se deben principalmente a heridas a bala o por arma blanca, tienden a ser más graves y menos predecibles que los traumatismos cerrados y son más prevalentes en entornos urbanos. Las balas o sus fragmentos, debido a una alta energía cinética, tienen un mayor potencial destructor y lesiones multiorgánicas.
Clasificación
La clasificación más utilizada es la de la American Association for the Surgery of Trauma (AAST) (1,2,4-6). Es una clasificación clínico-radiológica que data de 1989 y que es la más utilizada desde los años 2000 (Figura 1). Tiene el mérito de la simplicidad, basándose en un diagnóstico a través de tomografía axial computada (TAC) o exploración renal directa. Predice la necesidad de nefrectomía, una buena correlación con el índice de exploración renal y la pérdida de la función renal.
Evaluación inicial y Diagnóstico
Durante la evaluación inicial de pacientes estables, se puede llegar rápidamente a sospechar trauma renal al obtener una anamnesis directa y por la posibilidad de realizar un (TAC) como parte del protocolo de trauma, muchas veces antes que el urólogo participe. En pacientes más graves o con compromiso de conciencia, la información de testigos, personal paramédico prehospitalario y de urgencias pueden aportar datos claves para sospechar este tipo de lesiones.
De lo indicadores más importantes, destacan: golpe directo en alguno de los flancos, desaceleración rápida (accidentes automovilísticos o en motocicleta de alta velocidad, caídas, atropellos). Respecto de lesiones penetrantes: tipo de arma de fuego, tipo de bala, proyectil con o sin salida y características del arma blanca utilizada.

Se debe prestar especial atención a los traumatismos renales en pacientes monorrenos o con patología renal previa (hidronefrosis, quistes, tumores), ya que determinan una connotación de mayor gravedad. En distintas series, se describe es tipo de casos entre 4 y 20% del total.
El criterio fundamental para el diagnóstico y manejo de los pacientes se basa en la estabilidad hemodinámica, por lo que la monitorización permanente es el factor principal para la toma de decisiones. (3,5,6)
El examen físico puede evidenciar lesiones por armas de fuego con o sin salida en distintas partes del tronco, heridas penetrantes abdominales principalmente en ambos flancos o fosas lumbares, hematomas o lesiones de tegumentos en la zona lumbar, parte alta del abdomen o baja del tórax. Los signos clásicos descritos para la sospecha de lesión renal son: Hematuria, dolor y/o equimosis en la fosa renal, fracturas costales, distensión o masa abdominal y sensibilidad abdominal a la palpación.
Exámenes de laboratorio
Si bien, todos los pacientes politraumatizados se someten a protocolos estandarizados de exámenes e imágenes, las pruebas más importantes son: el análisis de orina, hemograma – hematocrito y la creatinina plasmática basal.
La hematuria macro y microscópica habitualmente son el primer indicador de lesión renal, aunque se describen falsos negativos entre el 3 al 10% como en el caso de lesiones de pedículo. El inconveniente es que no permite dividir lesiones leves de graves y tampoco estimar un pronóstico.
La determinación de hematocrito es fundamental ya que sus variaciones o estabilidad podrán estimar la necesidad de transfusiones, respuesta a la reanimación o eventual intervención quirúrgica. Respecto de la Creatinina plasmática, su medición dentro de la primera hora post trauma, refleja la función renal previa, y su elevación, probable insuficiencia renal preexistente.
Es muy importante señalar que estos exámenes junto a la monitorización se deben solicitar de manera seriada hasta establecer el manejo definitivo del paciente.
Estudio de imágenes
Los objetivos al realizar imágenes son: caracterizar la lesión renal, documentar lesión renal preexistente e identificar la presencia de riñón contralateral y lesiones de otros órganos. En general, la mayor parte de los pacientes será sometido a tomografía axial computada (TAC) y en pacientes hemodinámicamente inestables, se evaluará caso a caso la viabilidad de estudios ante una inminente intervención quirúrgica.

Las principales indicaciones de estudio radiológico son: hematuria macroscópica, hematuria microscópica con episodios de hipotensión, historia de lesión por desaceleración brusca, antecedente de shock post trauma, sospecha de lesiones de otros órganos y traumatismos penetrantes.
Tomografía axial computada (TAC): Es el método de elección en pacientes hemodinámicamente estables. Es rápido y altamente disponible. Es más sensible y específico que la pielografía de eliminación y ecografía o angiografía (7,8). Ante sospecha de lesiones vasculares se puede complementar con angioTAC, mejorando la definición de estas. Por último, las tasas de nefropatía inducidas por el medio de contraste son muy bajas, justificando plenamente su indicación.
Técnicamente se realiza en 3 fases:
- fase arterial, que evalúa lesión vascular y presencia de extravasación activa de contraste,
- fase nefrográfica, que demuestra las contusiones, hematomas y laceraciones del parénquima,
- fase tardía, que identifica lesiones del sistema colector y del resto del aparato urinario.
En la práctica diaria, los pacientes politraumatizados sometidos a protocolos establecidos de imágenes de todo el cuerpo (panTAC), muchas veces obvian la fase tardía, la cual no se realiza de manera sistemática. Por tanto, ante la sospecha de lesiones de sistema colector, uréter o vejiga, se recomienda la realización de esta fase (15 a 20 minutos luego de la inyección del contraste).
Todos los autores coinciden en la necesidad de realizar reevaluaciones con TAC, específicamente si aparece fiebre, se agrava el dolor lumbar, persiste la hematuria macroscópica o cae el hematocrito a pesar de las transfusiones (7). La tomografía sistemática de control a los pocos días y muy recomendada en otro tiempo, hoy se encuentra en tela de juicio. En la actualidad, solo se debiera efectuar en pacientes con traumatismos tipo 4 y 5
estables, con el fin de determinar la extravasación de orina que justifique su drenaje.
Ultrasonido: El ultrasonido es un examen no invasivo, rápido, de bajo costo, sin exposición a radiación y ampliamente disponible. Permite la detección de colecciones peritoneales, también permite establecer laceraciones de órganos macizos, pero no su profundidad o extensión y es operador dependiente. Su principal utilidad está en el seguimiento de lesiones parenquimatosas o hematomas en pacientes estables y adicionalmente, en la necesidad de realizar algún estudio radiológico más preciso durante la evolución de un paciente politraumatizado.
Pielografía de eliminación (PIV): La PIV era el examen de elección antes de la aparición del TAC, sin embargo, ha dejado de serlo ante un traumatismo renal y solo debe realizarse cuando este último no esté disponible o ante situaciones excepcionales (7). Cuando se indica, permite confirmar la presencia de ambos riñones, define con claridad el parénquima renal y determina la indemnidad del sistema colector. Los signos más evidentes vistos en trauma renal son: la falta de función o exclusión renal ya sea por avulsión, trombosis del pedículo o por un trauma renal extenso y extravasación del contraste.
Resonancia nuclear magnética (RNM): Aunque la sensibilidad y especificidad de la RNM es similar al TAC en trauma renal, no es el estudio de elección ya que demanda mayor tiempo de exploración en un paciente agudo, incrementa los costos y limita el acceso a los pacientes. Podría ser útil, en pacientes estables, alérgicos al medio de contraste o en casos seleccionados cuando los resultados del TAC sean contradictorios.
Estudios isotópicos: No se utilizan de rutina en trauma renal agudo, pero pudieran ser de utilidad en el seguimiento de pacientes, al identificar áreas de cicatrización, pérdida funcional y obstrucción urinaria.
Arteriografía: Así como con la PIV, el advenimiento del TAC ha sustituído en gran medida la realización de arteriografías. La indicación más frecuente es la falta de visualización renal en una PIV cuando no se dispone de TAC y también, en casos excepcionales en lesiones del pedículo vascular cuando no están claros los resultados de la tomografía. En lo últimos años ha recuperado terreno, pero esta vez ligada al tratamiento en los casos donde se decide realizar angioembolización.
Tratamiento
El manejo conservador (no quirúrgico) se ha transformado en las últimas décadas, en la principal herramienta terapéutica para la mayoría de los casos (2-6). La estabilidad hemodinámica es el principal criterio para la toma de decisiones. El tratamiento conservador, se asocia a tasas más bajas de nefrectomía, sin aumento de la morbilidad inmediata o a largo plazo, preservando función renal.
Las heridas penetrantes se han tratado clásicamente de manera quirúrgica, sin embargo, en pacientes seleccionados y estables se podría plantear un manejo conservador. Los objetivos de la exploración quirúrgica son: el control del sangrado, reparación el riñón cuando sea posible y establecer un drenaje perirrenal.
Las indicaciones absolutas de cirugía son:
- avulsión o laceración del pedículo renal
- inestabilidad hemodinámica a pesar de la reanimación
- presencia de lesiones de otros órganos que requieran exploración.
El tratamiento específico se correlacionará con la valoración diagnóstica hecha por TAC.
Traumatismos tipo 1, 2 y 3 (según la AAST) (2,7):
Hospitalización en unidad de cuidados intensivos, reposo absoluto, monitoreo hemodinámico continuo, y de laboratorio seriado (hematocrito, orina completa, creatinina plasmática) y aportes de volumen o transfusiones de sangre según requerimientos. Si todos los parámetros se mantienen estables al cabo de 48-72 horas aproximadamente, se evaluará el alta al domicilio con reposo estricto y controles ambulatorios hasta el alta definitiva.
Como se mencionó antes, en este grupo ha sido controversial el uso rutinario de TAC de reevaluación. Parece más recomendable el seguimiento con ecografía.
En la gran mayoría de los casos y no existiendo complicaciones, se establece el alta definitiva al cabo de 30 días.
Traumatismos tipo 4 y 5 (según la AAST):
El protocolo de manejo inicial hospitalizado y conducta conservadora es el mismo que en el grupo anterior a pesar de existir extravasación urinaria o fracturas renales múltiples.
En estos grupos es de rutina el TAC de reevaluación a las 48 horas y según necesidad, si persiste la inestabilidad hemodinámica o aparece clínica de complicaciones, lo cual se evaluará caso a caso (8,9).
Respecto del cateterismo vesical, es importante señalar que en traumas menores y hemodinamia estable no es necesario, sin embargo, en traumatismos tipo 4 y 5, es muy útil porque sirve para la monitorización del paciente y también como parte del tratamiento, minimizando la presión del sistema colector. Sin embargo, si desaparece la hematuria, el post operatorio es satisfactorio y el paciente recupera la movilidad, debiera retirarse lo antes posible.
Como se mencionó anteriormente, será necesaria la exploración quirúrgica en casos de avulsión o laceración del pedículo renal, inestabilidad hemodinámica a pesar de la reanimación y la presencia de lesiones abdominales asociadas. En casos de sangrado renal activo (hematomas perirrenales) en pacientes estables, podría estar utilizarse la angioembolización selectiva, no existiendo otras indicaciones para cirugía.
Específicamente, en lesiones tipo 4 con extravasación urinaria persistente, la utilización de catéter endoscópico retrógrado o de instalación percutánea, permite controlar el urinoma desarrollado en aproximadamente el 90% de los casos.
Respecto a técnica quirúrgica, el acceso más recomendado es la laparotomía media supra e infraumbilical, Esto, porque permite explorar toda la cavidad abdominal y tener rápido control del pedículo vascular renal, realizando una incisión vertical del peritoneo preaórtico, a la altura del ángulo de Treitz y sobre el nacimiento de la arteria mesentérica inferior, como se observa en la Figura 3.


Ahora bien, aunque la tasa de exploración es baja, cuando deba realizarse, la mayor parte de las veces terminará en nefrectomía. Deberá intentarse la reconstrucción quirúrgica en casos de daño de parénquima, del sistema colector y/o lesiones vasculares, especialmente en pacientes monorrenos o con daño renal bilateral.
Respecto del seguimiento y alta definitiva en lesiones tipo 4 y 5, este comprenderá control con TAC en tiempo variable a fin de determinar cicatrización renal y sospecha de complicaciones (8). Dependerá de la magnitud del trauma renal, lesiones asociadas, y proceso de rehabilitación, entre otros; por lo que se evaluará cada caso de manera particular.
Tratamiento en situaciones especiales
Traumatismos renales iatrogénicos: las causas más frecuentes tienen relación con acceso percutáneo al riñón, litiasis renal y el manejo quirúrgico del cáncer renal. Debe ser diagnosticado y manejado a la brevedad, de acuerdo los mismos preceptos anunciados y con el fin de disminuir la morbilidad y eventual mortalidad.
Traumatismos en riñón patológico: en este grupo, están más expuestos los pacientes con riñones transplantados, especialmente los sometidos a lesiones directas en la fosa ilíaca respectiva. En pacientes portadores de patología renal poliquística o cáncer renal, la aparición de cavidades líquidas o sólido-quísticas, con desarrollo de vasos sanguíneos de neoformación, pueden aumentar la fuerza de retorno en relación a un golpe directo o favorecer el sangrado renal, provocando un daño potencialmente mayor respecto del mecanismo de lesión. En estos, el manejo sigue las mismas pautas analizadas y adicionalmente, el tratamiento de la patología de base como es el caso del cáncer renal.
Traumatismos renales durante la infancia: siempre debe pensarse la posibilidad de lesión renal, dado que los riñones se encuentran anatómicamente menos protegidos, en una posición abdominal más caudal sin la protección de las últimas costillas y con una menor cantidad de grasa perirrenal protectora. La clasificación diagnóstica y el manejo es el mismo, propendiendo hacia un tratamiento lo más conservador posible.
Complicaciones
La hemorragia es la complicación más importante de la fase aguda, pero pudiera observarse tardíamente, luego de algunos días o semanas desde el traumatismo. Las causas pueden tener relación con la aparición de fístula arterio-venosa o pseudoaneurisma vascular renal. Ambas muy poco frecuentes y de manejo actual mínimamente invasivo con la utilización de embolización percutánea selectiva.
La extravasación urinaria y desarrollo de urinoma pueden pasar inadvertidos durante la primera evaluación, los cuales se deben a la apertura de la vía excretora.
Como se mencionó, cerca del 90% se resuelve con la instalación de catéter endoscópico ureteral retrógrado o por vía percutánea.
El desarrollo de absceso perirrenal o sepsis se debe habitualmente a la infección de un urinoma o hematoma perirrenal. En general, el tratamiento se orienta hacia el drenaje percutáneo y la utilización de antibióticos asociados.
La fístula arterio-venosa y el pseudoaneurisma, son dos complicaciones muy poco frecuentes, asociadas a hemorragia tardía o más frecuentemente asintomáticas, que aparecen varias semanas luego del trauma. Su manejo habitual es la radioembolización.
La hipertensión reno-vascular, es una complicación rara (menor al 5%), la cual pudiera desarrollarse de manera aguda debido a la compresión de la arteria renal por un hematoma perirrenal, o de manera crónica, producto de una estenosis de la arteria luego de la cicatrización. El diagnóstico se realiza habitualmente por angioTAC o angiografía y dependiendo del caso, se planteará el tratamiento más adecuado, llegando incluso a la nefrectomía total. La sugerencia más frecuente ante la sospecha es el control anual de la presión arterial.
La insuficiencia renal crónica, es otra rara complicación, vista en menos del 1% de todos los casos, en general asociada a traumatismos renales graves, en trauma renal bilateral o de pacientes monorrenos. Su manejo es de medicina interna (nefrología), según pautas y protocolos establecidos.
Por último, la deformación o dilatación pielocalicial, se observa en el 1% del total de los traumatismos renales. Se produce habitualmente por una lesión importante de la pelvis renal y a consecuencia de todo el proceso de fibrosis cicatrizal.
En nuestro hospital, el cual es un centro de derivación de trauma asociado a accidentes relacionados al trabajo, se desarrolló como experiencia local, un trabajo de investigación donde se incluyeron pacientes hospitalizados desde el servicio de urgencia con diagnóstico de trauma renal cerrado (de tipo 1 a 4), entre lo años 1985 y 1995 (3,9). En estos, se realizó diagnóstico de imágenes al ingreso y se realizó un protocolo de manejo conservador no quirúrgico que incluyó: reposo absoluto, monitoreo y apoyo hemodinámico en unidad de cuidados intensivos y control con exámenes y radiológico seriados. Dada su estabilización, traslado a sala para continuación del manejo conservador. Con este esquema, se logró restitución anatómica y funcional en todos los pacientes incluidos, sin requerimientos de exploración quirúrgica (3,10).
Trauma ureteral
Las lesiones ureterales son poco frecuentes y representan el 1% de las lesiones urológicas. A diferencia de otros órganos urológicos, las lesiones ureterales tienden a ser iatrogénicas y ocurren durante la cirugía ginecológica, urológica o colorrectal (1,2). La mayoría de las lesiones ureterales que se originan fuera del quirófano son el resultado de un traumatismo penetrante. Estas pueden no reconocerse temprano a menos que se investiguen específicamente.
Se deben sospechar lesiones ureterales en pacientes con traumatismos abdomino-pélvicos complejos y multisistémicos, con lesiones intestinales, vesicales o vasculares, en aquellos con fracturas pélvicas / vertebrales complejas, después de lesiones por desaceleración rápida, y cuando la trayectoria de la lesión penetrante está cerca del uréter, especialmente en heridas de bala de alta velocidad (5-7). No se puede confiar en la ausencia de hematuria para excluir una lesión ureteral. En pacientes estables que no van directamente a una laparotomía exploratoria, debe obtenerse un TAC abdominal y pélvico con contraste, con imágenes tardías (15-20 minutos) para evaluar la lesión ureteral (8,11).
Los hallazgos sugerentes de lesión ureteral se describen a continuación: extravasación de contraste, pielograma retrasado ipsilateral, hidronefrosis ipsilateral y falta de contraste en el uréter distal, con la sospecha de lesión. Si las imágenes iniciales retrasadas no opacifican adecuadamente los ureteres, es posible que se necesiten más imágenes tardías si aún se sospecha una lesión ureteral.
La inspección ureteral directa es necesaria en pacientes con sospecha de lesión ureteral que van directamente a una laparotomía sin una evaluación radiográfica adecuada. Las maniobras complementarias para identificar las lesiones ureterales incluyen una cuidadosa movilización ureteral ipsilateral y/o colorantes intravenosos o intraureterales como azul de metileno o índigo carmín. La pielografía retrógrada se puede realizar en casos equívocos, cuando sea posible. La PIV intraoperatoria de un solo disparo no puede excluir de manera confiable una lesión ureteral y no debe usarse únicamente para este propósito (7).
La reparación ureteral debe realizarse en el momento de la laparotomía inicial, cuando sea posible, aunque la reparación inmediata puede no ser apropiada en pacientes con politraumatismos complejos inestables (11). En entornos de control de daños cuando la reparación ureteral inmediata no es posible en el momento de la laparotomía inicial, se puede prevenir la extravasación urinaria con ligadura ureteral seguida de la colocación de un tubo de nefrostomía percutánea o con un catéter ureteral externo asegurado al extremo proximal del defecto ureteral. La reparación definitiva de la lesión debe realizarse cuando la situación clínica del paciente se haya estabilizado.
La contusión ureteral no es infrecuente en el contexto de una herida de bala. Las complicaciones pueden incluir estenosis ureteral tardía y / o necrosis ureteral manifiesta con extravasación urinaria. Por lo tanto, cuando se identifican durante la laparotomía, los uréteres intactos pero contusos, deben manejarse principalmente con endoprótesis ureteral; la resección con reparación primaria se puede realizar en casos seleccionados, particularmente después de heridas de bala, dependiendo de la gravedad de la contusión y la viabilidad de los tejidos locales.
Cuando una lesión ureteral incompleta al principio no se reconoce o se presenta de manera tardía, se debe realizar inicialmente una imagen ureteral retrógrada con colocación de catéter ureteral. Se puede considerar la reparación inmediata en ciertas situaciones clínicas si la lesión se reconoce dentro de una semana (por ejemplo, lesión localizada cerca de una víscera cerrada quirúrgicamente, como el intestino o la vejiga, o si el paciente está siendo reexaminado por otras razones).
En las mujeres que se someten a cirugía vaginal (como la histerectomía) o sufren un traumatismo pélvico penetrante que afecta la vagina, una lesión ureteral inicialmente no reconocida puede presentarse de manera retardada con una fístula urétero-vaginal. Las pacientes con fístula uretero-vaginal pueden tratarse inicialmente con inserción de catéter ureteral, o mediante un reimplante ureteral si falla la colocación del primero. Estudios recientes han demostrado que las pacientes con fístulas urétero-vaginales manejadas inicialmente con colocación de catéter, mostraron una tasa de éxito superior al 70%. Las pacientes que fallaron con la inserción del stent ureteral, fueron tratadas mediante reimplante ureteral con o sin colgajo Boari, enganche de psoas y transureteroureterostomía. Los tres estudios informaron una tasa de éxito del 100% con la intervención quirúrgica.
Cuando el uréter se lesiona por encima de los vasos ilíacos, se recomienda una reparación ureteral primaria espatulada y sin tensión sobre un catéter ureteral, después de que todo el tejido ureteral no viable se haya debridado juiciosamente. En situaciones en las que la anastomosis no se puede realizar sin tensión, la movilización del uréter debe realizarse de manera que se mantenga el suministro máximo de sangre ureteral. Si aún no se puede realizar una anastomosis después de la movilización, se puede intentar un reimplante ureteral, incorporando maniobras auxiliares como un enganche del psoas de la vejiga y/o un colgajo vesical de Boari.
La interposición con intestino y autotrasplante no se recomienda en el contexto agudo. Si la lesión no puede tratarse adecuadamente en el contexto agudo, se aconseja la ligadura ureteral con colocación de un tubo de nefrostomía percutánea seguido de una reconstrucción ureteral retrasada.
Epidemiología, etiología y fisiopatología
Como se mencionó anteriormente, el trauma ureteral representa el 1 al 2.5% del trauma del tracto urinario. A diferencia de otros órganos urológicos, las lesiones ureterales tienden a ser iatrogénicas y ocurren durante la cirugía ginecológica, urológica o colorrectal. La mayoría de las lesiones ureterales que se originan fuera del quirófano son el resultado de un traumatismo penetrante. Alrededor de un tercio de los casos de trauma externo son causados por un traumatismo cerrado, principalmente lesiones por accidentes de tránsito.
Las lesiones pueden no reconocerse temprano a menos que se investiguen específicamente.
Se debe sospechar una lesión ureteral en todos los casos de lesión abdominal penetrante, especialmente heridas de bala, como ocurre en el 2-3% de los casos. También debe sospecharse en un traumatismo cerrado con mecanismo de desaceleración.
La distribución de las lesiones ureterales externas a lo largo del uréter varía entre las distintas series, pero es más común en el uréter superior. El traumatismo ureteral iatrogénico puede ser el resultado de varios mecanismos: ligadura o torcedura con una sutura, aplastamiento por una pinza, transección parcial o completa, lesión térmica o isquemia por devascularización.
Las operaciones ginecológicas son la causa más común de trauma iatrogénico ureteral, pero también pueden ocurrir en las operaciones colorrectales, especialmente la resección abdominoperineal y la resección anterior baja.
La incidencia de trauma urológico iatrogénico ha disminuido en los últimos veinte años debido a mejoras en la técnica, los instrumentos y la experiencia quirúrgica. Sin embargo, los nuevos métodos, como la cirugía robótica en ginecología, no han reducido la tasa de lesiones ureterales.
Los factores de riesgo para el trauma iatrogénico incluyen afecciones que alteran la anatomía normal, por ejemplo, malignidad avanzada, cirugía previa o irradiación, diverticulitis, endometriosis, anomalías anatómicas y hemorragia mayor. La lesión ureteral oculta ocurre con más frecuencia de lo que se informa y no todas las lesiones se diagnostican intraoperatoriamente.
Diagnóstico
El diagnóstico de trauma ureteral es desafiante; por lo tanto, se debe mantener un alto índice de sospecha. En los traumatismos externos penetrantes, generalmente se realiza durante la laparotomía, mientras que se retrasa en la mayoría de los casos de traumatismos cerrados y iatrogénicos (5,6).
El traumatismo ureteral externo suele acompañar a lesiones abdominales y pélvicas graves. El trauma penetrante generalmente se asocia con lesiones vasculares e intestinales, mientras que el trauma contuso se asocia con daño a los huesos pélvicos y lesiones de la columna lumbosacra. La hematuria es un indicador poco confiable y deficiente de lesión ureteral, ya que está presente en sólo el 50-75% de los pacientes.
Se puede notar una lesión iatrogénica durante el procedimiento primario, cuando se inyecta un tinte intravenoso (por ejemplo, índigo carmín) para excluir la lesión ureteral. Sin embargo, generalmente se observa más tarde, cuando se descubre por evidencia posterior de obstrucción del tracto superior, formación de fístulas urinarias o sepsis. Los siguientes signos clínicos son característicos del diagnóstico tardío: dolor en flanco, incontinencia urinaria, fuga urinaria vaginal o por un drenaje, hematuria, fiebre, uremia o urinoma. Cuando se omite el diagnóstico, la tasa de complicaciones aumenta. El reconocimiento temprano facilita la reparación inmediata y proporciona mejores resultados.
| Procedimiento | Porcentaje % |
| Ginecológico | |
| Histerectomía vaginal | 0.02 – 0.5 |
| Histerectomía abdominal | 0.03 – 2.0 |
| Histerectomía laparoscópica | 0.2 – 6.0 |
| Uroginecológico (Incontinencia/prolapso ) | 1.7 – 3.0 |
| Colorrectal | 0.15 – 10 |
| Ureteroscopía | |
| Lesión por abrasión de la mucosa | 0.3 – 4.1 |
| Perforación ureteral | 0.2 – 2.0 |
| Intususcepción/avulsión | 0 – 0.3 |
| Prostatectomía radical | |
| Retropúbico abierto | 0.05 – 1.6 |
| Robot- asistida | 0.05 – 0.4 |
Fig. 4. Tabla etiología lesiones ureterales
Diagnóstico radiológico
La Tomografía axial computada multifase es la técnica de imagen principal para pacientes con trauma. En general, está ampliamente disponible y permite la evaluación multifásica de todas las estructuras en la pelvis y el abdomen. La urografía por tomografía computarizada (UroTAC) es el examen de elección cuando se sospechan lesiones ureterales.
La extravasación del medio de contraste en la fase tardía es el signo distintivo del trauma ureteral. Sin embargo, la hidronefrosis, el uroperitoneo, el urinoma o la dilatación ureteral leve son a menudo los únicos signos. En casos poco claros, una urografía retrógrada o anterógrada es el estándar óptimo para la confirmación. Como ya se mencionó, la pielografía intravenosa, especialmente la PIV de una sola inyección, no es confiable en el diagnóstico, ya que es negativa en hasta el 60% de los pacientes.
Prevención del trauma iatrogénico
La prevención del trauma iatrogénico en los ureteres depende de la identificación visual de estos y la disección cuidadosa intraoperatoria en su proximidad. El uso de la inserción profiláctica de un stent ureteral preoperatorio ayuda a la visualización y la palpación y se usa en casos complicados (alrededor del 4% en una gran cohorte).
Probablemente también sea ventajoso para facilitar la detección de la lesión ureteral; sin embargo, no disminuye la tasa de lesiones. Además de sus desventajas evidentes (posibles complicaciones y costo), un stent puede alterar la ubicación del uréter y disminuir su flexibilidad, siendo entonces una indicación preoperatoria relativa.
Tratamiento
El tratamiento del trauma ureteral depende de muchos factores relacionados con la naturaleza, la gravedad y la ubicación de la lesión (11,12). El diagnóstico inmediato de una lesión por ligadura durante una operación se puede manejar mediante la eliminación de la ligadura y la colocación de un catéter. Las lesiones parciales pueden repararse inmediatamente, con catéter ureteral o derivación urinaria mediante un tubo de nefrostomía. La colocación del catéter ureteral es útil porque proporciona canalización y puede disminuir el riesgo de estenosis. Por otro lado, su inserción debe sopesarse contra la posible agravación de la magnitud de la lesión ureteral.
La reparación inmediata de la lesión ureteral completa suele ser lo más aconsejable. El uréter se moviliza en ambos extremos y se realiza una anastomosis espatulada de extremo a extremo. Sin embargo, en casos de pacientes con trauma inestable, se prefiere un enfoque de “control de daños” con ligadura del uréter, derivación de la orina (nefrostomía) y una reparación definitiva diferida. Las lesiones que se diagnostican tardíamente generalmente se manejan primero con un tubo de nefrostomía o con stent ureteral.
El tratamiento endourológico de las lesiones ureterales de diagnóstico tardío mediante colocación de catéter, con o sin dilatación, es el primer paso en la mayoría de los casos. Se realiza de forma retrógrada o anterógrada a través de una nefrostomía percutánea, y tiene una tasa de éxito variable de 14-19% en series publicadas (6,12,13).
Una reparación quirúrgica abierta es necesaria en caso de falla. Los principios básicos para cualquier reparación quirúrgica de una lesión ureteral se mencionan en la figura 3.5. El debridamiento amplio es muy recomendable para las heridas por bala debido al “efecto de explosión” de la lesión.
Lesión ureteral proximal y media: lesiones de menos de 2-3 cm generalmente se pueden tratar con una uretero-ureterostomía primaria. Cuando esto no es factible, se debe considerar una uretero-calicostomía. En el caso de una pelvis extrarrenal grande o estenosis en la unión pieloureteral, un colgajo espiral pélvico según Culp-DeWeerd es una buena opción. En la pérdida ureteral extensa, una transuretero-ureterostomía es una opción válida, donde el muñón proximal del uréter se transpone a través de la línea media y se anastomosa al uréter contralateral. La tasa de estenosis informada es del 4% y la intervención o revisión ocurre en el 10% de los casos (12).
Lesión ureteral distal: las lesiones distales se manejan mejor mediante el reimplante ureteral (uretero-neocistostomía) porque el trauma primario generalmente pone en peligro el suministro de sangre al uréter distal. La cuestión del reimplante ureteral, reflujo versus no reflujo, sigue sin resolverse en la literatura. El riesgo de reflujo clínicamente significativo debe compararse con el riesgo de obstrucción ureteral, sin bien en adultos este dilema es de menor relevancia que en niños.
Por lo general, se necesita un enganche de psoas entre la vejiga y el tendón del psoas ipsilateral (vejiga psoica) para cerrar la brecha y proteger la anastomosis de la tensión. El pedículo vesical superior contralateral puede seccionarse para mejorar la movilidad de la vejiga. La tasa de éxito informada es muy alta (97%). En la lesión ureteral media baja extensa, la gran brecha se puede cerrar con un colgajo de vejiga en forma de L tubularizado (colgajo de Boari). Es una operación que conlleva mayor tiempo y no suele ser adecuada en situaciones agudas. Su tasa de éxito es del 81-88% (12).
Lesión ureteral de segmento largo
Una lesión ureteral más larga se puede reemplazar usando un segmento intestinal, generalmente el íleon (injerto de interposición ileal: uréter ileal). Esto debe evitarse en pacientes con insuficiencia renal o enfermedad intestinal conocida. El seguimiento debe incluir exámenes para diagnosticar acidosis metabólica hiperclorémica. Las complicaciones a largo plazo incluyen estenosis anastomótica (3%) y fístulas (6%).
| Desbridamiento de tejido necrótico. |
| Espatulación de los extremos ureterales. |
| Anastomosis hermética de mucosa a mucosa con suturas absorbibles. |
| Catéter ureteral. |
| Drenaje externo no aspirativo. |
| Aislamiento de las lesiones con peritoneo o epiplón. |
Fig. 5. Principios de reparación quirúrgica de una lesión ureteral
En casos de pérdida ureteral extensa o después de múltiples intentos de reparación ureteral, el riñón puede reubicarse en la pelvis (autotrasplante). Los vasos renales se anastomosan a los vasos ilíacos y se realiza una reimplantación ureteral (12).
La ureteroplastía con mucosa bucal es otra opción para la lesión ureteral de segmento largo, especialmente después de una reconstrucción fallida previa, como alternativa al autotrasplante. La tasa de éxito general es del 90%, pero la experiencia es limitada.
Como parte del manejo postoperatorio sugerimos profilaxis antibiótica extendida, mantención del drenaje no aspirativo para reducir el efecto de vacío y perpetuamiento de la fuga urinaria con una consecuente fístula. Sugerimos también, retiro de sonda uretrovesical antes del retiro del drenaje para evaluar el débito en ausencia de sifonaje vesical y ante su llenado y eventual reflujo urinario por el catéter ureteral durante la micción. Según la lesión reparada y el grado de satisfacción de la intervención reparatoria, debe realizarse un estudio de imágenes con TAC de seguimiento a las 48-72 horas, a los 7-10 días y al mes postoperatorio, considerando en seguimiento tardío al tercer mes y posterior según el caso.
Trauma suprarrenal
El Traumatismo de las Glándulas Suprarrenales (TGSR) es una entidad muy poco frecuente tanto en la población adulta como pediátrica, por lo cual históricamente se le ha otorgado poca atención y es frecuentemente pasada por alto en los pacientes que sufren de algún tipo de trauma abdominal. Por este mismo motivo, a la fecha aún no se dispone de guías clínicas, algoritmos ni consenso alguno en cuanto a su manejo. Además, se caracteriza por presentar un cuadro clínico habitualmente muy silencioso e inespecífico, requiriendo un alto índice de sospecha en el contexto de traumatismos de alta energía, tanto cerrados como penetrantes. Esto último le otorga una gran importancia a la necesidad de exámenes de apoyo diagnóstico, especialmente imagenológicos (TAC, RNM).
En la mayoría de los casos el manejo puede ser llevado a cabo en forma conservadora, sin necesidad de exploración quirúrgica, no obstante, en algunos casos, sus repercusiones clínicas y endocrinas pueden llegar a ser graves y en ocasiones pueden asociarse a riesgo vital elevado. El conocimiento de esta patología, junto a un diagnóstico, clasificación y tratamiento oportunos es de gran relevancia, independiente de las lesiones traumáticas restantes asociadas.
Epidemiología
El TGSR es una lesión poco frecuente (14), que se ha reportado hasta en aproximadamente un 26% de las autopsias de pacientes con trauma abdominal grave. Greiselius (Viena, 1670), fue el primero en reportar la hemorragia espontánea de la glándula suprarrenal (15). Sin embargo, la descripción del hematoma suprarrenal secundario a trauma fue publicado por primera vez por Canton en 1863 (16). La baja frecuencia de esta patología estaría dada por el pequeño tamaño de la glándula junto a su profunda ubicación en retroperitoneo, encontrándose protegida por gran cantidad de tejidos blandos, incluyendo vísceras intraabdominales y grasa retroperitoneal.
El TGSR ocurre entre un 2-3% de los traumatismos abdominales. Es más frecuente su ocurrencia en traumatismos abdominales penetrantes y es claramente más frecuente su presentación unilateral (75-90% de los casos), especialmente comprometiendo el lado derecho, con al menos el doble de incidencia que en lado izquierdo.
La lateralidad preferente derecha pareciera estar en relación con 2 factores principales: el primero de ellos tendría relación con la ubicación anatómica a este lado, por encontrarse situada entre el hígado y la columna vertebral, con el consiguiente mecanismo de atrición que puede sufrir la glándula. El segundo factor estaría explicado por el aumento de la presión intravenosa, secundario a compresión a nivel de la vena cava inferior, considerando que, a este lado, el drenaje venoso adrenal se realiza directamente en la cava (17,18).
La lesión penetrante de glándula suprarrenal ocupa el 70% de las lesiones suprarrenales y casi siempre está asociada con trauma grave de alta energía y shock. Aproximadamente un 66% de los pacientes con trauma penetrante o contuso de la glándula suprarrenal, ingresan en shock hipovolémico al servicio hospitalario, con una mortalidad del 16,7% dado el trauma abdominal asociado (19).
Es muy infrecuente la lesión aislada de las glándulas suprarrenales, correspondiendo a menos del 5% de los casos de TGSR, asociándose casi siempre a lesiones concomitantes de otros órganos, especialmente hígado, riñones, bazo, grandes vasos, bases pulmonares, columna vertebral y últimas costillas (20).
Se ha descrito, asimismo, la ruptura de pseudoquistes preexistentes de la glándula suprarrenal por trauma abdominal contuso como una entidad muy poco frecuente.
Cuadro clínico
Clínicamente, el TGSR es una entidad silenciosa en la gran mayoría de los casos y cuando produce alguna manifestación, habitualmente es de una alta inespecificidad, incluyendo dolor abdominal, náuseas, vómitos, taquicardia, hipotensión o hipertensión, descenso de hematocrito y shock, entre otros. Es por este motivo que el diagnóstico clínico exclusivo es prácticamente imposible y, de hecho, previo a la aparición de técnicas de imagen (especialmente el advenimiento de la Tomografía Computada en la década de los ‘70), sólo se habían reportado en el mundo 38 casos de TGSR, muchos de ellos descritos en autopsias o en hallazgos intraoperatorios.
Afortunadamente, los signos de insuficiencia corticosuprarrenal, como hiponatremia, hiperpotasemia, acidosis, hipotensión y letargia, son muy poco frecuentes después del trauma, especialmente en lesiones unilaterales. La incidencia de insuficiencia suprarrenal oscila entre 0% y 10% en los reportes de trauma cerrado de abdomen. Sin embargo, no existen reportes para trauma penetrante.
Cuando se sospecha la insuficiencia suprarrenal, los electrolitos séricos y los niveles de cortisol pueden ayudar con un diagnóstico precoz, para iniciar prontamente la terapia de remplazo corticosteroide y mineralocorticoide que puede salvar la vida en pacientes críticamente enfermos. Mehrazin et al. describieron la experiencia en el Elvis Presley Memorial Trauma Center con 130 pacientes, de los cuales, el 0,77% necesitó remplazo esteroideo crónico. Castaldo et al. evaluaron una cohorte retrospectiva para evaluar el riesgo de insuficiencia suprarrenal en trauma abdominal cerrado y encontraron que la edad y el incremento en el puntaje del Injury Severity Score (ISS) fueron factores pronósticos de insuficiencia suprarrenal. Sin embargo, la lesión de la glándula suprarrenal no fue un factor pronóstico independiente de esta patología (21).
Clasificación
El TGSR puede ser clasificado según la magnitud de la injuria considerando la zona glandular comprometida, su extensión y su profundidad, por lo que depende necesariamente del apoyo tomográfico para llevarse a cabo.
La Asociación Americana para la Cirugía del Trauma (American Association for the Surgery of Trauma) ha clasificado las lesiones adrenales tal como se muestra en la Figura 3.6 (5).
Diagnóstico
Como ya se ha mencionado previamente, la clínica es insuficiente para realizar un diagnóstico adecuado, por lo cual se requiere siempre la realización complementaria de imágenes.
Si bien la Ultrasonografía es una herramienta muy accesible, rápida, poco invasiva y de bajo costo, es de muy bajo rendimiento en retroperitoneo, especialmente en situaciones de emergencia.
Actualmente es imprescindible el apoyo con TAC contrastado de abdomen y pelvis en el contexto de traumas abdominales y prácticamente obligatorio en aquellos de alta energía. Tal vez la única excepción a esta premisa son aquellos pacientes que han sufrido un traumatismo de alta energía y que desde su ingreso al centro hospitalario cursan con alteración hemodinámica y con riesgo vital inminente, situación en la cual una intervención quirúrgica es perentoria, no habiendo instancia para realizar estudio previo.
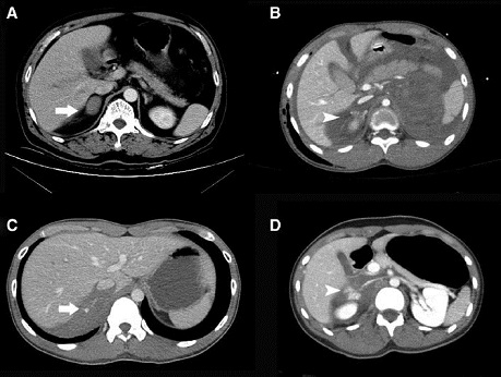
Además de la visión global que entrega el TAC, permitiendo la visualización de otros órganos abdominopelvianos potencialmente lesionados, existen elementos imagenológicos que pueden encontrarse específicamente en TGSR (Figura 6).
Los hallazgos típicos en el TAC, con o sin contraste, para un traumatismo suprarrenal, incluyen un hematoma redondo u ovalado, hemorragia irregular, obliteración de la glándula y una glándula suprarrenal uniforme. Puede asociarse además a trabeculación de la grasa retroperitoneal (espacio perirrenal) y/o extravasación activa de contraste endovenoso (22).

El hematoma suprarrenal habitualmente consiste en una masa ovalada o redondeada, con áreas de alta densidad (50-90 UH) ocupando la región adrenal, aunque también puede aparecer como un aumento generalizado de la glándula con bordes mal definidos. Con el paso del tiempo el hematoma se hace más pequeño e hipodenso. Además, suele asociarse a otras manifestaciones periadrenales como infiltración por material hemático del tejido graso periglandular y otras menos frecuentes como hemorragia en los espacios pararrenal anterior y posterior, compresión de la vena cava inferior, hematoma del músculo psoas, engrosamiento de la fascia de Gerota y desplazamiento anterior del riñón.
En algunas ocasiones resulta difícil determinar si el hematoma procede de la glándula suprarrenal o de órganos adyacentes como el riñón, hígado o bazo. Una hemorragia periadrenal puede estar causada por la extensión de un hematoma perirenal, dado que tanto la glándula suprarrenal como el riñón se encuentran dentro de la misma fascia.
Si bien el TAC contrastado constituye la herramienta diagnóstica principal para TGSR, la RNM también puede resultar útil, con la desventaja de la menor disponibilidad en algunos centros, así como también su alto costo comparativo.
La RNM suele resultar útil especialmente para demostrar el estadío del hematoma, lo cual es particularmente relevante en etiología no traumática, como ocurre en hematomas espontáneos y/o secundarios a patología tumoral benigna y maligna. En este contexto, la RM es muy útil para saber si el hematoma esta solo compuesto por sangre, hallazgo que indicaría benignidad (22).
| Grado | Descripción de la lesión de glándula suprarrenal |
| I | Contusión |
| II | Laceración que involucra sólo la corteza (< 2 cms) |
| III | Laceración que se extiende a la médula (> 2 cms) |
| IV | Destrucción del parénquima > 50% |
| V | Destrucción total del parénquima (hemorragia intraparenquimatosa masiva).
Pérdida de la irrigación |
Fig. 7. Escala de lesión de la glándula suprarrenal (AAST)
En casos de sangrado activo, una herramienta que resulta bastante útil es la Angiografía, la cual además posee la ventaja de ser potencialmente terapéutica. Al utilizar esta técnica, el sangrado adrenal activo se aprecia como una extravasación de contraste tras la microcateterización selectiva de sus arterias. Una vez identificado el sangrado se puede embolizar con diferentes materiales como los microcoils, micropartículas o líquidos esclerosantes (23).
Tratamiento
Dada la infrecuencia de esta patología, a la fecha no existen guías clínicas de manejo en TGSR. Las opciones de tratamiento en estos casos son variadas al igual que en traumas de otras vísceras intraabdominales y van desde el manejo conservador con seguimiento imagenológico hasta la necesidad de intervención quirúrgica de urgencia. La elección de la mejor opción dependerá de cada caso en particular, pero está claramente orientado hacia dos objetivos principales, que son salvar la vida del paciente y preservar la función adrenal cada vez que esto sea posible.
El manejo conservador puede ser llevado a cabo en un porcentaje importante de los casos de TGSR, especialmente en trauma contuso y cada vez que se haya descartado el sangrado activo. Para esta conducta, la condición clínica obligatoria es la estabilidad hemodinámica. En trauma abdominal penetrante, se hace bastante más difícil evitar una intervención quirúrgica, especialmente por la asociación de lesiones de otros órganos que requieran exploración.
El manejo de las lesiones suprarrenales o de la hemorragia, depende de la extensión de la lesión, el estado de la glándula suprarrenal contralateral, la estabilidad hemodinámica del paciente y de las lesiones asociadas. La exploración quirúrgica está indicada cuando es evidente un sangrado activo, y la necesidad de la cirugía va del 21% al 85%.
Aunque hay poca literatura que describa la técnica quirúrgica específica para el manejo del trauma de la glándula suprarrenal, los pasos durante la cirugía incluyen control de la hemorragia, porque la glándula suprarrenal puede causar pérdidas considerables de sangre como resultado de su rica irrigación. El desbridamiento del tejido desvitalizado debe realizarse en forma minuciosa, haciendo hemostasia con sutura absorbible, sin pinzar nunca los vasos sanguíneos dentro del parénquima suprarrenal. Se recomienda el uso de drenaje usando sistemas cerrados, aunque no hay soporte científico para esta práctica. En lo posible, se debe evitar la suprarrenalectomía para preservar la función, especialmente en lesiones bilaterales importantes; sin embargo, la incidencia de la suprarrenalectomía es de 3,1%.
Según estos reportes, la angiografía es una adecuada opción de tratamiento para el TGSR y en ocasiones puede hacer innecesaria a la laparotomía. Dado que los pacientes con TGSR tienen frecuentemente lesiones viscerales asociadas, el uso de esta técnica podría utilizarse en el manejo de la hemorragia concomitante.

Dentro de la exploración quirúrgica, cabe mencionar que también se ha descrito la utilización de packing perirrenal y suprarrenal, con resultados satisfactorios y lográndose el cumplimiento de objetivos esenciales, como son evitar la mortalidad y preservar la glándula.
La embolización angiográfica transcatéter se ha convertido en un método bien establecido para el manejo de la hemorragia adrenal traumática. Existen reportes que establecen la factibilidad y la seguridad de esta técnica para el TGSR en centros de trauma de nivel 1.
En todo caso, si bien la angiografía constituye una buena opción en casos seleccionados, la cirugía es aún obligatoria para el control del sangrado en el TGSR, especialmente cuando los pacientes tienen otras lesiones concomitantes que requieren exploración, o cuando exhiben inestabilidad hemodinámica.
Bibliografía
- Moore E., Cogbill T., McAninch J., et al. Organ injury scaling. III: Chest Wall,abdominal vascular, uréter, bladder and urethra. J. Trauma 1992 Sep; 33(3): 337-9.
- Allen M., et al. Urotrauma: AUA Guidelines 2014: J Urol 2014 Aug: 192(2), 327-335
- 3Nuñez N. Manejo inicial de los traumatismos genitourinarios. Trauma 1995 Dic. Vol (2): 10-14.
- Bryk D., Zhao L. Guideline of Guidelines: a review of urological trauma guidelines. BJU Int 2016; 117: 226-234.
- Guidelines of Urotrauma. American Association of Urology. Update 2017.
- Guidelines of Urological Trauma. European Association of Urology. Update 2020. http://uroweb.org/guidelines/compilations.
- Santucci R., Doumanian L. Upper Urinary Trac Injury. Cap. 42 Campbell-Walsh Urology, 10th Edition Elsevier.
- Bretan P., McAninch J., Federle., M., Jeffrey R. Computerized tomographic staging of renal trauma: 85 consecutive cases. J Urol 1986; 136: 561-5.
- Lindsay A., Kushan D., Anobel Y., McAninch J., Breyer B. Conservative Management of High-grade Renal Trauma. Urology 2018; 115: 92-5.
- Nuñez N., Chiang H. Manejo no quirúrgico del trauma renal cerrado mayor. Rev. Hosp. Clin. Univ. Chile 1999; 10(4) 348-56.
- Summerton D., Dkjakovic N., Kitrey N., KuelhasF., et al. EAU Guidelines on Urological Trauma; 2014.
- Brandes S., Coburn M., Armenakas N., et al. Diagnosis and management of ureteric injury: an evidence based analysis. BJU Int. 2004 Aug; (3): 277-289.
- Elliot S., McAninch J., Ureteral Injuries: external and iatrogenic. Urol Clin North Am. 2006 Feb; 33(1): 55-66.
- DiGiacomo JC et al. Adrenal Injuries: Historical Facts and Modern Truths. World J Surg (2017) 41:975–979
- Greiselius JG (1670) Ren succenturiatus monstrosus, cum ulcere. Miscelanea curiosa médico-physica, Leipzig, pp 152–15
- Canton E. Apoplexy of the suprarenal capsule. Trans Pathol Soc Lond.14:257
- Mehrazin R, Derweesh I, Kincade M, Thomas A, Gold R, Wake R. Adrenal trauma: Elvis Presley Memorial Trauma Center experience. Urology. 2007; 70:851-855
- Gabal-Shehab L, Alagiri M. Traumatic adrenal injuries. J Urol 2005; 173:1330-1
- Gómez R, González P, Mc Aninch J, Carroll P. Traumatismos de la glándula suprarrenal. Rev Chil Cir. 1994; 46:21-8
- Burks DW, Mirvis SE, Shanmuganathan K. Acute adrenal injury after blunt abdominal trauma: CT findings. AJR Am J Roentgenol. 1992;158 (3): 503-7
- Castaldo ET, Guillamondegui OD, Greco JA 3rd, Feurer ID, Miller RS, ¿Morris JA Jr. Are adrenal injuries predictive of adrenal insufficiency in patients sustaining blunt trauma? Am Surg. 2008; 74:262-6
- García J, Romera N, Salmerón A. Hallazgos radiológicos en la hemorragia suprarrenal traumática y espontánea. ¿Qué nos aportan las diferentes técnicas de imagen? Poster, Congreso SERAM, Granada, España, 2014 / S-0392
- Giurazza F, Corvino F, Silvestre M. Adrenal glands hemorrhages: embolization in acute setting. Gland Surg 2019;8(2):115-122