Capítulo 32
Radioterapia en urología oncológica
- Dr. Benjamín Bianchi G. (1), Dr. Rodrigo Barrientos G. (1), Dra. Lorena Vargas G. (1), Dr. Francisco Larsen E. (1), Dr. Jason Medina M. (2)
- (1) Clínica IRAM – (2) Unidad de Urología Hospital de Coquimbo
Introducción
La radioterapia de la última década, junto con los avances tecnológicos que esto conlleva, ha logrado disminuir en forma importante las complicaciones de toxicidad en los tejidos vecinos, en los tratamientos oncológicos de casi todas las patologías. En uro-oncología, es un tratamiento standard para algunas patologías en su tratamiento definitivo, adyudante y/o metastásico. La disminución de la toxicidad aguda y tardía ha ocurrido con la expansión del uso de la Radioterapia de intensidad modulada (IMRT), la radioterapia guiada por imágenes (IGRT) y la braquiterapia de alta tasa de dosis. Es por esto que su uso ha ido en aumento en algunas patologías con intención curativa y paliativa, tanto en cáncer de próstata, tratamientos en preservación de órgano (Cáncer de vejiga) y en pacientes oligometastásicos.
Es para nosotros muy importante, evidenciar, el crecimiento exponencial de la radioterapia oncológica tanto a nivel de volumen de pacientes con diagnósticos oncológicos y así como como en la cantidad de evidencia que se publica. Es por esto que, en este capítulo, resumiremos de forma práctica las indicaciones esenciales de la radioterapia en patología uro-oncológica:
- Técnica de IMRT (Radioterapia de intensidad modulada)
- Técnica de Radioterapia 3D
- Técnica de Radioterpia IGRT (Guiada por imágenes)
- Braquiterapia de Alta Tasa de Dosis






Cáncer de próstata
El cáncer prostático (CaP), es la tercera causa de muerte por cáncer en Chile (detrás de estómago y pulmón) y su incidencia se estima entre 60-63 por cada 100.000 habitantes. La edad promedio de diagnóstico es a los 70 años, sin embargo, existe tasas de incidencia de alrededor de 10 x 100.000 habitantes entre paciente de 40-59 años. En estados Unidos, se estima que al año se diagnostican cerca de 161.000 casos nuevos por año, lo que corresponde al 19% del total de las patologías oncológicas en hombres.
Tanto las Guías Europeas (ESMO) como Americanas (NCCN), recomiendan realizarse el antígeno prostático específico (PSA), para pacientes mayores de 50 años y menores de 70-75 años[efn_note]Guía NCCN y ESMO 2020 para cáncer prostatico[/efn_note].
Desde el punto de vista anatómico, el 50-80% de los cánceres prostáticos, se originan en el ápex (región inferior), el resto se distribuye en la zona media de la glándula. Según la última clasificación de la Sociedad internacional de Patología Urológica (ISUP) se clasifica en 5 tipos:
ISUP 1: Gleason Score ≤ 6 glándulas generalmente bien formadas y diferenciadas)
ISUP 2: Gleason Score 7 (3+4) glándulas con predominio bien formadas y escaso componente cribiforme o fusadas
ISUP 3: Gleason Score 7 (4+3) Glándulas con predominio de morfología cribiforme o fusadas y escasa glándulas bien formadas
ISUP 4: Gleason Score 8, 4+4=8, 3+5=8, 5+3=8 Glándulas exclusivamente cribiformes o fusadas o Glándulas bien diferenciadas con escasa pérdida del componente glandular
ISUP 5: Gleason Score 9 -10, pérdida completa del componente o con necrosis, con o sin glándulas
El enfrentamiento en Radioterapia del cáncer prostático es completamente personalizado, dependiendo de la clasificación de riesgo que éste tenga. Tanto las guías europeas, como las estadounidenses, indican que el tratamiento con radioterapia para cada grupo de riesgo cuenta con evidencia Nivel I (Guía de NCCN y Guía ESMO), por lo cual es una opción de tratamiento Standard para todo paciente con cáncer de próstata1,[efn_note]Hansen E, Roach M “Handbook of Evidence-Based Radiation Oncology” third Edition, 2018[/efn_note].
Riesgo/Hechos Clínico-Patológicos MANEJO SLE
PSA < 10 Gleason ≤ 6 ISUP 1 biopsia con menos de 3 cores positivos, ≤ 50% de cáncer en cada core T1c |
Expectativa de vida ≥ 20 años:
Expectativa de Vida 10-20 años:
Expectativa de vida ≤ 10 años:
No requiere estudio de diseminación |
85-95% |
PSA < 10 Gleason ≤ 6 (ISUP 1) biopsia con 3 o más cores positivos, ≥ 50% de cáncer en cada core T1-T2a |
Expectativa de vida ≥ 10 años
No requiere estudio de diseminación |
85-95% |
PSA10-20 Gleason 7 3+4 ISUP 2 Biopsia < 50% cores positivos. T2b-T2c |
Expectativa de vida ≥ 10 años
Expectativa de vida ≤ 10 años
Estudio óseo no recomendable de inicio TAC AP sólo si probabilidad de N en normogramas es ≥ 10% |
80-85% |
PSA: 10-20 Gleason 7 4+3 ISUP 3 T2c |
Expectativa de vida ≥ 10 años:
Expectativa de vida ≤ 10 años
Estudio óseo recomendado si es T2 y PSA >10 TAC AP sólo si probabilidad de N en normogramas es ≥ 10% |
70-75% |
PSA > 20 Gleason 8 (4+4), (5+3) o (3+5) ISUP 4 T3a |
Expectativa de vida ≥ 5 años:
Expectativa de vida ≤ 5 años:
Estudio óseo recomendado TAC AP sólo si probabilidad de N en normogramas es ≥ 10% |
60-70% |
PSA > 20 Gleason 9-10 (5+4, 4+5, 5+5) ISUP 5 T3b-4 |
Expectativa de vida ≥ 5 años:
Expectativa de vida ≤ 5 años:
Estudio óseo recomendado TAC AP sólo si probabilidad de N en normogramas es ≥ 10% |
50-60% |
SLE: Sobrevida Libre de enfermedad; RTE: Radioterapia Externa: VA: Vigilancia Activa;
PR: Prostatectomía radical, BA: Bloqueo Androgénico (2)
Un estudio randomizado con más de 400.000 pacientes, demostró que el screening con APE sólo pesquisa más cáncer de próstata, pero no tiene un efecto significativo en la mortalidad en hombres de 50-69 años a 10 años, si se compara con hombres que no se realizaron el examen (3)
Luego de la publicación del estudio PROTEC, en pacientes con CaP de bajo riesgo, se demostró que la mortalidad específica por cáncer de próstata fue baja, independiente de la rama de control (Monitoreo, Radioterapia o Prostatectomía radical). No hubo diferencias significativas en mortalidad, sólo hubo mayor progresión de enfermedad y metástasis a distancia en el grupo de Vigilancia Activa. (4)
Es en estos pacientes en donde el rol del médico radioterapeuta o urólogo pueda entregar la mejor herramienta terapéutica al paciente e intentar optar por la vigilancia activa.
Prostatectomía radical
La cirugía se puede realizar por distintas vías, la vía transperineal y retropúbica, esta última es el que ha sido usado con más popularidad, así como también el enfrentamiento laparoscópico y cirugía robótica. Todas estas se asocian o no a la linfadenectomía pelviana. Es importante considerar los mejores resultados se asocian a que lo centros concentran mayor número de especialistas y mayor volumen de pacientes y el escenario ideal es el paciente con cáncer de próstata localizado. Algunos trabajos como el Escandinavo SPCG-4 luego de 20 años de seguimiento, logró evidenciar que los pacientes sometidos a Prostatectomía radical presentaron reducción en la frecuencia de muertes por cualquier causa, de próstata y el riesgo de desarrollar metástasis, principalmente en pacientes menores de 65 años y hasta riesgo intermedio favorable. (5)
En general, los pacientes con Gleason 7 (3+4) claramente tienen mejor pronóstico que los Gleason 7 (4+3). En la revisión de Tollefson, J Urol 2006, los pacientes 3+4 tiene mejor sobrevida libre de recurrencia bioquímica (48% v/s38%), menor recurrencia sistémica (8% v/s 15%) y mayor sobrevida específica por cáncer (97% v/s 93%). (6)
Debe recordarse que los pacientes catalogados N0 pueden ser subetapificados. En la serie de Pagliarulo, JCO 2006, encontraron en 180 pacientes N0, un 13% con linfonodos (+) para metástasis ocultas. (7)
Existen también múltiples nuevos estudios que la neoadyuvancia con BA y PR v/s PR sola, demuestran disminución en los márgenes post quirúrgicos (+) y en volumen tumoral, pero no cambian la sobrevida libre de progresión bioquímica. Sin embargo, no existe ninguna evidencia en donde la Prostatectomía radical es más efectiva que la Radioterapia con el uso o no de bloqueo androgénico, como lo demuestran las publicaciones de Roach, IJROBP 2015, junto con la publicación de Hamdy, NEJM 2016. (8,9). El metaanálisis publicado por Wallis, Eur urol, 2016, es defectuosa y comparan datos de radioterapia con poblaciones inapropiadas por lo que debe ser ignorada. (10)
Debe recordarse que, por cada 10 pacientes operados, sólo 1 no necesitará radioterapia externa
Radioterapia externa
Existen múltiples técnicas actualmente para la radioterapia prostática. La Radioterapia con fraccionamiento clásico, es donde existe más literatura y evidencia, en donde las dosis varían dependiendo si el paciente está o no operado.
Paciente no operado
70-76Gy/35-38Fx a próstata y vesículas seminales. (11-12)
Por lo general, deberán recibir radioterapia post-operatorios paciente pT3, margen o márgenes (+), Gleason 8 o más, compromiso de vesículas seminales o de los ganglios linfáticos. En el grupo de pacientes pT3 o márgenes (+), si el APE post operatorio queda indetectable (< 0.05) se podría esperar el inicio de la radioterapia hasta que el antígeno sea > 0.2. El resto de los pacientes, se indica la radioterapia entre 3-6 meses después de la cirugía. (11)
La radioterapia de los linfonodos pélvicos, que fluctúan entre los 46-50Gy y en casos de confirmar que encuentran comprometidos, se puede escalar hasta 60-66Gy con IMRT.
En la publicación del RTOG 9413, de los tamaños de los campos pélvicos, se comparó radioterapia sobre pelvis completa v/s mini-pelvis v/s solo campos prostáticos. La Radioterapia de pelvis completa mejoró la sobrevida libre de progresión en 40% v/s mini-pelvis 35% v/s campos prostáticos con 27%. (13)
La recomendación de irradiar pelvis será siempre dependiendo del grupo oncológico. Pero, por lo general, será en todo paciente con riesgo ≥ 15% de tener compromiso linfonodal, operados con ganglios +, y pacientes de alto riesgo con sobrevida ≥ 5 años.
Paciente operado
66-70Gy/33-35Fx sobre lecho prostático.
Hipofraccionamiento: Generalmente se usan dosis de 2,4-4Gy/Fx. Los múltiples estudios randomizados han demostrado que estos esquemas de tratamiento tienen la misma progresión libre de enfermedad que fraccionamiento convencional /1.8-2Gy/Fx) pero generalmente con leve mayor riesgo de toxicidad (14,15).
Los esquemas más utilizados son 60Gy/20Fx, 57Gy/19Fx, 64,6/19Fx, 62Gy/20Fx.
Existe también el hipofraccionamiento extremo, en donde se usan dosis de 6.5-10Gy/Fx y no se utilizan más de 4-7 fracciones para el tratamiento completo, generalmente usado para SBRT en cáncer localizado o enfermedad metastásica.
El aumento progresivo de la dosis ha demostrado en algunos reportes un aumento entre 10-20% en sobrevida libre de progresión, pero no beneficio en sobrevida (12,16,17).
Al comparar la toxicidades aguas y crónicas en los distintos esquemas de radioterapia, vemos que no hay diferencias significativas. Sin embargo, en los grupos con dosis ≥ 3Gy, existe mayor porcentaje de toxicidad aguda (3-4 meses) y luego las curvas se tienden a igualar, sin diferencias significativas de toxicidad a largo plazo (Figura 5). (17,18)

El uso de bloqueo androgénico está siempre indicado en pacientes con riesgo intermedio, con usos desde 3-6 en donde los estudios han demostrado beneficio en sobrevida libre de progresión 10-25% y de un 5% en sobrevida específica por cáncer.
El uso de bloqueo androgénico largo, en pacientes de alto riesgo, años, también ha demostrado beneficio en sobrevida libre de progresión y sobrevida global, incluso a compararlo con bloqueo corto de 6 meses. El standard actualmente en la mayoría de los pacientes de alto riesgo es 2-3 años, sin embargo, se puede usar 1.5 años en pacientes con muchas comorbilidades. (19-22)
Radioterapia de salvataje
Por lo general, la falla de APE ocurre entre un 15-50% de los pacientes operados. Los hombres con APE en ascenso luego de Prostatectomía radical tienen un 60% más riesgo de desarrollar metástasis a distancia y un 20% de mortalidad por cáncer de próstata a 10 años si no reciben tratamiento. El tiempo de aparición de metástasis con aumento del APE es a los 8 años, pero sólo en 3 años para los Gleason mayor a 7 y APE que se dobla antes de 3 meses. La radioterapia de salvataje mejora la SLP y la muerte especifica por cáncer (23).
Quimioterapia con radioterapia
Los estudios randomizados en pacientes de alto riesgo, como el STAMPEDE o Lancet 2016, muestran que el agregar docetaxel mejoró la sobrevida libre de progresión tanto en pacientes no metastásicos como metastásicos (HR 0.6), sin embargo, hubo mayor incremento en la toxicidad. (52% v/s 38%). (24)
El RTGO 0521 (Sandler, ASCO 2015) en pacientes de alto riesgo, RTE con BA comparado con la rama que se agregó docetaxel x 6 ciclos + prednisona, aumentó en un 6% la enfermedad libre de progresión. (25)
Rol del bloqueo androgénico con radioterapia adyuvante
En el RTOG 9601 (Shipley, NEJM 2017) en pacientes operados pT3N0 ó pT2N0 con márgenes (+), al comparar con la RTE y el uso de BA (Bicalutamida) x 2 años. El uso de BA aumentó en un 5% la sobrevida global (76% v/s 71%) y la mortalidad por cáncer de próstata (6% v/s 13%). El beneficio en sobrevida global favorecida al Gleason 7. (26)
BQT/LDR (baja tasa de dosis)
RTOG 0232 (Prestidge, ASTRO 2016): al comparar pacientes de bajo riesgo hasta intermedio favorable (T1c-T2b, G: 6-7, APE < 20 tratados con BQT/LDR v/s RET, sin diferencias en SLP, sólo mayor toxicidad en RTE tanto Genitourinaria (GU) (7/ v/s 3%) y gastrointestinal (GI) (3% v/s 2%) (27)
En un tratamiento de RT, hay regiones que reciben una dosis más alta. A eso se le llama sobreimpresión o “Boost”. ASCENDE-RT (Morris, ASCO 2015): pacientes de riesgo intermedio y alto riesgo que se randomizaron a RTE de pelvis 46Gy + boost hasta 78Gy (+ BA x 1 año v/s RTE a pelvis 46Gy y boost con BQT/LDR I-125 hasta 115Gy). El boost con iridio mejoró la sobrevida libre de recurrencia en un 15%, pero también existió un leve aumento de toxicidad GU y GI (28).
BQT/HDR (alta tasa de dosis)
Yoshioka (IJROBP 2016): Tratamiento como monoterapia en pacientes de riesgo intermedio 42%, alto riesgo 58% y un 73% con BA. Se aplicaron dosis de 48Gy/8Fx, 54Gy/9F o 45.5Gy/7Fx. A 8 años de seguimiento la SLP fue de 91% en riesgo intermedio y de 77% para riesgo alto. Toxicidades de 1-3%. (29)
Hauswald (IJROBP) 2016): se compararon pacientes de bajo riesgo 64% y riesgo intermedio 36%. Solo el 9% recibió BA. Dosis entre 42G-43.5Gy /7-7.25Fx en 1 semana. A 6 años de seguimiento la SLP para bajo riesgo fue de 99% y 95% para riesgo intermedio. Toxicidades menores al 4% (30)
Seguimiento
Los pacientes con cáncer prostático, el pilar fundamental es el APE. Depende de cada centro los criterios y tiempo de control, nosotros recomendamos repetir el APE cada 3-4 meses luego de finalizado los tratamientos.
Criterios De Phoenix se definen como falla en el APE luego de radioterapia externa con o sin Bloqueo androgénico, y se define como un aumento ≥ 2ng/ml sobre el nadir del APE, definido como el valor menor que se logró. Este criterio de falla bioquímica es el mejor predictor temprano de mortalidad total, mortalidad especifica por cáncer y desarrollo de metástasis a distancia. (31,32)
El nadir del APE se logra idealmente:
Prostatectomía radical < 3 semanas
Radioterapia Externa < 2-3 años
Braquiterapia < 3-5 años
El uso de PET/PSMA en el seguimiento del cáncer prostático se recomienda cuando los valores de APE ≥ 0.5, o bien en dudas frente a otras herramientas diagnósticas como el TAC TAP y cintigrama ósea. Sin embargo, este criterio difiere mucho en cada centro de cuando es el momento de solicitarlo.
Pasquier (IJROBP, 2019 GETUG study), presentó casos de falla local uni o bilateral en próstata, luego de radioterapia externa, nunca operados, donde realizó SBRT con dosis de 36Gy/6Fx en promedio, a corto seguimiento de 29 meses. Hubo control local sin falla bioquímica, estadísticamente significativa con toxicidad aceptable. (32)
Cáncer de testículo
El tratamiento de Radioterapia para Cáncer testicular se resume en las siguientes publicaciones
Seminoma Etapa I (33,34)
El Estudio MRC T10 (Fossá JCO 1999) (34) comparó en pacientes con seminoma puro etapa I (sin intervención quirúrgica previa inguinal ni escrotal), el campo paraaórtico (PA) versus campo dog leg (DL) aplicando Dosis de 30 Gy en 15 fracciones.
Se definió como campo DL (242 pacientes):
– límite superior: disco entre T10-T11,
– límite inferior: mitad de agujero obturador
– límite lateral ipsilateral: hilio renal hasta disco L5-S1 y luego diagonal hasta borde lateral de acetábulo y luego vertical hasta la mitad del agujero obturador,
– margen contralateral: proceso transverso en región paraórtica hasta L5-S1, luego diagonal en paralelo con borde ipsilateral, luego vertical hasta borde de agujero obturador.
El Campo PA (236 pacientes) fue idéntico a DL por superior a nivel de L5-S1.
Se demostró menor toxicidad aguda en campo PA gastrointestinal, hematológica, gonadal, con RFR a 3 años 96% PA y 96,6% DL, SV libre de recurrencia pélvica a 3 años 98,2% PA y 100% DL y SV a 3 años 100% DL y 99,3% PA.
Seminoma etapa II
El estudio prospectivo (Classen JCO 2003) (35) incluyo 87 pacientes: 66 IIA y 21 IIB con una mediana de seguimiento 70 meses. El objetivo fue evaluar el tratamiento con campos reducidos paraaórticos e ilíacos tomando como límite inferior hasta el borde superior de acetábulo.
Con Dosis de 30 Gy en 15 fracciones IIA y 36 Gy en 18 fracciones IIB. No hubo fallas bajo límite inferior de tratamiento logrando DFS a 6 años de 95,3% en IIA y de 88,9% en IIB. No hubo muertes por seminoma.
El estudio retrospectivo PMH (Chung IJROBP 2003) (36), incluyo 79 pacientes etapa IIA y IIB con tratamiento campo DL con dosis 25 Gy en 20 fracciones + sobreimpresión de 10 Gy en 5-8 fracciones a linfonodos paraaórticos (+). Sin RT supradiafragmática profiláctica presenta una mediana de seguimiento de 8,5 años. Se logra RFR a 5 años de 91% (7 pacientes fallaron, 3 en Linfonodos supradiafragmáticos). El campo estándar es solamente infradiafragmático.
Dosis de tratamiento
Seminoma etapa I
El Estudio MRC T18 (Jones JCO 2005) (37) es un estudio randomizado a RT 30 Gy en 15 fracciones o 20 Gy en 10 fracciones (dosis a línea media) campo paraaórtico.
Se presentaron náuseas y vómitos G3-4 19,7% con 30 Gy y 18,4% con 20 Gy. Más dispepsia con 30 Gy. RFR a 2 años fue 97% en ambos grupos.
Seminoma Etapa II
El estudio retrospectivo (CHUNG 2004 Eur urol) (38) incluyo 128 pacientes en pacientes seminoma etapa II: 50 IIA, 37 IIB y 39 IIC (8 con masa >10 cm). De estos 95 pacientes fueron tratados con RT (79 IIA/B y 16 IIC).
Dosis de RT 25 Gy en 20 fracciones en 35 pacientes; 44 pacientes recibieron además 10 Gy en 5-8 fracciones y 16 pacientes dosis entre 30 – 45 Gy. Además 31 pacientes fueron tratados con QT (23 pacientes tenían etapa IIC), con esquema QT etopósido 100 mg/m2 y cisplatino 20 mg/m2 (EP) por 5 días en la mayoría de los pacientes.
La Mediana de seguimiento fue 8,5 años logrando OS 93% a 5 y 10 años y CSS de 94% a 5 y 10 años. CSS para etapa IIA, IIB y IIC fue 95,5%, 100% y 85,8% a 5 y 10 años (p=0.04).
RFR a 5 y 10 años fue 85%. RFR a 5 años fue 91,9% en etapa IIA, 88,6% etapa IIB y 73% etapa IIC (p=0,035)
Con RT, RFR a 5 años fue 91,7% en etapa IIA y 89,7% en etapa IIB. Hubo 9/16 de recurrencia de los pacientes etapa IIC tratados con RT, y 7/79 recurrencias de aquellos en etapa I IA/B. Con QT RFR a 5 años fue 83,3% en etapa IIB.
En los pacientes con etapa IIC, aquellos tratados con radioterapia (RT) tuvieron mayor riesgo de recurrencia que aquellos tratados con QT (p=0.0004).
El estudio SWENOTECA (poblacional prospectivo) (39) realizó RT 25,2 Gy en 14 fracciones en pacientes seminoma etapa I y 27 Gy en 15 fracciones para seminoma etapa II. QT se aplicó en etapa IIB o mayor 4 EP o BEP. En etapa I, hubo mayor riesgo de recurrencia con QT (HR 4,7; p=0.031): 0,8% RT vs 3,9% QT. En 102 pacientes Etapa IIA/B, mayores recurrencias fueron en pacientes tratados con RT (3/29). Ninguna recurrencia en los 73 pacientes tratados con QT. En Etapa IIC, 6/42recurrencias (14%) fue para RT (40).
Riesgo de segundo cáncer
JNCI (41) presenta una revisión de 40.576 pacientes, 10.534 tratados con RT y 808 con QT. El Riesgo acumulado de segundo cáncer sólido fue 36% en seminoma comparado con 23% en población general: RR = 2 con RT y RR = 1.8 con QT, ambos RR = 2.9. De los pacientes con sobrevida de al menos 10 años, se observó aumento de riesgo de cánceres sólidos con un RR = 2 con RT; RR = 1,8 con QT, y RR = 29,9 con RT y QT. JCO (42) presenta 2707 pacientes seminoma y no seminoma, con mediana de seguimiento de 17,6 años. Se observó aumento de riesgo absoluto de 32.3 por 10.000 persona/año. El riesgo de segundo cáncer fue 2.6 veces luego de RT infradiafragmática (sin aumento significativo de enfermedad cardiovascular).
Mientras que QT en base a cisplatino se asoció a un aumento de riesgo de 2.1 veces de segundo cáncer y 1.7 veces aumento de riesgo de enfermedad cardiovascular. El aumento de riesgo de ambos tratamientos es comparable con el aumento de riesgo de tabaquismo.
Recomendaciones de tratamiento
El resumen del tratamiento se describe a continuación (43,44). Obviamente todos los pacientes ya fueron sometidos a orquiectomía radical y son seminomas. En los no seminomas la radioterapia no tiene ningún rol en el tratamiento curativo actualmente.
Etapa I:
- Observación
- Radioterapia sobre paraaórticos 20 Gy en 10 fracciones.
- Quimioterapia (1 ciclo carboplatino)
Etapa IIA/IIB:
- Radioterapia sobre linfonodos paraórticos y pélvicos ipsilaterales 20 Gy en 10 fracciones con sobreimpresión sobre adenopatías (+) hasta 30 Gy (IIA) y 36 Gy (IIB)
- Quimioterapia (EP o BEP)
Etapa IIC/III:
- Quimioterapia (BEP)
Cáncer de escroto(45-49)
Es una Neoplasia infrecuente. Dentro de los factores de riesgo destacan exposición a hollín, alquitrán y brea. La mayoría de los cánceres de escroto son tumores de piel, que dado su relación con exposición ocupacional se clasifican como entidad separada a cánceres de piel. También sarcomas, melanomas, linfomas, enfermedad de Paget, mesoteliomas, otros. El manejo dependerá de la histología y de la etapa de enfermedad. Considerar radioterapia neoadyuvante o adyuvante de acuerdo a histología y etapa de enfermedad.
Cáncer de pene
El cáncer de pene es una enfermedad infrecuente. El tratamiento tradicional es quirúrgico, que puede ir desde procedimientos conservadores como resección local, a penectomía parcial o total dependiendo de la extensión de la enfermedad.
El tratamiento con radioterapia ya sea radioterapia externa (RTE) o braquiterapia (BT), ofrece una alternativa terapéutica conservadora, sobre todo en estadío temprano, reservando la cirugía como tratamiento de rescate en caso de necesidad. Considerar que la Penectomía se asocia a mayor incidencia de depresión y suicidio.
El manejo de esta enfermedad se ha extrapolado de otros cánceres escamoso como vulva y ano. Debido a la naturaleza de esta patología, siempre se debe tener en cuenta su diseminación linfática, el compromiso inguinal bilateral es común y de éstos 20-30% tendrá linfonodos pelvianos comprometidos, lo que es un signo pronóstico ominoso en esta enfermedad (50,51).
Radioterapia primaria
Un estudio retrospectivo del Royal Marsden Hospital (52) de 101 pacientes, 59 fueron tratados con RT externa con mediana de dosis de 60 Gy, 13 con BT, la mayoría T1 superficial y 29 con penectomía. La mediana de seguimiento fue 5.2 años.
La SV a 5 años fue de 57%, SV cáncer específica 66%, control local 60% y 50% preservación de pene. No hubo diferencia en control local entre cirugía y RT, considerando el rescate.
Los factores pronósticos adversos de sobrevida cáncer específica fue tumores poco diferenciados, extensión fuera de glande, ganglios positivos y edad ≥ 60 años. Mayor incidencia de falla local con dosis total <60, no ES.
Dentro de las complicaciones destaca estenosis uretral en 7/56 pacientes tratados con RT externa, 2 requirieron penectomía (1 por necrosis y 1 por daño uretral severo). Estenosis uretral severa se presentó en 3/13 con BT con iridio. Mientras que hubo una estenosis uretral moderada y dos estenosis uretrales severa en 29 pacientes tratados con cirugía. Hubo un suicidio y un intento de suicidio luego de penectomía.
Otro estudio retrospectivo (53) incluyó 60 pacientes con carcinoma escamoso de pene. En el, 27 pacientes fueron tratados con cirugía y 29 con RT primaria (7 con RT + BT y 1 solamente BT). Además 22 pacientes necesitaron RT postoperatoria por margen positivo y/o compromiso nodal. El volumen de tratamiento incluyó el pene en todos los pacientes y en 19 pacientes linfonodos regionales. Ningún paciente recibió quimioterapia con intención curativa. La mediana de seguimiento fue 14 meses. La falla local fue 13% en pacientes tratados con penectomía parcial +/- RT y 56% en pacientes manejados con tratamiento conservador (p = 0.0001). El 73% de las fallas locales fueron tratadas con cirugía de rescate. Existió control local con preservación de órgano en 39% y la preservación de pene total fue de 52%.
La SV global y cáncer específica a 5 años fue 43% y 61% respectivamente. El control local y loco-regional a 5 años fue 63% y 50% respectivamente. De demostró que el estado nodal fue el único factor pronóstico para SV cáncer específica. El control local y loco-regional estuvieron influenciados solamente por tipo de tratamiento: cirugía 88% vs 49% RT (p=0.005) y 73% con cirugía vs 36% con RT para control loco-regional (p=0.004). El tipo de tratamiento primario no afectó SV. En pacientes tratados con RT, la probabilidad de preservación de órgano a 5 años fue de 43% y a 10 años de 25%.
Un metaanálisis (54) analizó 1505 pacientes tratados con penectomía, 673 con BT y 155 con RT externa. La SV fue similar con penectomía y BT (76% cirugía, 73% BT; p=0.863) y ambos se compararon favorablemente con la SV de 58% con RT externa (p < 0.001). El control local a 5 años fue 84% con penectomía y 79% con BT (p=0.009). Ambos mejores que el control local de 50% con RT externa (p=<0.001). La conservación de pene con BT fue 74% y 49% con RTE (p<0.001). Sin embargo, hubo diferencias en la dosis alcanzada con BT (60 Gy) y RTE (51 Gy).
Presentaron 9-45% estenosis uretral con BT y 9-27% con RTE. Necrosis existió en 6-26% con BT.
Por último, un estudio del Instituto de Cáncer Holandés (55), presenta un análisis de compromiso nodal en paciente con cáncer escamoso de pene de 110 pacientes. La práctica institucional en cN0 era observación y cN1 disección ganglionar. En los primeros años se realizó disección ganglionar unilateral al lado clínicamente positivo. Luego, linfadenectomía inguinal bilateral en paciente cN0 T2 G3, T3 independiente del grado, y T4 operables. La RT adyuvante fue indicada en pacientes con extensión extracapsular y/o más de 2 LN comprometidos.
Del total, 66 pacientes fueron cN0 y de estos 55 fueron observados, mientras que en 5 se realizó disección ganglionar (+ RT en 1, y RT externa en 4). En 40 pacientes cN+, se realizó disección ganglionar en 27 (con RT adyuvante en 11, solo biopsia en 4, RT externa en 4 y vigilancia en 5). La recurrencia regional fue de 23% (25/110). La SV libre de enfermedad a 5 años fue 88% N0, 67% N1 y 55% N2. La SV cáncer específica a 5 años en pN0 fue 100%, 79% en pN1y 17% en pN2. El riesgo de recurrencia y muerte aumento con 2 o más LN positivos (p=0.007) mientras que el grado tumoral también fue predictor de recurrencia regional (64% G3 vs 17% G1-2, p=0.000)
Radioterapia adyudante postoperatoria
La incidencia de falla inguinal en pacientes tratados con linfadenectomía varía entre 25 a 77%. En el estudio de Chen (56) RT postoperatoria a región inguinal disminuyó la recurrencia inguinal de 60% a 11%. En esta revisión de 45 pacientes, 95% fueron pN+. El tratamiento estándar fue disección ganglionar y 9 pacientes recibieron RT adyuvante a primario + región inguinal bilateral + ilíacos bajos con mediana de dosis de 54Gy. Mientras que 3/22 cN0 recibieron disección inguinal electiva.
Con una mediana de seguimiento de 37 meses, la SV a 5 años fue 54,3% y SV libre de enfermedad a 5 años fue de 43,4%. Pacientes pT1-2 cN+ con disección ganglionar + RT adyuvante la falla regional fue 14% si cN+ versus 60% en aquellos que sólo recibieron cirugía. Pacientes pN0, la SV global y SV libre de enfermedad a 5 años fue 70% y 55%, versus 22% y 16% en aquellos cN+. (p=0.01 y p=0.004 respectivamente). En grupo pN+ hubo 11% de falla con RT adyuvante versus 60% de falla sin RT (p=0.057).
El estudio InPACT (57) actualmente en curso, randomizado multi-institucional en paciente con cáncer escamoso de pene clínicamente N1-N3, tiene como objetivo:
- Determinar si hay un rol de tratamiento neoadyuvante
- Determinar si la disección ganglionar pélvica mejora la sobrevida en pacientes con alto riesgo de recurrencia luego de disección ganglionar inguinal.
Los pacientes son randomizados primero de 1-3 ramas:
- Disección ganglionar inguinal
- Quimioterapia neoadyuvante (QTNA) con docetaxel, ifosfamida y cisplatino (TIP) seguido de disección ganglionar inguinal.
- Quimiorradioterapia neoadyuvante con cisplatino semanal seguido de disección ganglionar inguinal.
En la segunda randomización, los pacientes de alto riesgo son randomizados a:
- Disección ganglionar pélvica profiláctica
- No disección ganglionar pélvica profiláctica.
Todos aquellos que no recibieron QTRT NA, reciben QTRT adyuvante.
Recomendaciones de Tratamiento (58-60)
Las recomendaciones actuales son el tratamiento combinado del cáncer de pene localmente avanzado con radioquimioterapia con cisplatino concurrente. El volumen de tratamiento incluye pene, regiones nodales inguinales bilateral, grasa prepúbica y linfonodos pélvicos a dosis de 45 Gy, como tratamiento neoadyuvante. Si el paciente no es candidato a cirugía por comorbilidad o es irresecable luego de neoadyuvancia, continuar tratamiento hasta dosis de 54-57Gy para enfermedad ganglionar y 63 Gy al primario (58).
Etapa temprana
Tis/Ta: Resección con circuncisión
T1-2 N0: Si tumor <4cm: Preservación de pene: circuncisión +
- BT intersticial o molde
- RT externa: 40 – 50 Gy pene + regiones nodales, boost hasta 65 – 70 Gy sobre lesión primaria, uso de bolus.
- RT externa + QT concurrente
- Considerar RT externa profiláctica sobre región inguinal si paciente no candidato quirúrgico.
- Cirugía: resección amplia, penectomía parcial, penectomía radical + manejo de linfonodos de acuerdo a recomendaciones.
Etapa avanzada
T3-4 ó N+: RT externa con QT concurrente: 45 – 50.4 Gy sobre pene + regiones nodales inguinales bilaterales + linfáticos pélvicos + sobreimpresión a lesión primaria hasta dosis 60 – 70 Gy.
Margen positivo luego de cirugía del primario:
- RT externa post operatoria: sin enfermedad macroscópica 45 – 60 Gy al primario
- Tratamiento de región inguinal y pélvica si no hay disección ganglionar inguinal o si es inadecuada.
QTRT adyuvante: LN inguinal y/o pélvicos positivo
- Recomendado si adenopatía inguinal palpable bulky, considerar en no bulky N2-3, o en recurrencia.
Cáncer de vejiga
Actualmente, la cirugía es el tratamiento estándar en cáncer de vejiga para control loco regional de la enfermedad. Sin embargo, la cistectomía radical puede estar asociada a disminución en la calidad de vida de los pacientes. En este sentido, la radioterapia juega un importante rol en términos de calidad de vida con preservación de órgano y su función. RT es una alternativa terapéutica en pacientes seleccionados, así como también opción de tratamiento ya sea curativo o paliativo en pacientes no candidatos a cirugía. La técnica de RT externa puede ser 3D, IMRT e idealmente con IGRT.
Enfermedad no músculo invasora
No hay evidencia que demuestre que RT ofrezca mayor probabilidad de preservación de vejiga que otros tratamientos. RT podría ser una opción en pacientes seleccionados T1.
El estudio de Weiss (61) de RTQT, incluyó 141 pacientes T1 de alto riesgo (G3, múltiples recurrencias a tratamiento intravesical, carcinoma in situ asociado, lesiones multifocales, >5 cm diámetro). Se realizó RT 4-6 semanas luego de TURBT sobre pelvis. RT 3D con mediana de dosis de 50.4 Gy sobre linfáticos pélvicos, seguido de sobreimpresión sobre vejiga hasta mediana de dosis de 55,8 Gy. QT concurrente semana 1 y 5 con cisplatino + 5FU. Luego de 6 semanas del tratamiento reevaluación con TURB.
Existió una respuesta completa a las 6 semanas de 88%. La falla global fue 49% a 5 años y 64% a 10 años. Progresión a 5 años fue 19% y SV cáncer específica a 5 años 82%. La preservación de vejiga se logró en 80%. Se reportó toxicidad aguda G3-4: 23% diarrea, 4% náuseas / vómitos, 20% leucopenia.
El estudio RTOG 0926 (62) en curso fase 2, en pacientes con enfermedad T1 alto riesgo, evalúa tratamiento concurrente de RTQT con cisplatino, 5FU y MMC. El objetivo primario es SV libre de cistectomía radical a 3 años. Los resultados están pendientes.
Enfermedad músculo invasora
La preservación de vejiga con tratamiento trimodal (máxima TURBT, seguido de RTQT) es el tratamiento de elección en pacientes seleccionados: tumor de vejiga unifocal, tumor menor a 5 cm, sin hidroureteronefrosis, buena función vesical, TURBT visiblemente completa. No hay publicados estudios randomizados que comparen cistectomía radical con tratamiento conservador trimodal. (63)
El BC 2001(64) es un estudio fase 3 randomizado en pacientes con cáncer de vejiga T2, T3 o T4a, N0, M0. Se comparó tratamiento RT sola vs RTQT con 5FU y MMC, y además RT a vejiga vs RT a un volumen modificado a la vejiga no comprometida. Se aplicó RT 55 Gy en 20 fracciones o 64 Gy en 32 fracciones.
Un 55% de los pacientes tuvieron resección completa con TURBT. SV libre de enfermedad loco-regional fue mejor con RTQT (a 2 años 67% vs 54%, p=0.03). En grupo RTQT hubo mayor toxicidad gastrointestinal G3-5 de acuerdo a escala NCI CTCAE 9.6% RTQT vs 2.7% RT (p=0.007), pero no se observó diferencia según RTGO y LENT/SOMA. El tratamiento trimodal en comparación con cistectomía radical parece tener mejores resultados en este caso.
En un metaanálisis (65) de estudios que comparan tratamiento trimodal (TMT) con cistectomía radical, se observa SV a 5 años 52% con cistectomía radical y 57% con terapia trimodal (p=0.04), TMT tuvo mejor SV comparado con cistectomía radical sola (51%, p=0.02), pero no cistectomía radical + QT (53% p=0.38), aunque los HR para mortalidad fueron mejores en aquellos que recibieron TMT que aquellos con cistectomía radical sola (HR = 1.22; IC 95% 1.12-1.32) o cistectomía radical + QT (HR = 1.22, IC 95% 1.09-1.36).
Radioterapia adyudante
Radioterapia adyuvante se puede considerar en pacientes pT3 – pT4, pN0-2.
Un estudio fase 2 (66) en 120 pacientes en Egipto, tratados con cistectomía radical con márgenes negativos +1 o más de: ≥T3b, G3, pN+. Randomizados a 3 ramas: RT, QT + RT esquema sándwich (Gem+Cisp RT Gem+Cisp) o QT (4 ciclos).
La QT fue con gemcitabina y cisplatino cada 28 días y la RT sobre pelvis con dosis total 45 Gy, bifraccionado 1,5 Gy dos veces al día.
Los resultados muestran un 54,7% y 51,5% de histología urotelial en QT+RT y QT, respectivamente. SV libre de recurrencia local a 2 años fue 96% con QT+RT y 69% con QT (p=<.01). SV libre de enfermedad a 2 años fue 68% con QT+RT vs 56% con QT (p=.07). No hubo diferencia en SV global (71% QT+RT vs 60% QT) ni en SV libre de metástasis (73% con QT+RT y 79% con QT).
Otro estudio Fase III (67) de QT + RT esquema sándwich adyuvantes publicado sólo como abstract, con mediana de seguimiento de 21 meses para QT+RTy 15 meses para RT, muestra QT+RT como factor predictor de mayor SV y SV libre de enfermedad.
Hay estudios randomizados en curso de radioterapia y radioquimioterapia adyuvante. El GETUG AFU 30 (68), estudio fase 2 randomizado en curso evaluando radioterapia adyuvante en cáncer de vejiga músculo invasor de alto riesgo. Compara RT adyuvante sobre pelvis 50,4 Gy en 28 fracciones versus vigilancia. El NRG-GU001 (69) estudio fase 2 randomizado de radioterapia adyuvante con IMRT luego de cistectomía en pacientes con cáncer urotelial pT3-4 pN0-2, con o sin QT adyuvante (no QTRT concurrente). RT sobre pelvis 50,4 Gy y el estudio randomizado de Tata Memorial Hospital (70) de radioterapia adyuvante luego de cistectomía radical con enfermedad de alto riesgo, con o sin QT adyuvante (no QTRT concurrente).
Recomendaciones de tratamiento (71-72)
Enfermedad no músculo invasora cT1 con factores de riesgo se puede considerar RT en casos seleccionados.
Enfermedad músculo invasora QT neoadyuvante cirugía
Preservación de órgano:
- TURBT QTRT 55-64 Gy
- TURBT QTRT 40 Gy Imágenes + TURBT Completar RT si respuesta completa o cistectomía de rescate si tumor persistente
- TURBT RT sola (pacientes no candidatos a QT ni cirugía)
En etapa localmente avanzada IIIA / IIIB y IVA no metastásico, considerar radioquimioterapia concurrente, evaluación de respuesta 2-3 meses post tratamiento. De acuerdo a esto, observación o consolidación quirúrgica o tratamiento de enfermedad metastásica si procede.
Luego de cistectomía radical considerar RT adyuvante de acuerdo a factores de algo riesgo RT sobre pelvis ± lecho quirúrgico si márgenes positivos 50,4 Gy.
Recurrencia local luego de cistectomía RTQT 40- 45 Gy sobre pelvis, con sobreimpresión hasta 60 – 66 Gy sobre recurrencia.
Radioterapia estereotáxica en tumores urológicos
La radioterapia estereotáxica o radiocirugía corporal (conocida por sus siglas SBRT o SABR) es una modalidad de radioterapia externa en la cual con técnicas avanzadas guiadas por imágenes es posible entregar grandes dosis de radiación por fracción. En el campo de la urología, la SBRT ya se encuentra en la práctica clínica principalmente en el tratamiento del cáncer de próstata de riesgo bajo e intermedio y en el tratamiento de los tumores oligometastásicos. En el último tiempo se ha estudiado con resultados prometedores un posible rol en pacientes con cáncer renal que no sean candidatos a cirugía por comorbilidades u otras razones.
Esta técnica de radioterapia tiene algunas diferencias radiobiológicas en comparación a los tratamientos con fraccionamiento estándar que podrían reflejarse en un beneficio clínico. Por una parte, al entregar una gran dosis de radiación por fracción se producen cambios en el estroma tumoral a través de la activación de las vías de apoptosis endotelial teniendo un efecto ablativo sobre el tumor. Asimismo, los efectos inflamatorios y apoptosis reclutan células dendríticas en el sitio irradiado. Estas células dendríticas se unen a los antígenos tumorales los cuales son presentados a linfocitos T CD4 y CD8 desarrollándose una inmunidad específica contra el tumor73.
Kishan et al., publicaron los resultados a largo plazo de la SBRT en cáncer de próstata de riesgo bajo e intermedio en base a un análisis individual de pacientes tratados en 10 instituciones74. Se eligieron para el análisis un total de 2142 pacientes con un promedio de edad de 67,9 años. Del total, 1185 (55,3%) tenían enfermedad de bajo riesgo, 692 (32,3%) enfermedad de riesgo intermedio favorable y 265 (12,4%) riesgo intermedio desfavorable. Las dosis usadas para la SBRT variaron entre 33,5 a 40 Gy entregadas en 4 o 5 fracciones. Las tasas acumuladas de recurrencia bioquímica a 7 años fueron para la enfermedad de bajo riesgo, riesgo intermedio favorable y riesgo intermedio desfavorable de 4,5%, 8,6% y 14,9% respectivamente. Respecto a la toxicidad, las incidencias de eventos genitourinarios y gastrointestinales agudos G3 o más fueron de un 0,6% y 0,09% respectivamente, y a 7 años los eventos urinarios G3 o más resultaron en un 2,4% y los gastrointestinales en 0,4%. Estos hallazgos sugieren que la SBRT en cáncer de próstata de riesgo bajo e intermedio, tanto en términos de control de la enfermedad como toxicidad, es comparable con las otras alternativas terapéuticas con la ventaja de un tiempo de tratamiento significativamente menor en comparación a la radioterapia con fraccionamiento estándar.
Otro rol terapéutico de la SBRT en cáncer de próstata es el tratamiento de la recidiva local luego de radioterapia convencional, escenario que siempre ha sido un desafío para el clínico. La re-irradiación con SBRT ha mostrado resultados prometedores en relación a sobrevida libre de enfermedad y de recurrencia bioquímica, retrasando la necesidad de iniciar otras terapias como bloqueo androgénico, con una toxicidad genitourinaria y gastrointestinal aceptable75,76.
El uso más frecuente de la SBRT entre la práctica clínica urológica actual es el tratamiento del paciente con enfermedad de baja carga metastásica. El estado oligometastásico fue descrito por primera vez en el año 1995 por Hellman y Weischelbaum77. Este estado crea el paradigma de pacientes que tienen una enfermedad con un número limitado de metástasis que podrían ser curados o tener mejor sobrevida usando tratamientos radicales.
El principal estudio randomizado que evalúa el rol de la SBRT en oligometástasis es el SABR-COMET por Palma et al77. El objetivo de este ensayo clínico fue evaluar el impacto de las terapias ablativas en la sobrevida global de pacientes con enfermedad maligna con primario controlado y de 1 a 5 metástasis. Los pacientes fueron randomizados a SBRT versus radioterapia paliativa convencional. En ambos grupos podían recibir tratamiento sistémico estándar a criterio del tratante.
En el último reporte (liberado vía plataforma medRixv, doi: 10.1101/2020.03.23.20044305) muestran los resultados de 99 pacientes randomizados. Los primarios más frecuentes fueron mama, pulmón, colorrectal y próstata. Cabe destacar que los pacientes con cáncer de próstata con enfermedad hormono-sensible no fueron incluidos en este estudio. La sobrevida global a 5 años en el grupo de radioterapia paliativa convencional fue de 17,1% versus un 42,3% de la rama con SBRT (p=0,006). Por otra parte, la SBRT no tuvo un impacto negativo en la calidad de vida de los pacientes.
En cáncer renal, durante los últimos años se ha ido publicando evidencia de un posible rol de la SBRT para tratar el tumor primario en pacientes no candidatos a tratamiento quirúrgico. Históricamente, el cáncer renal ha estado fuera de la práctica habitual del oncólogo radioterapeuta considerándose un tumor resistente a la radiación, limitando el uso de la radioterapia principalmente a un contexto paliativo78.
La mayoría de los carcinomas de células renales son altamente vascularizados debido a una hipermetilación de la proteína VHL. Usando un fraccionamiento estándar de radioterapia luego de cada sesión se generan momentos de hipoxia y reoxigenación en el tumor, y en condiciones de hipoxia la VHL no se une a la proteína H1F1A lo que lleva a su acumulación. La acumulación de H1F1A lleva a un upregulation de varios factores proangiogénicos, como VEGF, y un a un downregulation de inhibidores angiogénicos. Frente a esta situación el uso de fraccionamientos ablativos con la capacidad de provocar apoptosis endotelial en los vasos del tumor podría presentar algún beneficio.
Existen varios estudios retrospectivos que han analizado los efectos de la SBRT para tratar el tumor primario en cáncer renal y, por lo tanto, se han desarrollado ya algunos estudios fase 1 y 2 para investigar con mayor detalle su seguridad y eficacia. El International Radiosurgery Oncology Consortium for Kidney (IROCK)79 realizó un análisis agrupado de 223 pacientes tratados en 9 instituciones con SBRT con fracción única o multifracción. Se realizó un tratamiento de fracción única en 118 pacientes con una mediana de dosis de 25 Gy, y el resto recibió un esquema de 2 a 10 fracciones con una mediana de dosis de 40 Gy. El control local, sobrevida cáncer-específica y sobrevida global a 4 años fue de 97,8%, 91,9% y 70,7% respectivamente. Un 35,6% de los pacientes tuvo toxicidad G1-2 y sólo un 1,3% G3-4. Asimismo, hubo una leve disminución, pero significativa, en la tasa de filtración glomerular (59,9 – 54,4 ml/min/1,73m2). Estos resultados han mostrado que son SBRT se puede lograr un buen control local con baja toxicidad, convirtiendo a este tratamiento en una alternativa atractiva para pacientes no operables. Sin embargo, se necesitan más y nuevos ensayos prospectivos para garantizar estos resultados.
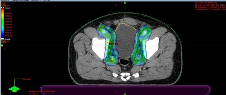
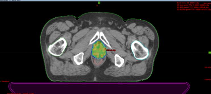
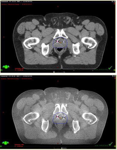
Se presentan figuras de un caso clínico de nuestro centro. Paciente de 57 años, APE: 6.5, Biopsia Gleason 7 (3+4) 2/6 sextantes. Etapificación (-), Rechaza cirugía.



Bibliografía
- Guía NCCN y ESMO 2020 para cáncer prostático-
- Hansen E, Roach M “Handbook of Evidence-Based Radiation Oncology” third Edition, 2018
- Martin RM1,2, Donovan JL1,3, Turner EL1, Metcalfe C1,4, Young GJ1,4, Walsh EI1, Lane JA1,4, Noble S1, Oliver SE5, Evans S6, Sterne JAC1,2, Holding P7 Tazewell MK1, Hughes LJ9, Davies CF1, Thorn JC1, Down E1, Davey Smith G1,10, Neal DE7,9, Hamdy FC7; CAP Trial Group. “Effect of a Low-Intensity PSA-Based Screening Intervention on Prostate Cancer Mortality: The CAP Randomized Clinical Trial”. JAMA. 2018 Mar 6;319(9):883-895.
- F.C. Hamdy, J.L. Donovan, J.A. Lane, M. Mason, C. Metcalfe, P. Holding, M. Davis, T.J. Peters, E.L. Turner, R.M. Martin, J. Oxley, M. Robinson, J. Staffurth, E. Walsh, P. Bollina, J. Catto, A. Doble, A. Doherty, D. Gillatt, R. Kockelbergh, H. Kynaston, A. Paul, P. Powell, S. Prescott, D.J. Rosario, E. Rowe, and D.E. Neal, for the ProtecT Study “Group Ten-year Mortality, Disease Progression, and Treatment-related Side Effects in Men with Localised Prostate Cancer from the ProtecT Randomised Controlled Trial According to Treatment Received”, N Engl J Med 2016; 375:1415-1424
- Holmberg L1, Bill-Axelson A, Steineck G, Garmo H, Palmgren J, Johansson E, Adami HO, Johansson JE. “Results from the Scandinavian Prostate Cancer Group Trial Number 4: a randomized controlled trial of radical prostatectomy versus watchful waiting”. J Natl Cancer Inst Monogr. 2012 Dec;2012(45):230-3
- Moschini M1, Sharma V1, Zattoni F1, Boorjian SA1, Frank I1, Gettman MT1, Thompson RH1, Tollefson MK1, Kwon ED1, Karnes RJ2. “Risk Stratification of pN+ Prostate Cancer after Radical Prostatectomy from a Large Single Institutional Series with Long-Term Followup” J Urol. 2016 Jun;195(6):1773-8.
- Vincenzo Pagliarulo , Debra Hawes , Frank H. Brands , Susan Groshen , Jie Cai , John P. SteinGary Lieskovsky , Donald G. Skinner , Richard J. Cote. “Detection of Occult Lymph Node Metastases in Locally Advanced Node-Negative Prostate Cancer” JCO, 2006y >List of Issues , Volume 24, Issue 18
- Roach M 3rd1, Ceron Lizarraga TL2, Lazar AA3. “Radical Prostatectomy Versus Radiation and Androgen Deprivation Therapy for Clinically Localized Prostate Cancer: How Good Is the Evidence?” Int J Radiat Oncol Biol Phys. 2015 Dec 1;93(5):1064-70
- Freddie C. Hamdy, F.R.C.S.(Urol.), F.Med.Sci., Jenny L. Donovan, Ph.D., F.Med.Sci., J. Athene Lane, Ph.D., Malcolm Mason, M.D., F.R.C.R., Prasad Bollina, M.B., B.S., F.R.C.S.(Urol.), James Catto, Ph.D., F.R.C.S.(Urol.), Andrew Doble, M.S., F.R.C.S.(Urol.), Alan Doherty, F.R.C.S.(Urol.), David Gillatt, M.S., F.R.C.S.(Urol.), Roger Kockelbergh, D.M., F.R.C.S.(Urol.) for the ProtecT Study Group “10-Year Outcomes after Monitoring, Surgery, or Radiotherapy for Localized Prostate Cancer” N Engl J Med 2016; 375:1415-1424
- Wallis CJD1, Saskin R2, Choo R3, Herschorn S4, Kodama RT4, Satkunasivam R4, Shah PS5, Danjoux C6, Nam RK7. “Surgery Versus Radiotherapy for Clinically-localized Prostate Cancer: A Systematic Review and Meta-analysis”. Eur Urol. 2016 Jul;70(1):21-30.
- Pollack A Zagars GK Starkschall G et al. Prostate cancer radiation dose response: results of the M D Anderson phase III randomized trial.Int J Radiat Oncol Biol Phys. 2002; 53: 1097-1105
- Peeters ST Heemsbergen WD Koper PC et al. “Dose-response in radiotherapy for localized prostate cancer: results of the Dutch multicenter randomized phase III trial comparing 68 Gy of radiotherapy with 78 Gy”. J Clin Oncol. 2006; 24: 1990-1996
- M. Roach1 D. Hunt2 C.A. Lawton3 I. Hsu1R.A. Lustig4M. Seider5J.U. Christopher6 C.R. Thomas7 W.U. Shipley8 Radiation Therapy Oncology Group (RTOG) 9413: “A Randomized Trial Comparing Whole Pelvic Radiation Therapy (WPRT) to Prostate Only (PORT) and Neoadjuvant Hormonal Therapy (NHT) to Adjuvant Hormonal Therapy (AHT)” Int J Radiat Oncol Biol Phys October 1, 2013Volume 87, Issue 2, Supplement, S106–S107
- David Dearnaley, Isabel Syndikus, Georges Sumo,”Conventional versus hypofractionated high-dose intensitymodulated radiotherapy for prostate cancer: results from the CHHiP randomised controlled trial, Lancet Oncol 2016; 13: 43–54
- Robert Lee, James J. Dignam, Mahul B. Amin, Deborah W. Bruner, Daniel Low, Gregory P. Swanson, Amit B. Shah, David P. D’Souza, Jeff M. Michalski Randomized Phase III Noninferiority Study Comparing Two Radiotherapy Fractionation Schedules in Patients With Low-Risk Prostate” , JCO VOLUME 34 • NUMBER 20 • JULY 10, 2016
- Incrocci L, Wortel R, Aluwini S, “Hypofractionated versus conventionalle fractiones radiotherapy for patients with localized cancer (HYPRO): final efficacy results from randomized multicenter, open label-phse 3 trial” Lanc onc, 2016 Vol 17, Iss 8, P1061-69
- Fonteyne V, MD, Guy Soete, Arcangely S. “Hypofractionated High-Dose Radiation Therapy for Prostate Cancer: Long-Term Results of a Multi-Institutional Phase II Trial” World J Radiol. 2012 Jun 28;4(6):241-6
- Catton CN1, Lukka H1, Gu CS1, Martin JM1, Supiot S1, Chung PWM1, Bauman GS1, Bahary JP1, Ahmed S1, “Randomized Trial of a Hypofractionated Radiation Regimen for the Treatment of Localized Prostate Cancer”. J Clin Oncol. 2017 Jun 10;35(17):1884-1890
- Jones CU1, Hunt D, McGowan DG, Amin MB, Chetner MP, Bruner DW, Leibenhaut MH, Husain SM “Radiotherapy and short-term androgen deprivation for localized prostate cancer”. N Engl J Med. 2011 Jul 14; 365(2): 107 Prostate Cancer”.JAMA 2015;314(12):1291-1293
- Nguyen PL, Je Y, Schutz FA, et al. “Association of androgen deprivation therapy with cardiovascular death in patients with prostate cancer: a meta-analysis of randomized trials” JAMA. 2011;306 (21):2359-2366.
- Pisansky TM1, Hunt D2, Gomella LG2, Amin MB2, Balogh AG2, Chinn DM2, Seider MJ2. “Duration of androgen suppression before radiotherapy for localized prostate cancer: radiation therapy oncology group randomized clinical trial 9910”. J Clin Oncol. 2015 Feb 1;33 (4):332-9
- Carrie C1, Magné N2, Burban-Provost P3, Sargos P4, Latorzeff I5, Lagrange JL6, Supiot S7, Belkacemi Y8, Peiffert D. “Short-term androgen deprivation therapy combined with radiotherapy as salvage treatment after radical prostatectomy for prostate cancer (GETUG-AFU 16): a 112-month follow-up of a phase 3, randomised trial” Lancet Oncol. 2019 Dec; 20(12):1740-1749.
- Tendulkar RD1, Agrawal S1, Gao T1, Efstathiou JA1, Pisansky TM1, Michalski JM1, Koontz BF1, Hamstra DA1, Feng FY1. “Contemporary Update of a Multi-Institutional Predictive Nomogram for Salvage Radiotherapy After Radical Prostatectomy” J Clin Oncol. 2016 Oct 20; 34(30):3648-3654.
- Nicholas D James, Matthew R Sydes, Noel W Clarke, Malcolm D Mason “Addition of docetaxel, zoledronic acid, or both to fi rst-line long-term hormone therapy in prostate cancer (STAMPEDE): survival results from an adaptive, multiarm, multistage, platform randomised controlled trial”. The Lancet. Vol 387 March 19, 2016
- Seth A. Rosenthal, MD1; Chen Hu, PhD2,3; Oliver Sartor, MD4; Leonard G. Gomella, MD5; Mahul B. Amin, MD6; James Purdy, PhD “Effect of Chemotherapy With Docetaxel With Androgen Suppression and Radiotherapy for Localized High-Risk Prostate Cancer: The Randomized Phase III NRG Oncology RTOG 0521 Trial” Journal of Clinical Oncology List of Issues Volume 37, Issue 14
- William U. Shipley, M.D.,Wendy Seiferheld, M.S., Himanshu R. Lukka, M.D., Pierre P. Major, M.D.Niall M. Heney, M.D.,David J. Grignon, M.D.,Oliver Sartor, M.D.,Maltibehn P. Patel, M.D. for the NRG Oncology RTOG* “Radiation with or without Antiandrogen Therapy in Recurrent Prostate Cancer” N Engl J Med February 2, 2017; 376:417-428.
- B.R. Prestidge K. Winter2M.G. Sanda3M. Amin4W.S. Bice Jr.5Initial Report of NRG Oncology/RTOG 0232: A Phase 3 Study Comparing Combined External Beam Radiation and Transperineal Interstitial Permanent Brachytherapy With Brachytherapy Alone for Selected Patients With Intermediate-Risk Prostatic Carcinoma” Int J Radiat Oncol Biol Phys October 1, 2016Volume 96, Issue 2, Supplement, Page S4
- W. James Morris , Scott Tyldesley , Howard H Pai , Ross Halperin , Michael R. McKenzie , Graeme Duncan. “ASCENDE-RT*: A multicenter, randomized trial of dose-escalated external beam radiation therapy (EBRT-B) versus low-dose-rate brachytherapy (LDR-B) for men with unfavorable-risk localized prostate cancer”. Journal of Clinical Oncology List of Issues Volume 33, Issue 7.
- Yasuo Yoshioka, MD∗,∗, Osamu Suzuki, MD∗Fumiaki Isohashi, MD∗Yuji Seo, MD∗Hirofumi Okubo, MD∗Hiroko Yamaguchi, MD∗Michio Oda, MS∗Yuki Otani, PhD∗Iori Sumida, PhD∗High-Dose-Rate Brachytherapy as Monotherapy for Intermediate- and High-Risk Prostate Cancer: Clinical Results for a Median 8-Year Follow-Up. Int J Radiat Oncol Biol March 15, 2016Volume 94, Issue 4, Pages 675–682.
- Hauswald H1, Kamrava MR1, Fallon JM1, Wang PC1, Park SJ1, Van T1, Borja L1, Steinberg ML1, Demanes DJ2. “High-Dose-Rate Monotherapy for Localized Prostate Cancer: 10-Year Results”. Int J Radiat Oncol Biol Phys. 2016 Mar 15;94(4):667-74..IJROBP.2015.07.2290. 2015 Aug 5
- Matthew C. Abramowitz,Tiaynu Li,MA2Mark K. Buyyounouski,Eric Ross,PhD2Robert G. Uzzo,MD3Alan Pollack,MD, PhD1Eric M. Horwitz,MD “The Phoenix Definition of Biochemical Failure Predicts for Overall Survival in Patients With Prostate Cancer” CANCER January 1, 2008 / Volume 112 / Number 1
- Pasquier D, Martinage G, Janoray G, Rojas P. “Salvage Stereotactic Body Radiation Therapy for local Prostate Cancer Recurrence After Radiation Therapy a retrospective Multicenter Study of the GETUG”. IJRORP, 2019 Nov, Vol105.
- Result of a policy of surveillance in stage I testicular seminoma. Warde P.Int J Radiat Oncol Biol Phys. 1993;27:11-15
- Optimal planning target volumen for stage I testicular seminoma: A Medical Research Council Randomized Trial. Fossa S.D. JCO 1999;17:1146-54
- Radiotherapy for stages IIA/B testicular seminoma: Final report of a prospective multicenter clinical trial. Classen J. JCO 2003;21:1101-6
- Appropriate radiation volumen for stage IIA/B testicular seminoma. Chung PW. Int J Radiat Oncol Biol Phys 2003;56(3):746-8
- Randomized trial of 30 versus 20 Gy in the adjuvant treatment of stage I testicular seminoma: A report on Medical Research Council Trial TE18, European Organization for the Research and Treatment of Cancer Trial 30942. JCO 2005;23:1200-8.
- Stage II testicular Seminoma: Patterns of recurrence and outcome of treatment. Chung P. Eur Urol 2004;45:754-60
- Management of seminomatous testicular cancer: A binational prospective population-based study from the swedish norwegian testicular Study Group. Tandstad T. JCO 2011;29:719-25
- Radiotherapy in testicular germ cell tumours – a literatura review. Jonska-Gmyrek J. Contemp Oncol (Pozn) 2017;21)3):203-8
- Second cancer among 40576 testicular cancer patients: Focus on Long term survivors. Travis L. JNCI 2005;97(18): 1354-65
- Treatment – specific risks of second malignancies and cardiovascular disease in 5 year survivors of testicular cancer. Van den Belt-Dusebout A. JCO 2007;25:4370-8
- Contemporary management of stage I and II seminoma. Chung P. Curr Urol Rep 2013;14:525-33
- Radiotherapy treatment planning for testicular seminoma. Wilder R. Int J Radiat Oncol Biol Phys 2012;83:445-52
- Scrotal cancer: incidence, survival and second primary tumours in the Netherlands since 1989. Verhoeven RHA. BJC 2010;103:1462-6
- Leiomyosarcoma of scrotum: case report. Bouhout T. Pan African Medical Journal 2018;31:238
- Extramammary Paget disease. St. Claire K. Dermatology Online Journal 2019;25(4):1
- Postoperative radiation therapy for extramammary Paget’s disease. Hata M. BJD2015;172:1014-20
- Primary scrotal melanoma: it is time to destigmatize genital lesions. Özkur E. An Bras Dermatol 2019 https://doi.org/10.1016/j.abd.2018.12.005
- Prognostic factors in node‐positive carcinoma of the penis. Pandey D. J Surg Oncol 2006;93(2): 133-8
- Lymphadenectomy for squamous cell carcinoma of the penis. Part 2: the role and technique of lymph node dissection. Horenblas S.BJU Int 2001;88(5):473-83
- Treatment results and prognostic factors in 101 men treated for squamous carcinoma of the penis. Sarin R. Int J Rad Oncol Biol Phys 1997;38(4):713-22
- Treatment of penile carcinoma: to cut or not to cut?. Ozsahin M. Int J Rad Oncol Biol Phys 2006;66(3):674-9
- The role of brachytherapy in organ preservation for penile cancer: A meta-analysis and review of the literatura. Hasan S. Brachytherapy 2015;14(4):517-24
- Squamous cell carcinoma of the penis. III. Treatment of regional lymph nodes. Horenblas S. Journ Urol 1993;149:492-7
- Contemporary management of penile cancer including surgery and adjuvant radiotherapya: an experience in Taiwan. Chen M. World J Urol 2004;22:60-6
- International Penile Advanced Cancer Trial (International Rare Cancers Initiative Study) (InPACT). Clinical Trials.gov Identifier: NCT02305654
- Contemporary role of radiotherapy in the management of penile cancer. Korzeniowski M. Transl Androl Urol 2017;6(5):855-67
- Penile cancer: ESMO Clinical Practical guidelines for diagnosis, treatment and follow up. Poppel H. Annals of Oncology 2013;24(6):vi115-24
- National Comprehensive Cancer Network Guidelines NCCN, Penile Cancer. Version 1.2020 – January 23, 2020
- Radiochemotherapy after transurethral resection for high-risk T1 bladder cancer: an alternative to intravesical therapy or early cystectomy? Weiss C. JCO 2006;24(15):2318-24
- Radiation therapy and chemotherapy in treating patients with stage I bladder cancer. RTOG 0926 Clinical Trial NCT00981656
- Long-term outcomes in patients with muscle-invasive bladder cancer after selective bladder-preserving combined-modality therapy: a pooled analysis of Radiation Therapy Oncology Group protocols 8802, 8903, 9506, 9706, 9906, and 0233. Mak R. JCO 2014;32(34):3801-9
- Radiotherapy with or without Chemotherapy in Muscle-Invasive Bladder Cancer. James N. NEJM 2012;366:1477-88
- Radical cystectomy versus organ-sparing trimodality treatment in muscle-invasive bladder cancer: A systematic review of clinical trials. Arcangeli G. Critical Reviews in Oncology/Hematology 2015;95:387-96
- Adjuvant sandwich chemotherapy plus radiotherapy vs adjuvant chemotherapy alone for locally advanced bladder cancer after radical cystectomy. A randomized phase 2 trial. Zaghloul M. JAMA 2017;153(1):e174591
- Randomized phase III trial of adjuvant sequential chemotherapy plus radiotherapy versus adjuvant radiotherapy alone for locally advanced bladder cancer after radical cystectomy: Urothelial carcinoma subgroup analysis. Zaghloul M. JCO 2019 Abst 351
- Adjuvant radiotherapy in patients with pathological high-risk bladder cancer (GETUG-AFU 30) (Bladder-ART). NCT03333356
- NRG-GU001. Randomized Phase II Trial of Postoperative Adjuvant IMRT Following Cystectomy for pT3/pT4 Urothelial Bladder Cancer. Eapen L. NCT02316548
- Bladder cancer adjuvant radiotherapy trial (BART). Murthy V.
NCT 02951325 - National Comprehensive Cancer Network Guidelines, NCCN guidelines Bladder cancer v 3.2020. April 4, 2020
- Bladder cancer: ESMO Practice Guidelines for diagnosis, treatment and follow-up. Bellmunt J. Annals of Oncology 2014;25:ii40-ii48
- Kupelian P, Mehta NH, King C, Steinberg M, Finkelstein SE, Fernandez E. Stereotactic body radiation therapy for prostate cancer: rational and reasonable. Pract Radiat Oncology. 2015;5(3):188–92.
- Kishan A, Dang A, Katz A et al. Long-term Outcomes of Stereotactic Body Radiotherapy for Lo-Risk and Intermediate-Risk Prostate Cancer. JAMA Network Open. 2019;2(2):e188006
- Fuller D, Wurzer J, Shirazi R et al. Retreatment for Local Recurrence of Prostatic Carcinoma after prior therapeutic irradiation: Efficacy and Toxicity of HDR-Like SBRT
- Pasquier D, Martinage G, Janoray G et al. Salvage Stereotactic Body Radiation Therapy for Local Prostate Cancer Recurrence after Radiation Therapy: A Retrospective Multicenter Study of the GETUG. Int J Radiat Oncol Biol Phys. 2019 Nov 15;105(4):727-734
- Palma D, Olson R, Harrow S et al. Stereotactic ablative radiotherapy versus standard of care palliative treatment in patients with oligometastatic cancers (SABR-COMET): a randomised, phase 2, open-label trial. Lancet. 2019 May 18;393(10185):2051-2058
- De Meerleer G, Khoo V, Escudier B et al. Radiotherapy for renal-cell carcinoma. Lancet Oncol 2014; 15: e170–77
- Siva S, Louie AV, Warner A, Muacevic A, Gandhidasan S, Ponsky L, et al. Pooled analysis of stereotactic ablative radiotherapy for primary renal cell carcinoma: a report from the International Radiosurgery Oncology Consortium for Kidney (IROCK). Cancer 2018;124:934–42.